Forearm

Forearm
The forearm is highlighted in magenta
Details
Identifiers
Latinantebrachium
MeSHD005542
TA98A01.1.00.024
TA2146
FMA9663
Anatomical terminology

The forearm is the region of the upper limb between the elbow and the wrist.[1] The term forearm is used in anatomy to distinguish it from the arm, a word which is used to describe the entire appendage of the upper limb, but which in anatomy, technically, means only the region of the upper arm, whereas the lower "arm" is called the forearm. It is homologous to the region of the leg that lies between the knee and the ankle joints, the crus.

The forearm contains two long bones, the radius and the ulna,[2] forming the two radioulnar joints. The interosseous membrane connects these bones. Ultimately, the forearm is covered by skin, the anterior surface usually being less hairy than the posterior surface.

The forearm contains many muscles, including the flexors and extensors of the wrist, flexors and extensors of the digits, a flexor of the elbow (brachioradialis), and pronators and supinators that turn the hand to face down or upwards, respectively. In cross-section, the forearm can be divided into two fascial compartments. The posterior compartment contains the extensors of the hands, which are supplied by the radial nerve. The anterior compartment contains the flexors and is mainly supplied by the median nerve. The flexor muscles are more massive than the extensors because they work against gravity and act as anti-gravity muscles. The ulnar nerve also runs the length of the forearm.[3]

The radial and ulnar arteries and their branches supply the blood to the forearm. These usually run on the anterior face of the radius and ulna down the whole forearm. The main superficial veins of the forearm are the cephalic, median antebrachial and the basilic vein. These veins can be used for cannularisation or venipuncture, although the cubital fossa is a preferred site for getting blood.

Structure

Bones and joints

The bones of the forearm are the radius (located on the lateral side) and the ulna (located on the medial side)

Bones of forearm, radius on left and ulna on the right
Bones of forearm, radius on left and ulna on the right

Radius

Proximally, the head of the radius articulates with the capitulum of the humerus and the radial notch of the ulna at the elbow. The articulation between the radius and the ulna at the elbow is known as the proximal radioulnar joint.

Distally, it articulates with the ulna again at the distal radioulnar joint. It forms part of the wrist joint by articulating with the scaphoid at its lateral aspect and with the lunate at its medial aspect.

Ulna

Proximally, the trochlear notch of the ulna articulates with the trochlea of the humerus and the radial notch articulates with the head of the radius at the elbow.[4]

Distally it forms part of the distal radioulnar joint and also articulates with the wrist.[5]

Muscles

Compartment Level Muscle E/I Nerve
Anterior superficial flexor carpi radialis E median
Anterior superficial palmaris longus E median
Anterior superficial flexor carpi ulnaris E ulnar
Anterior superficial pronator teres I median
Anterior superficial (or intermediate) flexor digitorum superficialis (sublimis) E median
Anterior deep flexor digitorum profundus E ulnar + median
Anterior deep flexor pollicis longus E median
Anterior deep pronator quadratus I median
Posterior (see below) brachioradialis I radial
Posterior superficial extensor carpi radialis longus E radial
Posterior superficial extensor carpi radialis brevis E radial
Posterior intermediate extensor digitorum (communis) E radial
Posterior intermediate extensor digiti minimi (proprius) E radial
Posterior superficial extensor carpi ulnaris E radial
Posterior deep abductor pollicis longus E radial
Posterior deep extensor pollicis brevis E radial
Posterior deep extensor pollicis longus E radial
Posterior deep extensor indicis (proprius) E radial
Posterior deep supinator I radial
Posterior deep anconeus I radial
  • "E/I" refers to "extrinsic" or "intrinsic". The intrinsic muscles of the forearm act on the forearm, meaning, across the elbow joint and the proximal and distal radioulnar joints (resulting in pronation or supination), whereas the extrinsic muscles act upon the hand and wrist. In most cases, the extrinsic anterior muscles are flexors, while the extrinsic posterior muscles are extensors.
  • The brachioradialis, flexor of the forearm, is unusual in that it is located in the posterior compartment, but it is actually in the anterior portion of the forearm.
  • The anconeus is considered by some as a part of the posterior compartment of the arm.[6]

Nerves

See separate nerve articles for details on divisions proximal to the elbow and distal to the wrist; see Brachial plexus for the origins of the median, radial and ulnar nerves.
  • Median nerve – interior nerve of the anterior compartment (PT, FCR, PL, FDS).
    • anterior interosseous nerve (supplies FPL, lat. 1/2 of FDP, PQ).
  • Radial nerve – supplies muscles of the posterior compartment (ECRL, ECRB).
    • Superficial branch of radial nerve
    • Deep branch of radial nerve, becomes Posterior interosseus nerve and supplies muscles of the posterior compartment (ED, EDM, ECU, APL, EPB, EPL, EI).
  • Ulnar nerve – supplies some medial muscles (FCU, med. 1/2 of FDP).

Vessels

Veins of the forearm and hand
  • Brachial artery
    • Radial artery
      • Radial recurrent artery
      • dorsal metacarpal artery
        • Princeps pollicis artery
    • Ulnar artery
      • Anterior ulnar recurrent artery and posterior ulnar recurrent artery
      • Common interosseous artery
        • Posterior interosseous artery
        • Anterior interosseous artery

Other structures

  • Interosseous membrane of forearm
  • Annular ligament of ulna

Function

The forearm can be brought closer to the upper arm (flexed) and brought away from the upper arm (extended) due to movement at the elbow. The forearm can also be rotated so that the palm of the hand rotates inwards (pronated) and rotated back so that the palm rotates outwards (supinated) due to movement at the elbow and the distal radioulnar joint.[5]

Clinical significance

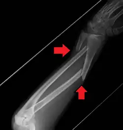
Midshaft fracture of the radius and ulna

A fracture of the forearm can be classified as to whether it involves only the ulna (ulnar fracture), only the radius (radius fracture), or both radioulnar fracture.

For treatment of children with torus fractures of the forearm splinting appears to work better than casting.[7] Genetically determined disorders like hereditary multiple exostoses can lead to hand and forearm deformities. Hereditary multiple exostoses is due growth disturbance of the epiphyses of the radius and ulna, the two bones of the forearm.[8]

Additional images

See also

  • Forearm flexors

References

  1. ^ WebMD (2009). "forearm". Webster's New World Medical Dictionary (3rd ed.). Houghton Mifflin Harcourt. p. 166. ISBN 978-0-544-18897-6.
  2. ^ "Forearm". The Lecturio Medical Concept Library. Retrieved 2021-06-22.
  3. ^ Mitchell, Brittney; Whited, Lacey (2020-08-15). "Anatomy, Shoulder and Upper Limb, Forearm Muscles". National Center for Biotechnology Information, U.S. National Library of Medicine. StatPearls Publishing LLC. Retrieved 22 June 2021.
  4. ^ "Structure of The Forearm". The Lecturio Medical Concept Library. Retrieved 2021-06-22.
  5. ^ a b Standring, Susan (2016). Gray's anatomy : the anatomical basis of clinical practice (Forty-first ed.). [Philadelphia]. ISBN 9780702052309. OCLC 920806541.{{cite book}}: CS1 maint: location missing publisher (link)
  6. ^ "Dissector Answers — Axilla & Arm". The University of Michigan. Archived from the original on 3 January 2008. Retrieved 2008-01-17.
  7. ^ Jiang N, Cao ZH, Ma YF, Lin Z, Yu B (November 2016). "Management of Pediatric Forearm Torus Fractures: A Systematic Review and Meta-Analysis". Pediatric Emergency Care. 32 (11): 773–778. doi:10.1097/pec.0000000000000579. PMID 26555307. S2CID 25796224.
  8. ^ El-Sobky TA, Samir S, Atiyya AN, Mahmoud S, Aly AS, Soliman R (2018). "Current paediatric orthopaedic practice in hereditary multiple osteochondromas of the forearm: a systematic review". SICOT-J. 4: 10. doi:10.1051/sicotj/2018002. PMC 5863686. PMID 29565244.