Charles Whitman
Charles Whitman | |
|---|---|
![]() Whitman in 1963 | |
| Born | Charles Joseph Whitman June 24, 1941 Lake Worth, Florida, U.S. |
| Died | August 1, 1966 (aged 25) Austin, Texas, U.S. |
| Cause of death | Gunshot wounds |
| Resting place | Hillcrest Memorial Park, West Palm Beach, Florida, U.S. |
| Other names | The Texas Tower Sniper |
| Known for | Perpetrator of the University of Texas tower shooting |
| Spouse |
Kathy Leissner
(m. 1962; died 1966) |
| Motive | Inconclusive, possible violent impulsive behavior caused by brain tumor pressing against his amygdala |
| Details | |
| Date | August 1, 1966
|
| Location | University of Texas at Austin |
| Targets | Mother, wife, random strangers |
| Killed | 17[n 1][1] |
| Injured | 31 |
| Weapons |
|
| Military career | |
| Allegiance | United States |
| Branch | United States Marine Corps |
| Rank | Lance Corporal |
Charles Joseph Whitman (June 24, 1941 – August 1, 1966) was an American mass murderer and Marine veteran who became known as the "Texas Tower Sniper". On August 1, 1966, Whitman used knives to kill his mother and his wife in their respective homes, then went to the University of Texas at Austin (UT Austin) with multiple firearms and began indiscriminately shooting at people. He fatally shot three people inside UT Austin's Main Building, then accessed the 28th-floor observation deck on the building's clock tower. There, he fired at random people for 96 minutes, killing an additional eleven people and wounding 31 others before he was shot dead by the Austin Police Department.
Whitman killed a total of seventeen people; the 17th victim died 35 years later from injuries sustained in the attack.[2][3][4][5] He had developed several disturbing symptoms in the months preceding his murderous rampage, which included intense headaches, emotional turmoil and intrusive thoughts. In a confession-suicide note written the night before the violence (see excerpt below), he requested that an autopsy be conducted to determine whether there "is any visible physical disorder." The procedure was performed on August 2, where the neuropathologist found a small tumor deep in Whitman’s brain.
Early life and education
Charles Whitman was born on June 24, 1941, in Lake Worth, Florida, the eldest of three sons born to Margaret E. (née Hodges) and Charles Adolphus Whitman Jr.[6] Whitman's father was raised in an orphanage in Savannah, Georgia,[7] and described himself as a self-made man. His wife, Margaret, was 17 years old at the time they met. The marriage of Whitman's parents was marred by domestic violence; Whitman's father was an admitted authoritarian who provided for his family but demanded near perfection from all of them. He was known to be physically and emotionally abusive towards his wife and children.[8] One neighbor of the Whitmans, Judi Faulch, would later state she was unable to recollect the number of times her own parents had called police in the 1940s and '50s in response to Whitman's father beating his wife, children, and family pets.[9]

As a boy, Whitman was described as a polite child who seldom lost his temper.[10] He was extremely intelligent—an examination at the age of six revealed his IQ to be 139.[11] Whitman's academic achievements were encouraged by his parents, and any indication of failure or a lethargic attitude were met with discipline—often physical—from his father.[12]
Margaret was a devout Roman Catholic who raised her sons in the same faith. The Whitman brothers regularly attended Mass with their mother, and all three brothers served as altar boys at the Sacred Heart Roman Catholic Church in Lake Worth.[13]
Whitman's father was a firearms collector and enthusiast, who taught each of his young sons to shoot, clean, and maintain weapons. He regularly took them on hunting trips, and Charles became an avid hunter and accomplished marksman. His father said of him: "Charlie could plug the eye out of a squirrel by the time he was sixteen."[14]
Whitman joined the Boy Scouts of America at age 11.[11] He became an Eagle Scout at twelve years three months, reportedly the youngest of any Eagle Scout up to that time.[7][8] Whitman also became an accomplished pianist at the age of 12.[15] At around the same time, he began an extensive newspaper route.[16]
High school
.jpg)
In September 1955, Whitman entered St. Ann's High School in West Palm Beach, where he was regarded as a moderately popular student.[17] By the next month, he had saved enough money from his newspaper route to purchase a Harley-Davidson motorcycle, which he used on his route.[18]
Without telling his father beforehand, Whitman enlisted in the United States Marine Corps one month after his June 1959 graduation from high school, where he had graduated seventh in a class of 72 students.[7] Whitman told a family friend that the catalyst for his enlistment was an incident a month earlier, in which his father had beaten him and thrown him into the family swimming pool because Whitman had come home drunk.[8] Whitman left home on July 6, having been assigned an eighteen-month tour of duty with the Marines at Guantánamo Bay, Cuba. As Whitman traveled toward Parris Island, his father, who still had not known of Whitman's enlistment,[7] learned of his action and telephoned a branch of the federal government trying to have his son's enlistment canceled.[13]
U.S. Marine and college student
During Whitman's initial eighteen-month service in 1959 and 1960, he earned a sharpshooter's badge and the Marine Corps Expeditionary Medal. He achieved 215 of 250 possible points on marksmanship tests, doing well when shooting rapidly over long distances as well as at moving targets. After completing his assignment, Whitman applied for a scholarship to the Naval Enlisted Science and Education Program (NESEP), an initiative designed to send enlisted personnel to college to train as engineers, and after graduation, be commissioned as officers.[19][20] Whitman earned high scores on the required examination, and the selection committee approved his enrollment at a preparatory school in Maryland, where he completed courses in mathematics and physics before being approved to transfer to the University of Texas at Austin to study mechanical engineering.[20]
University life
In September 1961, Whitman entered the mechanical engineering program at UT Austin. He was initially a poor student. His hobbies included karate, scuba diving, gambling, and hunting.[21] Shortly after his enrollment, Whitman and two friends were observed poaching a deer, with a passerby recording his license plate number and reporting them to the police. The trio were butchering the deer in the shower at Whitman's dormitory when they were arrested.[13] Whitman was fined $100 ($1,100 in 2024) for the offense.[22]
Whitman earned a reputation as a practical joker in his years as an engineering student, but his friends also noted he made some morbid and chilling statements. In 1962, he remarked to a fellow student, "A person could stand off an army from atop of [the Main Building's clock tower] before they got him."[23]
Marriage

In February 1962, 20-year-old Whitman met Kathleen Frances Leissner, an education major three years his junior.[24] Leissner was Whitman's first serious girlfriend; he briefly dated actress Deanna Dunagan just prior to beginning his relationship with Leissner.[25] They courted for five months before announcing their engagement on July 19.[24]
On August 17, 1962, Whitman and Leissner were married in a Catholic ceremony held in Leissner's hometown of Needville, Texas.[26] The couple chose the 22nd wedding anniversary of Whitman's parents as the date for their wedding.[23] Whitman's family drove from Florida to attend the event, and his younger brother Patrick served as best man. Father Leduc, a Whitman family friend, presided over the ceremony. Leissner's family and friends approved of her choice of husband, describing Whitman as a "handsome young man" who was both intelligent and aspirational.[27]
Although Whitman's grades improved somewhat during his second and third semesters, the Marines considered them insufficient for continuation of his scholarship. He was ordered to active duty in February 1963[28] and went to Camp Lejeune in North Carolina, for the remainder of his five-year enlistment.[29]
Camp Lejeune
Whitman apparently resented his college studies being ended, although he was automatically promoted to the rank of Lance Corporal. At Camp Lejeune, he was hospitalized for four days[30] after single-handedly freeing another Marine by lifting a Jeep which had rolled over an embankment.[31]
Despite his reputation as an exemplary Marine, Whitman continued to gamble. In November 1963, he was court-martialed for gambling, usury, possession of a personal firearm on base, and threatening another Marine over a $30 loan ($300 in 2024) for which he had demanded $15 in interest. Sentenced to thirty days of confinement and ninety days of hard labor, he was demoted from lance corporal (E-3) to private (E-1).[32]
Documented stressors
.jpg)
While awaiting his court-martial in 1963, Whitman began to write a diary titled Daily Record of C. J. Whitman.[33] In it, he wrote about his daily life in the Marine Corps and his interactions with his wife and other family members. He also wrote about his upcoming court-martial and contempt for the Marine Corps, criticizing them for inefficiencies. In his writings about Leissner, Whitman often praised her and expressed his longing to be with her. He also wrote about his efforts and plans to free himself from financial dependence on his father.[34]
In December 1964, Whitman was honorably discharged from the Marine Corps. He returned to UT Austin, enrolling in the architectural engineering program. To support his wife and himself, he worked as a bill collector for the Standard Finance Company. Later, he worked as a bank teller at the Austin National Bank. In January 1965, Whitman took a temporary job with Central Freight Lines as a traffic surveyor for the Texas Highway Department, while his wife worked as a biology teacher at Lanier High School.[35][36][37] He was also a volunteer scout leader with Austin Scout Troop 5.
Friends later said that Whitman had told them that he struck his wife on three occasions.[38] They said that Whitman despised himself for this and confessed to being "mortally afraid of being like his father."[39] In his journal, Whitman lamented his actions and resolved to be a good husband and not abusive as his father had been.[39]
Separation of Whitman's parents
In May 1966, Whitman's mother announced her decision to divorce her husband because of his continued physical abuse.[40] Whitman drove to Florida to help his mother move to Austin. He was reportedly so afraid that his father would resort to violence against his mother as she prepared to leave that he summoned a local policeman to remain outside the house while she packed her belongings.[40] Whitman's youngest brother, John, also left Lake Worth and moved to Austin with his mother. Patrick Whitman, the middle son, remained in Florida and worked in his father's plumbing supply business.[41]
In Austin, Whitman's mother took a job in a cafeteria and moved into her own apartment, though she remained in close contact with him.[40] Whitman's father later said he had spent more than $1,000 ($10,300 in 2024) on long-distance phone calls to both his wife and his son, begging his wife to return and asking his son to convince her to come back.[40] During this stressful time, Whitman was abusing amphetamines and began experiencing severe headaches, which he described as being "tremendous".
Events leading to the shooting
.jpg)
On the day before the shootings, Whitman bought a pair of binoculars and a knife from a hardware store, and some Spam from a 7-Eleven convenience store. He picked up his wife from her summer job as a telephone operator before he met his mother for lunch at the Wyatt Cafeteria, which was close to the UT Austin campus.[42]
At about 4:00 p.m. the same day, Whitman and his wife visited their close friends John and Frances Morgan. They left the Morgans' apartment at 5:50 p.m. so Kathy could get to her 6:00–10:00 p.m. shift.[42]
At 6:45 p.m., Whitman began typing his suicide note, a portion of which read:
I don't quite understand what it is that compels me to type this letter. Perhaps it is to leave some vague reason for the actions I have recently performed. I don't really understand myself these days. I am supposed to be an average reasonable and intelligent young man. However, lately (I cannot recall when it started) I have been a victim of many unusual and irrational thoughts. These thoughts constantly recur, and it requires a tremendous mental effort to concentrate on useful and progressive tasks.[43]
In his note, Whitman went on to request an autopsy be performed on his remains after he was dead to determine if there had been a biological cause for his actions and for his continuing and increasingly intense headaches. He also wrote that he had decided to kill both his mother and wife. Expressing uncertainty about his reasons, he nonetheless stated he did not believe his mother had "ever enjoyed life as she is entitled to",[42] and that his wife had "been as fine a wife to me as any man could ever hope to have". Whitman further explained that he wanted to relieve both his wife and mother of the suffering of this world, and to save them the embarrassment of his actions. He did not mention planning the attack at the university.[44]
Just after midnight on August 1, Whitman drove to his mother's apartment at 1212 Guadalupe Street. After killing his mother, he placed her body on her bed and covered it with sheets.[45] How he murdered his mother is disputed, but officials believed he rendered her unconscious before stabbing her in the heart.[45]
He left a handwritten note beside her body, which read in part:
To Whom It May Concern: I have just taken my mother's life. I am very upset over having done it. However, I feel that if there is a heaven she is definitely there now [...] I am truly sorry [...] Let there be no doubt in your mind that I loved this woman with all my heart.[46]
Whitman then returned to his home at 906 Jewell Street, where he killed his wife by stabbing her five times in the chest as she slept. He covered her body with sheets, then resumed the typewritten note he had begun the previous evening.[47] Using a ballpoint pen, he wrote at the side of the page:
Friends interrupted. 8-1-66 Mon. 3:00 A.M. BOTH DEAD.[45]
Whitman continued the note, finishing it by pen:
I imagine it appears that I brutally killed both of my loved ones. I was only trying to do a quick thorough job [...] If my life insurance policy is valid please pay off my debts [...] donate the rest anonymously to a mental health foundation. Maybe research can prevent further tragedies of this type [...] Give our dog to my in-laws. Tell them Kathy loved "Schocie" very much [...] If you can find in yourselves to grant my last wish, cremate me after the autopsy.[43]
Whitman also left instructions in the rented house requesting that two rolls of camera film be developed and wrote personal notes to each of his brothers.[45] He last wrote on an envelope labeled "Thoughts for the Day", in which he stored a collection of written admonitions. He added on the outside of the envelope:
8-1-66. I never could quite make it. These thoughts are too much for me.[45]
At 5:45 a.m. on August 1, 1966, Whitman phoned his wife's supervisor at Bell System to explain that Kathy was ill and unable to work that day. He made a similar phone call to his mother's workplace five hours later.
Whitman's final journal entries were written in the past tense, suggesting that he had already killed his wife and mother.[43]
University of Texas Tower shooting
.jpg)
At approximately 11:35 a.m.,[48] Whitman arrived on the UT Austin campus. He falsely identified himself as a research assistant and told a security guard he was there to deliver equipment.[48] He then climbed to the 28th floor of the Main Building's clock tower, killing three people within the tower, and opened fire from the observation deck with a hunting rifle and other weapons.[49]
Whitman killed 15 people and wounded 31[50] in the 96 minutes[51] before he was shot and killed. Patrolman Houston McCoy (armed with a shotgun) and Ramiro Martinez of the Austin Police Department had raced to the top of the tower and a combination of shots from both men killed Whitman.[52][53]
Death and inquest
Mental health issues
Investigating officers found that Whitman had visited several UT Austin physicians in the year before the shootings; they prescribed various medications for him. Whitman had seen at least five doctors between the fall and winter of 1965 before he visited a psychiatrist from whom he received no prescription. At some other time he was prescribed Valium by Jan Cochrum, who recommended he visit the campus psychiatrist.[54] He did not have a pre-existing diagnosis of mental illness.
Whitman met with Maurice Dean Heatly, the staff psychiatrist at the University of Texas Health Center, on March 29, 1966.[55] He referred to his visit with Heatly in his final suicide note, writing: "I talked with a Doctor once for about two hours and tried to convey to him my fears that I felt come [sic] overwhelming violent impulses. After one visit, I never saw the Doctor again, and since then have been fighting my mental turmoil alone, and seemingly to no avail."[43]
Heatly's notes on the visit said, "This massive, muscular youth seemed to be oozing with hostility [...] that something seemed to be happening to him and that he didn't seem to be himself."[56] "He readily admits having overwhelming periods of hostility with a very minimum of provocation. Repeated inquiries attempting to analyze his exact experiences were not too successful with the exception of his vivid reference to 'thinking about going up on the tower with a deer rifle and start shooting people.'"[57]
In the 2024 publication, Cause of Death: Ballistic Trauma, the author (a retired medical oncologist) evaluated Whitman's personality and behaviours using established criteria from the Diagnostic and Statistical Manual of Mental Disorders.[58] It was concluded that Whitman did not meet criteria for any recognized psychiatric illness such as schizophrenia or paranoia, or a personality disorder which might be associated with violence. The contention that Whitman, as some believed, was a sociopath is not supported by the observations that, 1) he had exemplary childhood conduct and achievements, 2) received the Good Conduct medal as a Marine, 3) was gregarious and well-liked on campus and, 4) had a long term (four-year) monogamous relationship with his wife. It has been speculated that Whitman may have had an acute psychotic breakdown in the hours just before committing the mass murder as indicated by some bizarre acts. One is the fact his siege supplies contained inexplicable amounts of food (including 12 cans and 2 jars), three and a half gallons of gasoline, and numerous items of uncertain intended use (an alarm clock, a pipe wrench, an extension cord, a compass and a snake bite kit).[59] All of these items, in addition to seven firearms (3 rifles, 1 shot gun, 3 handguns) and plenty of ammunition, were carted up a few flights of stairs onto the observation deck level, but not surprisingly, only the weapons were utilized. A second 'bizarre' act occurred when Whitman committed matricide (killed his mother). In a section of Cause of Death: Ballistic Trauma devoted to this topic, it is explained that matricide is an extremely uncommon crime (<1% of homicides committed each year in the U.S.), and that studies indicate that the majority of perpetrators (up to 100%) were experiencing, or had previously experienced, a psychotic disorder (eg. schizophrenia, delusions, drug-induced psychosis).[60] His reasoning in deciding to kill his beloved wife and mother, was clearly psychotically flawed.
Autopsy

Although Whitman had been prescribed drugs and was in possession of Dexedrine at the time of his death, the toxicology examination was delayed because his corpse was embalmed on August 1, after it was delivered to the Cook Funeral Home in Austin; however, the autopsy that Whitman had requested in his suicide notes was authorized by his father.[61]
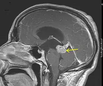
On August 2, Coleman de Chenar, a neuropathologist at Austin State Hospital, realized the autopsy at the funeral home; Whitman's urine and blood were tested for amphetamines and other drugs.[62][63] During the autopsy, de Chenar reported that he discovered a pecan-sized brain tumor,[64] above the red nucleus, in the white matter below the gray center thalamus,[65] which he identified as an astrocytoma with slight necrosis. De Chenar also noted that, "The skull is unusually thin, 2 to 4 mm," but did not elaborate on the significance of that finding. When that information is combined with the pathological finding of The Connally Commission review (see below) reporting "flattening of the cerebral convolutions, slight", and consider the location of the tumor, it has been proposed that collectively this is good evidence that Whitman had developed obstructive hydrocephalus.[66] This complication of the tumor would certainly explain why Whitman suffered from chronic "tremendous" headaches. Hydrocephalus was not reported by de Chenar, but that anomaly (enlarged cerebral ventricles) could have easily been obscured by the extensive ballistic trauma inflicted by the fatal shotgun blast.
Connally Commission
John Connally, then governor of Texas, commissioned a task force to examine the autopsy findings and material related to Whitman's actions and motives. The commission was composed of neurosurgeons, psychiatrists, pathologists, and psychologists, and included the University of Texas Health Center Directors, John White and Maurice Heatly. The commission's toxicology tests revealed nothing significant. They examined Chenar's paraffin blocks of the brain tumor, stained specimens of it and Whitman's other brain tissue, in addition to the remainder of the autopsy specimens available.[67]
Following a three-hour hearing on August 5,[68] the commission concluded that Chenar's diagnosis of astrocytoma with a small amount of necrosis had been in error.[69] The panel instead found that the tumor had features of a glioblastoma multiforme (GBM), with widespread areas of necrosis, palisading of cells,[70] and a "remarkable vascular component" described as having "the nature of a small congenital vascular malformation". GBM is a relatively uncommon type of tumor, and associated with average age at the time of diagnosis being 64 years. These two facts, the development of an uncommon tumor type at a young age (25 years), suggest that it may have arisen as a consequence of carcinogenic exposure. Chapter 27 in Cause of Death: Ballistic Trauma is devoted to explaining how Whitman's service at Camp Lejeune, with the well-publicized disclosure of the contamination the drinking water supply with neurotoxic and carcinogenic volatile organic compounds, may have resulted in him developing this cancer.[71]
Psychiatric contributors to the report concluded that "the relationship between the brain tumor and [...] Whitman's actions [...] cannot be established with clarity. However, the [...] tumor conceivably could have contributed to his inability to control his emotions and actions".[72] The neurologists and neuropathologists were more circumspect, concluding that, "[t]he application of existing knowledge of organic brain function does not enable us to explain the actions of Whitman on August first."[73]
Forensic investigators have theorized that the tumor pressed against Whitman's amygdala, a part of the brain related to anxiety and fight-or-flight responses among numerous other functions.[74][75] In Cause of Death: Ballistic Trauma, an alternative mechanism of pathophysiology is postulated involving temporal lobe seizures. The location of Whitman's tumor in, or adjacent to, his right temporal lobe makes this a definite possibility. One common subtype of temporal lobe seizure is referred to as 'focal awareness', which does not necessarily generalize to cause loss of consciousness or whole body convulsions. This subtype can result the sudden onset of emotional alterations in affected individuals manifesting as fear, panic, anger, anxiety, sense of deja vu or sense of jamais vu. The substantial evidence that Whitman was indeed suffering from recurrent temporal lobe focal awareness seizures is carefully examined in four different chapters.[76] It is known that long-term temporal lobe seizures can result in "a wide range of cognitive, psychiatric, and behavioural problems ..." Because Whitman never underwent the definitive test for detecting seizure activity, an electroencephalogram (EEG), this pathophysiological mechanism remains speculative, but certainly represents a credible 'clinical diagnosis'. This novel mechanism, which is associated with an expanded potential for detrimental effects on an individual’s behaviour, including violence and poor judgement, strongly supports the belief that Whitman was suffering from 'organic brain disease'. Irritation of the amygdala and the effects of temporal lobe seizures are not mutually exclusive pathophysiological mechanisms.
Funeral
A joint Catholic funeral service for Whitman and his mother was held in Lake Worth, Florida, on August 5, 1966. They were buried in Florida's Hillcrest Memorial Park. Since he was a military veteran, Whitman was buried with military honors; his casket was draped with the American flag.[77][78] His remains were exhumed a few days after this burial, since it was determined that the criminal investigation required additional pathological material. Without their knowledge, or consent from his family, Whitman's brain was retained for "special research" to be conducted at the M.D, Anderson Cancer Center in Houston. The final disposition of his brain is unclear. It may have been transferred to a collection started by de Chenar at the Texas State Hospital. During a 2014 audit of the collection to account for missing specimens, it was determined some had been disposed of due to degradation and others had been loaned to another institute for study. Whitman's brain was not identified during that investigation and its fate is unknown.[79]
Brother's killing
On July 3, 1973, Charles' youngest brother, John, then 24, was shot and killed during a fight in Lake Worth, Florida. Two men, Ceotis Burgess and Clint Jones, were later charged with murder and conspiracy respectively for the shooting.[80] Burgess was convicted of an unspecified degree of homicide for the shooting and was sentenced to 15 years but served only five. Whitman's father later sued the bar for his son's death and won over $200,000 in 1980.[81]
See also
- List of disasters in the United States by death toll
- List of school massacres by death toll
- The Deadly Tower
- Targets (1968 film)
- Tower (2016 film)
- Slacker
- Charming Billy
Notes
- ^ The number of fatalities includes the perpetrator's mother and wife, an unborn child, and a man who died in 2001 from injuries sustained in the shooting.
References
- ^ "David H. Gunby, 58; Hurt in '66 Texas Shooting Rampage". Los Angeles Times. November 16, 2001. Archived from the original on August 21, 2021. Retrieved August 20, 2021.
- ^ Flippin, Perry (August 6, 2007). "UT tower shooting heroes to be honored". gosanangelo.com. Archived from the original on September 5, 2007.
- ^ "Sixty Years of Serving Those Who Answer the Call" (PDF). The Police Line. 1. Austin Police Association: 5. 2009. Archived from the original (PDF) on August 12, 2011.
- ^ "Camp Sol Mayer-Houston McCoy". westtexasscoutinghistory.net. August 1, 2010. Archived from the original on April 24, 2019. Retrieved August 2, 2010.
- ^ (The Editors of Time-Life Books 1993, pp. 40, 94)
- ^ (Lavergne 1997, p. 4)
- ^ a b c d (The Editors of Time-Life Books 1993, p. 40)
- ^ a b c Macleod, Marlee. "Charles Whitman: The Texas Tower Sniper (Early Charlie)". trutv.com. p. 2. Archived from the original on July 1, 2012.
- ^ Isger, Sinja (August 1, 2016). "Charles Whitman of Lake Worth: The Madman in the Tower". The Palm Beach Post. Retrieved June 29, 2025.
- ^ "Killers So Often Tagged 'Nice' Boys". The Miami News. August 9, 1966. p. 2–B.
- ^ a b (Lavergne 1997, p. 6)
- ^ (The Editors of Time-Life Books 1993, p. 42)
- ^ a b c "Chaplain Leduc." Archived 2011-07-08 at the Wayback Machine cimedia.com. Retrieved: November 2, 2010.
- ^ (Lavergne 1997, p. 3)
- ^ (Lavergne 1997, p. 5)
- ^ (Lavergne 1997, pp. 6–7)
- ^ "Whitman Always Quick On The Dare When In Florida High School". Ocala Star-Banner. August 3, 1966. p. 2. Archived from the original on May 16, 2016. Retrieved March 1, 2019.
- ^ (Lester 2004, p. 22)
- ^ (Lavergne 1997, p. 19)
- ^ a b "The Texas Tower Incident, Part One". Officer. January 19, 2016. Archived from the original on September 26, 2019. Retrieved September 26, 2019.
- ^ (Cawthorne 2007, p. 72)
- ^ (Lavergne 1997, p. 20)
- ^ a b (The Editors of Time-Life Books 1993, p. 44)
- ^ a b (Lavergne 1997, pp. 11–12)
- ^ Harry Haun (September 29, 2017). "Deanna Dunagan on Playing Yet Another Unlovable Mother". The New York Observer. Archived from the original on September 18, 2021. Retrieved September 18, 2021.
- ^ "Profile of a Sniper: Easygoing and Cheerful". The Free Lance-Star. August 2, 1966. p. 2. Archived from the original on December 9, 2015. Retrieved November 17, 2015.
- ^ (Lavergne 1997, p. 12)
- ^ "Handbook of Texas Online." Archived 2013-03-11 at the Wayback Machine tshanonline.com. Retrieved: November 2, 2010.
- ^ (Mayo 2008, p. 372)
- ^ "Deranged tower sniper rained death on UT campus." Archived 2011-07-08 at the Wayback Machine Houston Chronicle. Retrieved: November 2, 2010.
- ^ (The Editors of Time-Life Books 1993, p. 48)
- ^ "Report to the Governor, Medical Aspects, Charles J. Whitman Catastrophe" (PDF). alt.cimedia.com. September 8, 1966. p. 3. Archived (PDF) from the original on December 15, 2017. Retrieved June 16, 2006.
- ^ (The Editors of Time-Life Books 1993, p. 47)
- ^ "The Random Killer Amongst Us—charles Whitman: The Texas Bell Tower Sniper". December 24, 2012. Archived from the original on August 8, 2016. Retrieved April 12, 2016.
- ^ (Morris 2009, p. 158)
- ^ (Lester 2004, p. 23)
- ^ United Press International (August 2, 1966). "Sniper in Texas U. Tower Kills 12, Hits 33". The New York Times. p. 1.
- ^ "John and Fran Morgan statement". Archived 2011-07-08 at the Wayback Machine The Whitman Archives via Austin American-Statesman. August 2, 1966.
- ^ a b (The Editors of Time-Life Books 1993, p. 50)
- ^ a b c d (The Editors of Time-Life Books 1993, p. 49)
- ^ "The Texas Killer: Former Florida Neighbors Recall a Nice Boy Who Liked Toy Guns". partners.nytimes.com. Archived from the original on April 8, 2016. Retrieved April 12, 2016.
- ^ a b c (The Editors of Time-Life Books 1993, p. 51)
- ^ a b c d Whitman, Charles. "Whitman Letter" Archived 2011-07-08 at the Wayback Machine, The Whitman Archives. Austin American-Statesman. July 31, 1966.
- ^ Helmer, William (August 1986). "The Madman on the Tower". texasmonthly.com. Archived from the original on April 2, 2015. Retrieved March 15, 2015.
- ^ a b c d e (The Editors of Time-Life Books 1993, p. 53)
- ^ Whitman, Charles. "Whitman Note Left with Mother's Body" Archived 2003-08-04 at the Wayback Machine, The Whitman Archives via Austin American-Statesman, August 1, 1966.
- ^ Macleod, Marlee. "Charles Whitman: The Texas Tower Sniper (Preparations)". trutv.com. p. 4. Archived from the original on July 2, 2012.
- ^ a b (The Editors of Time-Life Books 1993, p. 31)
- ^ "Archives - Philly.com". The Philadelphia Inquirer. Archived from the original on January 18, 2021. Retrieved November 30, 2016.
- ^ Lavergne 1997, p. 223.
- ^ "96 Minutes". Texas Monthly. August 2, 2016. Archived from the original on November 25, 2016. Retrieved January 17, 2017.
- ^ Cardenas, Cat (August 1, 2016). "Austin Police officer Ramiro Martinez remembers feeling sense of duty to stop Whitman". The Daily Texas. Retrieved December 11, 2018.
- ^ "See, reprint of The Washington Post article, "50 years after the University of Texas Tower shooting", New Orleans Times-Picayune on-line, July 31, 2016 at nola.com". Archived from the original on October 21, 2017. Retrieved October 20, 2017.
- ^ Macleod, Marlee. "Charles Whitman: The Texas Tower Sniper (Back In Austin)". trutv.com. p. 3. Archived from the original on July 1, 2012.
- ^ (Ramsland 2005, p. 32)
- ^ "Text of Psychiatrist's Notes on Sniper". partners.nytimes.com. Archived from the original on April 8, 2016. Retrieved April 12, 2016.
- ^ Heatly, Maurice (March 29, 1966). "Whitman Case Notes" (PDF). cimedia.com. Archived (PDF) from the original on August 4, 2003. Retrieved March 30, 2009.
- ^ Young, Scott (June 28, 2024). Cause of Death: Ballistic Trauma. Canada: FriesenPress. pp. 40–52. ISBN 978-1739001803.
- ^ "Charles Whitman police report". Wikisource. July 6, 2006. Retrieved October 12, 2025.
- ^ Young, Scott (2024). Cause of Death: Ballistic Trauma. Canada: FriesenPress (published June 28, 2024). pp. 62–63. ISBN 978-1739001803.
- ^ "Charles Whitman". Biography.com. Archived from the original on April 19, 2016. Retrieved April 12, 2016.
- ^ "A Fitting Memorial: The Mental Health Legacy of the Whitman Murders". Archived from the original on April 9, 2019. Retrieved March 17, 2019.
- ^ (Douglas et al. 2011, p. 447)
- ^ "Church Rites for Sniper". The Canberra Times. August 6, 1966. Archived from the original on July 13, 2020. Retrieved May 23, 2019.
- ^ (Lavergne 1997, p. 261)
- ^ Young, Scott (2024). Cause of Death: Ballistic Trauma. Canada: FriesenPress (published June 28, 2024). pp. 123–132. ISBN 978-1739001803.
- ^ "Report to the Governor, Medical Aspects, Charles J. Whitman Catastrophe" Archived 2011-07-08 at the Wayback Machine, The Whitman Archives. Austin American-Statesman. September 8, 1966.
- ^ "Jury Blames Tumor For Killings". The News and Courier. August 5, 1966. p. 9–A. Archived from the original on January 24, 2013.
- ^ "Report to the Governor, Medical Aspects, Charles J. Whitman Catastrophe" (PDF). alt.cimedia.com. September 8, 1966. p. 6. Archived (PDF) from the original on December 15, 2017. Retrieved June 16, 2006.
- ^ "Report to the Governor, Medical Aspects, Charles J. Whitman Catastrophe" (PDF). alt.cimedia.com. September 8, 1966. p. 7. Archived (PDF) from the original on December 15, 2017. Retrieved June 16, 2006.
- ^ Young, Scott (2024). Cause of Death: Ballistic Trauma. Canada: FriesenPress (published June 28, 2024). pp. 135–142. ISBN 978-1739001803.
- ^ "Report to the Governor, Medical Aspects, Charles J. Whitman Catastrophe" (PDF). alt.cimedia.com. September 8, 1966. pp. 10–11. Archived (PDF) from the original on December 15, 2017. Retrieved June 16, 2006.
- ^ "Report to the Governor, Medical Aspects, Charles J. Whitman Catastrophe" (PDF). alt.cimedia.com. September 8, 1966. p. 8. Archived (PDF) from the original on December 15, 2017. Retrieved June 16, 2006.
- ^ Eagleman, David The Brain on Trial Archived 2017-03-09 at the Wayback Machine, The Atlantic Monthly, July 2011
- ^ (Freberg 2009, p. 41)
- ^ Young, Scott (2024). Cause of Death: Ballistic Trauma. Canada: FriesenPress (published June 28, 2024). pp. 143-155 and 160-169. ISBN 978-1739001803.
- ^ (Lavergne 1997, pp. IX–X)
- ^ "Mass Held For Sniper". Reading Eagle. August 5, 1966. p. 1. Archived from the original on May 16, 2016. Retrieved March 1, 2019.
- ^ Young, Young (2024). Cause of Death: Ballistic Trauma. Canada: FriesenPress (published June 28, 2024). pp. 133–134. ISBN 978-1739001803.
- ^ "BROTHER OF KILLER SLAIN IN BAR CLASH". THe Associated Press. The New York Times. Retrieved July 3, 2025.
- ^ Lomartie, Paul (June 28, 2016). "Demons and doom: The Whitmans of Lake Worth". The Palm Beach Post. Retrieved July 3, 2025.
Bibliography
- Cawthorne, Nigel (2007). Serial Killers And Mass Murderers: Profiles of the World's Most Barbaric Criminals. Ulysses Press. ISBN 978-1-56975-578-5.
- Coleman, Loren (2004). The Copycat Effect: How the Media and Popular Culture Trigger the Mayhem in Tomorrow's Headlines. Paraview Pocket Books. ISBN 978-0-7434-8223-3.
- Douglas, John; Burgess, Ann W.; Burgess, Allen G.; Ressler, Robert K. (2011). Crime Classification Manual: A Standard System for Investigating and Classifying Violent Crimes (2 ed.). John Wiley & Sons. ISBN 978-1-118-04718-7.
- Douglas, John; Olshaker, Mark (1999). The Anatomy of Motive. New York: Scribner. ISBN 978-0-7567-5292-7.
- Franscell, Ron (2011). Delivered from Evil: True Stories of Ordinary People Who Faced Monstrous Mass Killers and Survived. Fair Winds Press. ISBN 978-1-61059-494-3.
- Freberg, Laura (2009). Discovering Biological Psychology (2 ed.). Cengage Learning. ISBN 978-0-547-17779-3.
- Lavergne, Gary M. (1997). A Sniper in the Tower. Denton, Texas: University of North Texas Press. ISBN 978-1-57441-029-7.
- Lester, David (2004). Mass Murder: The Scourge of the 21st Century. Nova Publishers. ISBN 978-1-59033-929-9.
- Levin, Jack; Fox, James Alan (1985). Mass Murder: America's Growing Menace. New York: Plenum Press. ISBN 978-0-306-41943-0.
- Martinez, Ramiro (2005). They Call Me Ranger Ray: From the UT Tower Sniper to Corruption in South Texas. New Braunfels, Texas: Rio Bravo Publishing. ISBN 978-0-9760162-0-5.
- McNab, Chris (2009). Deadly Force: Firearms and American Law Enforcement, from the Wild West to the Streets of Today. Osprey Publishing. ISBN 978-1-84603-376-6.
- Mayo, Mike (2008). American Murder: Criminals, Crimes and the Media. Visible Ink Press. ISBN 978-1-57859-256-2.
- Morris, Ray Jr. (2009). The Time of My Life: Remembrances of the 20th Century. Dog Ear Publishing. ISBN 978-1-60844-142-6.
- Ramsland, Katherine M. (2005). Inside the Minds of Mass Murderers: Why They Kill. Greenwood Publishing Group. ISBN 978-0-275-98475-5.
- Thompson, James G. (2003). Complete Guide to United States Marine Corps Medals, Badges, and Insignia: World War II to Present. Medals of America Press. ISBN 978-1-884452-42-0.
- The Editors of Time-Life Books, ed. (1993). Mass Murderers. Time-Life Books. ISBN 978-0-7835-0004-1.
- Tobias, Ronald (1981). They Shoot to Kill: A Psycho-History of Criminal Sniping. Boulder, Colorado: Paladin Press. ISBN 978-0-87364-207-1.
External links
Works related to Original Police list of Whitman's Arsenal and Supplies at Wikisource
Media related to Charles Whitman at Wikimedia Commons- Charles Whitman from the Handbook of Texas Online
- Memorial website Archived 2012-08-30 at the Wayback Machine dedicated to those who were killed on August 1, 1966.
- Charles Whitman Research Guide at the Austin History Center
- Charles Whitman at Find a Grave
.jpg)