Psoriasis
| Psoriasis | |
|---|---|
![]() | |
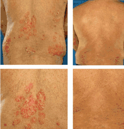
| Back and arms of a person with severe psoriasis | |
| Pronunciation | |
| Specialty | Dermatology (primarily); immunology, rheumatology and other specialties (e.g., cardiology and vascular medicine, nephrology, hepatology/gastroenterology, endocrinology, hematology) (indirectly/by association) |
| Symptoms | Red (purple on darker skin), itchy, scaly patches of skin[3] |
| Complications | Psoriatic arthritis[4] |
| Usual onset | Adulthood[5] |
| Duration | Long-term[4] |
| Causes | Genetic disease triggered by environmental factors[3] |
| Diagnostic method | Based on symptoms[4] |
| Treatment | Steroid creams, vitamin D3 cream, ultraviolet light, immunosuppressive drugs such as methotrexate and biologics[5] |
| Frequency | 79.7 million[6] / 2–4%[7] |
Psoriasis is a long-lasting, noncontagious autoimmune disease characterized by patches of abnormal skin.[4][5] These areas are red, pink, or purple, dry, itchy, and scaly.[3][8] Psoriasis varies in severity from small localized patches to complete body coverage.[3] Injury to the skin can trigger psoriatic skin changes at that spot, which is known as the Koebner phenomenon.[9]
The five main types of psoriasis are plaque, guttate, inverse, pustular, and erythrodermic.[5] Plaque psoriasis, also known as psoriasis vulgaris, makes up about 90% of cases.[4] It typically presents as red patches with white scales on top.[4] Areas of the body most commonly affected are the back of the forearms, shins, navel area, and scalp.[4] Guttate psoriasis has drop-shaped lesions.[5] Pustular psoriasis presents as small, noninfectious, pus-filled blisters.[10] Inverse psoriasis forms red patches in skin folds.[5] Erythrodermic psoriasis occurs when the rash becomes very widespread and can develop from any of the other types.[4] Fingernails and toenails are affected in most people with psoriasis at some point in time.[4] This may include pits in the nails or changes in nail color.[4]
Psoriasis is generally thought to be a genetic disease that is triggered by environmental factors.[3] If one twin has psoriasis, the other twin is three times more likely to be affected if the twins are identical than if they are nonidentical.[4] This suggests that genetic factors predispose to psoriasis.[4] Symptoms often worsen during winter and with certain medications, such as beta blockers or NSAIDs.[4] Infections and psychological stress can also play a role.[3][5] The underlying mechanism involves the immune system reacting to skin cells.[4] Diagnosis is typically based on the signs and symptoms.[4]
There is no known cure for psoriasis, but various treatments can help control the symptoms.[4] These treatments include steroid creams, vitamin D3 cream, ultraviolet light, immunosuppressive drugs, such as methotrexate, and biologic therapies targeting specific immunologic pathways.[5] About 75% of skin involvement improves with creams alone.[4] The disease affects 2–4% of the population.[7] Men and women are affected with equal frequency.[5] The disease may begin at any age, but typically starts in adulthood.[5] Psoriasis is associated with an increased risk of psoriatic arthritis, lymphomas, cardiovascular disease, Crohn's disease, and depression.[4] Psoriatic arthritis affects up to 30% of individuals with psoriasis.[10]
The word "psoriasis" is from Greek ψωρίασις meaning 'itching condition' or 'being itchy',[11] from psora 'itch', and -iasis 'action, condition'.
Signs and symptoms
Plaque psoriasis
Psoriasis vulgaris (also known as chronic stationary psoriasis or plaque-like psoriasis) is the most common form and affects 85–90% of people with psoriasis.[12] Plaque psoriasis typically appears as raised areas of inflamed skin covered with silvery-white, scaly skin. These areas are called plaques and are most commonly found on the elbows, knees, scalp, and back.[12][13]
-
Plaques of psoriasis
-
A person's arm covered with plaque psoriasis -
Psoriasis of the palms -
Psoriasis of the scalp
Other forms
Additional types of psoriasis comprise about 10% of cases. They include pustular, inverse, napkin, guttate, oral, and seborrheic-like forms.[14]
Pustular psoriasis

Pustular psoriasis appears as raised bumps filled with noninfectious pus (pustules).[15] The skin under and surrounding the pustules is red and tender.[16] Pustular psoriasis can either be localized or more widespread throughout the body. Two types of localized pustular psoriasis include psoriasis pustulosa palmoplantaris and acrodermatitis continua of Hallopeau; both forms are localized to the hands and feet.[17]
Inverse psoriasis
Inverse psoriasis (also known as flexural psoriasis) appears as smooth, inflamed patches of skin. The patches frequently affect skin folds, particularly around the genitals (between the thigh and groin), the armpits, in the skin folds of an overweight abdomen (known as panniculus), between the buttocks in the intergluteal cleft, and under the breasts in the inframammary fold. Heat, trauma, and infection are thought to play a role in the development of this atypical form of psoriasis.[18]
Napkin psoriasis
Napkin psoriasis is a subtype of psoriasis common in infants under the age of two and is characterized by red papules with silver scales in the diaper area that may extend to the torso or limbs.[19][20] Napkin psoriasis is often misdiagnosed as napkin dermatitis (diaper rash).[21] It typically improves as children age and may later present in more common forms as plaque psoriasis or inverse psoriasis.[22]
Guttate psoriasis

Guttate psoriasis is an inflammatory condition characterized by numerous small, scaly, red or pink, droplet-like lesions (papules). These numerous papules appear over large areas of the body, primarily the trunk, limbs, and scalp, but typically spare the palms and soles. Guttate psoriasis is often triggered by a streptococcal infection (oropharyngeal or perianal) and typically occurs 1–3 weeks post-infection. Guttate psoriasis is most commonly seen in children and young adults, and diagnosis is typically made based on history and clinical exam findings.[23] Skin biopsy can also be performed which typically shows a psoriasiform reaction pattern characterized by epidermal hyperplasia with elongation of the rete ridges.[23]
There is no firm evidence regarding the best management for guttate psoriasis; however, first-line therapy for mild guttate psoriasis typically includes topical corticosteroids.[23][24] Phototherapy can be used for moderate or severe guttate psoriasis. Biologic treatments have not been well studied in the treatment of guttate psoriasis.[23]
Guttate psoriasis has a better prognosis than plaque psoriasis and typically resolves within 1–3 weeks; however, up to 40% of patients with guttate psoriasis eventually convert to plaque psoriasis.[23][18]
Erythrodermic psoriasis
Psoriatic erythroderma (erythrodermic psoriasis) involves widespread inflammation and exfoliation of the skin over most of the body surface, often involving greater than 90% of the body surface area.[17] It may be accompanied by severe dryness, itching, swelling, and pain. It can develop from any type of psoriasis.[17] It is often the result of an exacerbation of unstable plaque psoriasis, particularly following the abrupt withdrawal of systemic glucocorticoids.[25] This form of psoriasis can be fatal as the extreme inflammation and exfoliation disrupt the body's ability to regulate temperature and perform barrier functions.[26]
Mouth
Psoriasis in the mouth is very rare, in contrast to lichen planus, another common papulosquamous disorder that commonly involves both the skin and mouth.[27] When psoriasis involves the oral mucosa (the lining of the mouth), it may be asymptomatic,[27] but it may appear as white or grey-yellow plaques.[27] Fissured tongue is the most common finding in those with oral psoriasis and has been reported to occur in 6.5–20% of people with psoriasis affecting the skin. The microscopic appearance of oral mucosa affected by geographic tongue (migratory stomatitis) is very similar to the appearance of psoriasis.[28] A recent study found an association between the two conditions, and it suggests that geographic tongue might be a predictor for psoriasis.[29]
Seborrheic-like psoriasis
Seborrheic-like psoriasis is a common form of psoriasis with clinical aspects of psoriasis and seborrheic dermatitis, and it may be difficult to distinguish from the latter. This form of psoriasis typically manifests as red plaques with greasy scales in areas of higher sebum production such as the scalp, forehead, skin folds next to the nose, the skin surrounding the mouth, skin on the chest above the sternum, and in skin folds.[19]
Psoriatic arthritis
Psoriatic arthritis is a form of chronic inflammatory arthritis that has a highly variable clinical presentation and frequently occurs in association with skin and nail psoriasis.[30][31] It typically involves painful inflammation of the joints and surrounding connective tissue and can occur in any joint, but most commonly affects the joints of the fingers and toes. This can result in a sausage-shaped swelling of the fingers and toes known as dactylitis.[30] Psoriatic arthritis can also affect the hips, knees, spine (spondylitis), and sacroiliac joint (sacroiliitis).[32] About 30% of individuals with psoriasis will develop psoriatic arthritis.[12] Skin manifestations of psoriasis tend to occur before arthritic manifestations in about 75% of cases.[31]
Nail changes

Psoriasis can affect the nails and produces a variety of changes in the appearance of fingers and toenails. Nail psoriasis occurs in 40–45% of people with psoriasis affecting the skin, and has a lifetime incidence of 80–90% in those with psoriatic arthritis.[33] These changes include pitting of the nails (pinhead-sized depressions in the nail is seen in 70% with nail psoriasis), whitening of the nail, small areas of bleeding from capillaries under the nail, yellow-reddish discoloration of the nails known as the oil drop or salmon spots, dryness, thickening of the skin under the nail (subungual hyperkeratosis), loosening and separation of the nail (onycholysis), and crumbling of the nail.[33]
Medical signs
In addition to the appearance and distribution of the rash, specific medical signs may be used by medical practitioners to assist with diagnosis. These may include Auspitz's sign (pinpoint bleeding when the scale is removed), Koebner phenomenon (psoriatic skin lesions induced by trauma to the skin),[19] and itching and pain localized to papules and plaques.[18][19]
Causes
The cause of psoriasis is not fully understood. Genetics, seasonal changes, skin damage, climate, immunocompromised state, specific infections, and the use of some medications have been connected with different types of psoriasis.[34][35]
Genetics
Around one-third of people with psoriasis report a family history of the disease, and researchers have identified genetic loci associated with the condition. Identical twin studies suggest a 70% chance of a twin developing psoriasis if the other twin has the disorder. The risk is around 20% for fraternal twins. These findings suggest both a genetic susceptibility and an environmental response in developing psoriasis.[36]
Psoriasis has a strong hereditary component, and many genes are associated with it, but how those genes work together is unclear. Most of the identified genes relate to the immune system, particularly the major histocompatibility complex (MHC) and T cells. Genetic studies are valuable due to their ability to identify molecular mechanisms and pathways for further study and potential medication targets.[37]
Classic genome-wide linkage analysis has identified nine loci on different chromosomes associated with psoriasis. They are called psoriasis susceptibility 1 through 9 (PSORS1 through PSORS9). Within those loci are genes on pathways that lead to inflammation. Certain variations (mutations) of those genes are commonly found in psoriasis.[37] Genome-wide association scans have identified other genes that are altered to characteristic variants in psoriasis. Some of these genes express inflammatory signal proteins, which affect cells in the immune system that are also involved in psoriasis. Some of these genes are also involved in other autoimmune diseases.[37]
The major determinant is PSORS1, which probably accounts for 35–50% of psoriasis heritability.[38] It controls genes that affect the immune system or encode skin proteins that are overabundant in psoriasis. PSORS1 is located on chromosome 6 in the MHC, which controls important immune functions. Three genes in the PSORS1 locus have a strong association with psoriasis vulgaris: HLA-C variant HLA-Cw6,[34] which encodes an MHC class I protein; CCHCR1, variant WWC, which encodes a coiled coil protein overexpressed in psoriatic epidermis; and CDSN, variant allele 5, which encodes corneodesmosin, a protein expressed in the granular and cornified layers of the epidermis and upregulated in psoriasis.[37]
Two major immune system genes under investigation are interleukin-12 subunit beta (IL12B) on chromosome 5q, which expresses interleukin-12B; and IL23R on chromosome 1p, which expresses the interleukin-23 receptor and is involved in T cell differentiation. Interleukin-23 receptor and IL12B have both been strongly linked with psoriasis.[34] T cells are involved in the inflammatory process that leads to psoriasis.[37] These genes are on the pathway that upregulates tumor necrosis factor-α and nuclear factor κB, two genes involved in inflammation.[37] The first gene directly linked to psoriasis was identified as the CARD14 gene located in the PSORS2 locus. A rare mutation in the gene encoding for the CARD14-regulated protein, plus an environmental trigger, was enough to cause plaque psoriasis (the most common form of psoriasis).[39][40]
Lifestyle
Conditions reported as worsening the disease include chronic infections, stress, and changes in season and climate.[34] Other factors that might worsen the condition include hot water, scratching psoriasis skin lesions, skin dryness, excessive alcohol consumption, cigarette smoking, and obesity.[34][41][42][43] The effects of stopping cigarette smoking or alcohol misuse have yet to be studied as of 2019.[43]
HIV
The rate of psoriasis in human immunodeficiency virus-positive (HIV) individuals is comparable to that of HIV-negative individuals, but psoriasis tends to be more severe in people infected with HIV.[44] A much higher rate of psoriatic arthritis occurs in HIV-positive individuals with psoriasis than in those without the infection.[44] The immune response in those infected with HIV is typically characterized by cellular signals from Th2 subset of CD4+ helper T cells,[45] whereas the immune response in psoriasis vulgaris is characterized by a pattern of cellular signals typical of Th1 subset of CD4+ helper T cells and Th17 helper T cells.[46][47] The diminished CD4+ T cell presence is thought to cause overactivation of CD8+ T cells, which are responsible for the exacerbation of psoriasis in HIV-positive people. Psoriasis in those with HIV/AIDS is often severe and may be untreatable with conventional therapy.[48] In those with long-term, well-controlled psoriasis, new HIV infection can trigger a severe flare-up of psoriasis and/or psoriatic arthritis.
Microbes
Psoriasis has been described as occurring after strep throat, and may be worsened by skin or gut colonization with Staphylococcus aureus, Malassezia spp., and Candida albicans.[35] Guttate psoriasis often affects children and adolescents and can be triggered by a recent group A streptococcal infection (tonsillitis or pharyngitis).[17]
Medications
Drug-induced psoriasis may occur with beta blockers,[10] lithium,[10] antimalarial medications,[10] nonsteroidal anti-inflammatory drugs,[10] terbinafine, calcium channel blockers, captopril, glyburide, granulocyte colony-stimulating factor,[10] interleukins, interferons,[10] lipid-lowering medications,[14]: 197 and paradoxically TNF inhibitors such as infliximab or adalimumab.[49] Withdrawal of corticosteroids (topical steroid cream) can aggravate psoriasis due to the rebound effect.[50]
Pathophysiology
Psoriasis is characterized by an abnormally excessive and rapid growth of the epidermal layer of the skin.[51] Abnormal production of skin cells (especially during wound repair) and an overabundance of skin cells result from the sequence of pathological events in psoriasis.[16] The sequence of pathological events in psoriasis is thought to start with an initiation phase in which an event (skin trauma, infection, or drugs) leads to activation of the immune system and then the maintenance phase consisting of chronic progression of the disease.[37][17] Skin cells are replaced every 3–5 days in psoriasis rather than the usual 28–30 days.[52] These changes are believed to stem from the premature maturation of keratinocytes induced by an inflammatory cascade in the dermis involving dendritic cells, macrophages, and T cells (three subtypes of immune cells).[12][44] These immune cells move from the dermis to the epidermis and secrete inflammatory chemical signals (cytokines) such as interleukin-36γ, tumor necrosis factor-α, interleukin-1β, interleukin-6, and interleukin-22.[37][53] These secreted inflammatory signals are believed to stimulate keratinocytes to proliferate.[37] One hypothesis is that psoriasis involves a defect in regulatory T cells, and in the regulatory cytokine interleukin-10.[37] The inflammatory cytokines found in psoriatic nails and joints (in the case of psoriatic arthritis) are similar to those of psoriatic skin lesions, suggesting a common inflammatory mechanism.[17]
Gene mutations of proteins involved in the skin's ability to function as a barrier have been identified as markers of susceptibility for the development of psoriasis.[54][55]
Deoxyribonucleic acid (DNA) released from dying cells acts as an inflammatory stimulus in psoriasis[56] and stimulates the receptors on certain dendritic cells, which in turn produce the cytokine interferon-α.[56] In response to these chemical messages from dendritic cells and T cells, keratinocytes also secrete cytokines such as interleukin-1, interleukin-6, and tumor necrosis factor-α, which signal downstream inflammatory cells to arrive and stimulate additional inflammation.[37]
Dendritic cells bridge the innate immune system and adaptive immune system. They are increased in psoriatic lesions[51] and induce the proliferation of T cells and type 1 helper T cells (Th1). Targeted immunotherapy, as well as psoralen and ultraviolet A (PUVA) therapy, can reduce the number of dendritic cells and favors a TH2 cell cytokine secretion pattern over a Th1/Th17 cell cytokine profile.[37][46] Psoriatic T cells move from the dermis into the epidermis and secrete interferon-γ and interleukin-17.[57] Interleukin-23 is known to induce the production of interleukin-17 and interleukin-22.[51][57] Interleukin-22 works in combination with interleukin-17 to induce keratinocytes to secrete neutrophil-attracting cytokines.[57]
Diagnosis

A diagnosis of psoriasis is usually based on the appearance of the skin. Skin characteristics typical for psoriasis are scaly, erythematous plaques, papules, or patches of skin that may be painful and itch.[18] No special blood tests or diagnostic procedures are usually required to make the diagnosis.[16]
The differential diagnosis of psoriasis includes dermatological conditions similar in appearance such as discoid eczema, seborrheic eczema, pityriasis rosea (may be confused with guttate psoriasis), nail fungus (may be confused with nail psoriasis) or cutaneous T cell lymphoma (50% of individuals with this cancer are initially misdiagnosed with psoriasis).[50] Dermatologic manifestations of systemic illnesses such as the rash of secondary syphilis may also be confused with psoriasis.[50]
If the clinical diagnosis is uncertain, a skin biopsy or scraping may be performed to rule out other disorders and to confirm the diagnosis. Skin from a biopsy shows clubbed epidermal projections that interdigitate with dermis on microscopy. Epidermal thickening is another characteristic histologic finding of psoriasis lesions.[16][59] The stratum granulosum layer of the epidermis is often missing or significantly decreased in psoriatic lesions; the skin cells from the most superficial layer of skin are also abnormal as they never fully mature. Unlike their mature counterparts, these superficial cells keep their nuclei.[16] Inflammatory infiltrates can typically be seen on microscopy when examining skin tissue or joint tissue affected by psoriasis. Epidermal skin tissue affected by psoriatic inflammation often has many CD8+ T cells, while a predominance of CD4+ T cells makes up the inflammatory infiltrates of the dermal layer of skin and joints.[16]
Classification
Morphological
| Psoriasis Type | ICD-10 Code |
|---|---|
| Psoriasis Vulgaris | L40.0 |
| Generalized pustular psoriasis | L40.1 |
| Acrodermatitis continua | L40.2 |
| Pustulosis palmaris et plantaris | L40.3 |
| Guttate psoriasis | L40.4 |
| Psoriatic arthritis | L40.50 |
| Psoriatic spondylitis | L40.53 |
| Inverse psoriasis | L40.8 |
Psoriasis is classified as a papulosquamous disorder and is most commonly subdivided into different categories based on histological characteristics.[3][10] Variants include plaque, pustular, guttate, and flexural psoriasis. Each form has a dedicated ICD-10 code.[60] Psoriasis can also be classified into nonpustular and pustular types.[61]
Pathogenetic
Another classification scheme considers genetic and demographic factors. Type 1 has a positive family history, starts before the age of 40, and is associated with the human leukocyte antigen, HLA-Cw6. Conversely, type 2 does not show a family history, presents after age 40, and is not associated with HLA-Cw6.[62] Type 1 accounts for about 75% of persons with psoriasis.[63]
The classification of psoriasis as an autoimmune disease has sparked considerable debate. Researchers have proposed differing descriptions of psoriasis and psoriatic arthritis; some authors have classified them as autoimmune diseases[16][34][64] while others have classified them as distinct from autoimmune diseases and referred to them as immune-mediated inflammatory diseases.[37][65][66]
Severity

No consensus exists about how to classify the severity of psoriasis. Mild psoriasis has been defined as a percentage of body surface area (BSA)≤10, a Psoriasis Area and Severity Index (PASI) score ≤10, and a Dermatology Life Quality Index (DLQI) score ≤10.[67] Moderate to severe psoriasis was defined by the same group as BSA >10 or PASI score >10 and a DLQI score >10.[67]
The DLQI is a 10-question tool used to measure the impact of several dermatologic diseases on daily functioning. The DLQI score ranges from 0 (minimal impairment) to 30 (maximal impairment) and is calculated with each answer being assigned 0–3 points, with higher scores indicating greater social or occupational impairment.[68]
The PASI is the most widely used measurement tool for psoriasis. It assesses the severity of lesions and the area affected and combines these two factors into a single score from 0 (no disease) to 72 (maximal disease).[69] Nevertheless, the PASI can be too unwieldy to use outside of research settings, which has led to attempts to simplify the index for clinical use.[70]
Co-morbidities
Psoriasis is not just a skin disease. The symptoms of psoriasis can sometimes go beyond the skin and can hurt the quality of life of the affected individuals.[71] Additionally, the co-morbidities increase the treatment and financial burden of psoriasis and should be considered when managing this condition.[71]
Cardiovascular complications
There is a 2.2 times increased risk of cardiovascular complications in people with psoriasis.[72] Also, people with psoriasis are more susceptible to myocardial infarction (heart attack) and stroke.[72] It has been speculated that there is systemic inflammation in psoriasis, which drives "psoriatic march" and can cause other inflammatory complications including cardiovascular complications.[72] A study used fluorodeoxyglucose F-18 positron emission tomography-computed tomography (FDG PET/CT) to measure aortic vascular inflammation in psoriasis patients, and found increased coronary artery disease indices, including total plaque burden, luminal stenosis, and high-risk plaques in people with psoriasis. Similarly, it was found that there is an 11% reduction in aortic vascular inflammation when there is a 75% reduction in the PASI score.[73]
Depression
Depression or depressive symptoms are present in 28–55% of people with psoriasis.[74] People with psoriasis are often stigmatized due to visible disfigurement of the skin. Social stigmatization is a risk factor for depression; however, other immune system factors may also be related to the observed increased incidence of depression in people with psoriasis.[74] There is some evidence that increased inflammatory signals in the body could also contribute to depression in people with chronic inflammatory diseases, including psoriasis.[74]
Type 2 diabetes
People with psoriasis are at increased risk of developing type 2 diabetes (~1.5 odds ratio).[75] A genome-wide genetic study found that psoriasis and type 2 diabetes share four loci, namely, ACTR2, ERLIN1, TRMT112, and BECN1, which are connected via the inflammatory NF-κB pathway.[75]
Management

While no cure is available for psoriasis,[50] many treatment options exist. Topical agents are typically used for mild disease, phototherapy for moderate disease, and systemic agents for severe disease.[76] There is no evidence to support the effectiveness of conventional topical and systemic drugs, biological therapy, or phototherapy for acute guttate psoriasis or an acute guttate flare of chronic psoriasis.[77]
Topical agents
Topical corticosteroid preparations are the most effective agents when used continuously for eight weeks; retinoids and coal tar were found to be of limited benefit and may be no better than placebo.[78] Very potent topical corticosteroids may be helpful in some cases; however, it is suggested to only use them for four weeks at a time and only if other less potent topical treatment options are not working.[79]
Vitamin D analogues (such as paricalcitol, calcipotriol, tacalcitol, and calcitriol) are superior to placebo. Combination therapy with vitamin D and a corticosteroid is superior to either treatment alone and vitamin D is superior to coal tar for chronic plaque psoriasis.[80]
For psoriasis of the scalp, a 2016 review found dual therapy (vitamin D analogs and topical corticosteroids) or corticosteroid monotherapy to be more effective and safer than topical vitamin D analogs alone.[81] Due to their similar safety profiles and minimal benefit of dual therapy over monotherapy, corticosteroid monotherapy appears to be an acceptable treatment for short-term treatment.[81]
Moisturizers and emollients such as mineral oil, petroleum jelly, and decubal (an oil-in-water emollient) were found to increase the clearance of psoriatic plaques. Some emollients are even more effective at clearing psoriatic plaques when combined with phototherapy.[82] Certain emollients, though, have no impact on psoriasis plaque clearance or may even decrease the clearance achieved with phototherapy, e.g., the emollient salicylic acid is structurally similar to para-aminobenzoic acid, commonly found in sunscreen, and is known to interfere with phototherapy in psoriasis. Coconut oil, when used as an emollient in psoriasis, has been found to decrease plaque clearance with phototherapy.[82] Medicated creams and ointments applied directly to psoriatic plaques can help reduce inflammation, remove built-up scale, reduce skin turnover, and clear affected skin of plaques. Ointment and creams containing coal tar, dithranol, corticosteroids (i.e. desoximetasone), fluocinonide, vitamin D3 analogues (for example, calcipotriol), and retinoids are routinely used. (The use of the finger tip unit may help guide how much topical treatment to use.)[41][83]
Vitamin D analogs may be useful with steroids; steroids alone have a higher rate of side effects.[80] Vitamin D analogs may allow lower doses of steroids to be used.[84]
Another topical therapy used to treat psoriasis is a form of balneotherapy, which involves daily baths in saltwater, such as the Dead Sea, combined with sun exposure. This is usually done for four weeks, in which exposure time is gradually increased. The primary benefit is attributed to sun exposure and specifically UVB light. This is cost-effective, and it has been propagated as an effective way to treat psoriasis without medication.[85] Decreases of PASI scores greater than 75% and remission for several months have commonly been observed.[85] Side effects may be mild, such as itchiness, folliculitis, sunburn, poikiloderma, and a theoretical risk of nonmelanoma cancer or melanoma has been suggested.[85] Some studies indicate no increased risk of melanoma in the long term.[86] Data are inconclusive concerning nonmelanoma skin cancer risk, but support the idea that the therapy is associated with an increased risk of benign forms of sun-induced skin damage such as, but not limited to, actinic elastosis or liver spots.[86] Dead Sea balneotherapy is also effective for psoriatic arthritis.[86] Tentative evidence indicates that balneophototherapy, a combination of salt bathes and exposure to ultraviolet B-light (UVB), in chronic plaque psoriasis is better than UVB alone.[87] Glycerin is also an effective treatment for Psoriasis.[88]
UV phototherapy
Phototherapy in the form of sunlight has long been used for psoriasis.[76] UVB wavelengths of 311–313 nanometers are most common. UV-B lamps have been developed for this treatment.[76] The exposure time should be controlled to avoid overexposure and burning of the skin. The UVB lamps should have a timer that turns off the lamp when the time ends. The dose is increased in every treatment to let the skin get used to the light.[76] Increased rates of cancer from treatment appear to be small.[76] Narrowband UVB therapy has been demonstrated to have similar efficacy to psoralen and ultraviolet A phototherapy (PUVA).[89] A 2013 meta-analysis found no difference in efficacy between NB-UVB and PUVA in the treatment of psoriasis, but NB-UVB is usually more convenient.[90]
One of the problems with clinical phototherapy is the difficulty many people have gaining access to a facility. Indoor tanning resources are almost ubiquitous today and could be considered as a means for people to get UV exposure when dermatologist-provided phototherapy is not available. Indoor tanning is already used by many people as a treatment for psoriasis; one indoor facility reported that 50% of its clients were using the center for psoriasis treatment, and another reported 36% were doing the same thing. However, a concern with the use of commercial tanning is that tanning beds that primarily emit UVA might not effectively treat psoriasis. One study found that plaque psoriasis is responsive to erythemogenic doses of either UVA or UVB, as exposure to either can cause dissipation of psoriatic plaques. It does require more energy to reach erythemogenic dosing with UVA.[91]
UV light therapies all have risks; tanning beds are no exception, being listed by the World Health Organization as carcinogens.[92] Exposure to UV light is known to increase the risks of melanoma and squamous cell and basal cell carcinomas; younger people with psoriasis, particularly those under age 35, are at increased risk from melanoma from UV light treatment. A review of studies recommends that people who are susceptible to skin cancers exercise caution when using UV light therapy as a treatment.[91]
A major mechanism of NB-UVB is the induction of DNA damage in the form of pyrimidine dimers. This type of phototherapy is useful in the treatment of psoriasis because the formation of these dimers interferes with the cell cycle and stops it. The interruption of the cell cycle induced by NB-UVB opposes the characteristic rapid division of skin cells seen in psoriasis.[89] The activity of many types of immune cells found in the skin is also effectively suppressed by NB-UVB phototherapy treatments.[93] The most common short-term side effect of this form of phototherapy is redness of the skin; less common side effects of NB-UVB phototherapy are itching and blistering of the treated skin, irritation of the eyes in the form of conjunctival inflammation or inflammation of the cornea, or cold sores due to reactivation of the herpes simplex virus in the skin surrounding the lips. Eye protection is usually given during phototherapy treatments.[89]
PUVA combines the oral or topical administration of psoralen with exposure to ultraviolet A (UVA) light. The mechanism of action of PUVA is unknown but probably involves activation of psoralen by UVA light, which inhibits the abnormally rapid production of cells in psoriatic skin. There are multiple mechanisms of action associated with PUVA, including effects on the skin's immune system. PUVA is associated with nausea, headache, fatigue, burning, and itching. Long-term treatment is associated with squamous cell carcinoma (but not with melanoma).[42][94] A combination therapy for moderate to severe psoriasis using PUVA plus acitretin resulted in benefit, but acitretin use has been associated with birth defects and liver damage.[95]
Systemic agents

Psoriasis resistant to topical treatment and phototherapy may be treated with systemic therapies including medications by mouth or injectable treatments.[96] People undergoing systemic treatment must have regular blood and liver function tests to check for medication toxicities.[96] Pregnancy must be avoided for most of these treatments. The majority of people experience a recurrence of psoriasis after systemic treatment is discontinued.
Non-biologic systemic treatments frequently used for psoriasis include methotrexate, ciclosporin, hydroxycarbamide, fumarates such as dimethyl fumarate, and retinoids.[97] Methotrexate and ciclosporin are medications that suppress the immune system; retinoids are synthetic forms of vitamin A. These agents are also regarded as first-line treatments for psoriatic erythroderma.[25] Oral corticosteroids should not be used as they can severely flare psoriasis upon their discontinuation.[98]
Biologics are manufactured proteins that interrupt the immune process involved in psoriasis. Unlike generalized immunosuppressive medical therapies such as methotrexate, biologics target specific aspects of the immune system contributing to psoriasis.[97] These medications are generally well-tolerated, and limited long-term outcome data have demonstrated biologics to be safe for long-term use in moderate to severe plaque psoriasis.[97][99] However, due to their immunosuppressive actions, biologics have been associated with a small increase in the risk for infection.[97]
Guidelines regard biologics as a third-line treatment for plaque psoriasis following inadequate response to topical treatment, phototherapy, and non-biologic systemic treatments.[99] The safety of biologics during pregnancy has not been assessed. European guidelines recommend avoiding biologics if a pregnancy is planned; anti-TNF therapies such as infliximab are not recommended for use in chronic carriers of the hepatitis B virus or individuals infected with HIV.[97]
Several monoclonal antibodies target cytokines, the molecules that cells use to send inflammatory signals to each other. TNF-α is one of the main executor inflammatory cytokines. Four monoclonal antibodies (MAbs) (infliximab, adalimumab, golimumab, and certolizumab pegol) and one recombinant TNF-α decoy receptor, etanercept, have been developed to inhibit TNF-α signaling. Additional monoclonal antibodies, such as ixekizumab,[100] have been developed against pro-inflammatory cytokines[101] and inhibit the inflammatory pathway at a different point than the anti-TNF-α antibodies.[37] IL-12 and IL-23 share a common domain, p40, which is the target of the FDA-approved ustekinumab.[34] In 2017 the US FDA approved guselkumab for plaque psoriasis.[102] There have been few studies of the efficacy of anti-TNF medications for psoriasis in children. One randomized controlled study suggested that 12 weeks of etanercept treatment reduced the extent of psoriasis in children with no lasting adverse effects.[103]
Two medications that target T cells are efalizumab and alefacept. Efalizumab is a monoclonal antibody that specifically targets the CD11a subunit of LFA-1.[97] It also blocks the adhesion molecules on the endothelial cells that line blood vessels, which attract T cells. Efalizumab was voluntarily withdrawn from the European market in February 2009, and from the U.S. market in June 2009, by the manufacturer due to the medication's association with cases of progressive multifocal leukoencephalopathy.[97] Alefacept also blocks the molecules that dendritic cells use to communicate with T cells and even causes natural killer cells to kill T cells as a way of controlling inflammation.[37] Apremilast may also be used.[12]
Individuals with psoriasis may develop neutralizing antibodies against monoclonal antibodies. Neutralization occurs when an antidrug antibody prevents a monoclonal antibody, such as infliximab, from binding antigen in a laboratory test. Specifically, neutralization occurs when the anti-drug antibody binds to infliximab's antigen-binding site instead of TNF-α. When infliximab no longer binds tumor necrosis factor alpha, it no longer decreases inflammation, and psoriasis may worsen. Neutralizing antibodies have not been reported against etanercept, a biologic medication that is a fusion protein composed of two TNF-α receptors. The lack of neutralizing antibodies against etanercept is probably secondary to the innate presence of the TNF-α receptor and the development of immune tolerance.[104]
There is strong evidence to indicate that infliximab, bimekizumab, ixekizumab, and risankizumab are the most effective biologics for treating moderate to severe cases of psoriasis.[105] There is also some evidence to support use of secukinumab, brodalumab, guselkumab, certolizumab, and ustekinumab.[106][105] In general, anti-IL17, anti-IL12/23, anti-IL23, and anti-TNF alpha biologics were found to be more effective than traditional systemic treatments.[105] The immunologic pathways of psoriasis involve Th9, Th17, Th1 lymphocytes, and IL-22. The aforementioned biologic agents hinder different aspects of these pathways.
Another set of treatments for moderate to severe psoriasis are fumaric acid esters (FAE), which may be similar in effectiveness to methotrexate.[107]
Apremilast (Otezla, Celgene) is an oral small-molecule inhibitor of the enzyme phosphodiesterase 4, which plays an important role in chronic inflammation associated with psoriasis.[108]
It has been theorized that antistreptococcal medications may improve guttate and chronic plaque psoriasis; however, limited studies do not show that antibiotics are effective.[109]
Surgery
Limited evidence suggests removal of the tonsils may benefit people with chronic plaque psoriasis, guttate psoriasis, and palmoplantar pustulosis.[110][111]
Diet
Uncontrolled studies have suggested that individuals with psoriasis or psoriatic arthritis may benefit from a diet supplemented with fish oil rich in eicosapentaenoic acid (EPA) and docosahexaenoic acid (DHA).[112] A low-calorie diet appears to reduce the severity of psoriasis.[43] Diet recommendations include consumption of cold water fish (preferably wild fish, not farmed) such as salmon, herring, and mackerel; extra virgin olive oil; legumes; vegetables; fruits; and whole grains; and avoid consumption of alcohol, red meat, and dairy products (due to their saturated fat). The effect of caffeine consumption (including from coffee, black tea, mate, and dark chocolate) remains to be determined.[113]
Many patients report improvements after consuming less tobacco, caffeine, sugar, nightshades (tomatoes, eggplant, peppers, paprika and white potatoes) and taking probiotics and oral Vitamin D.[114]
There is a higher rate of celiac disease among people with psoriasis.[113][115] When adopting a gluten-free diet, disease severity generally decreases in people with celiac disease and those with anti-gliadin antibodies.[112][116][117]
Prognosis
Most people with psoriasis experience nothing more than mild skin lesions that can be treated effectively with topical therapies.[78] Depending on the severity and location of outbreaks, people may experience significant physical discomfort and some disability, affecting the person's quality of life.[34] Itching and pain can interfere with basic functions, such as self-care and sleep.[52] Participation in sporting activities, certain occupations, and caring for family members can become difficult activities for those with plaques located on their hands and feet.[52] Plaques on the scalp can be particularly embarrassing, as flaky plaque in the hair can be mistaken for dandruff.[118]

Individuals with psoriasis may feel self-conscious about their appearance and have a poor self-image that stems from fear of public rejection and psychosexual concerns. Psoriasis has been associated with low self-esteem, and depression is more common among those with the condition.[3] People with psoriasis often feel prejudiced against due to the commonly held incorrect belief that psoriasis is contagious.[52] Psychological distress can lead to significant depression and social isolation; a high rate of thoughts about suicide has been associated with psoriasis.[21] Many tools exist to measure the quality of life of people with psoriasis and other dermatological disorders. Clinical research has indicated that individuals often experience a diminished quality of life.[119] Children with psoriasis may encounter bullying.[120]
Several conditions are associated with psoriasis, including obesity, cardiovascular, and metabolic disturbances. These occur more frequently in older people. Nearly half of individuals with psoriasis over the age of 65 have at least three comorbidities (concurrent conditions), and two-thirds have at least two comorbidities.[121]
Cardiovascular disease
Psoriasis has been associated with obesity[3] and several other cardiovascular and metabolic disturbances. The number of new cases per year of diabetes is 27% higher in people affected by psoriasis than in those without the condition.[122] Severe psoriasis may be even more strongly associated with the development of diabetes than mild psoriasis.[122] Younger people with psoriasis may also be at increased risk for developing diabetes.[121] Individuals with psoriasis or psoriatic arthritis have a slightly higher risk of heart disease and heart attacks when compared to the general population. Cardiovascular disease risk appeared to be correlated with the severity of psoriasis and its duration. There is no strong evidence to suggest that psoriasis is associated with an increased risk of death from cardiovascular events. Methotrexate may provide a degree of protection for the heart.[42][121]
The odds of having hypertension are 1.58 times ( i.e. 58%) higher in people with psoriasis than those without the condition; these odds are even higher with severe cases of psoriasis. A similar association was noted in people who have psoriatic arthritis—the odds of having hypertension were found to be 2.07 times ( i.e., 107%) greater when compared to the odds of the general population. The link between psoriasis and hypertension is not currently understood. Mechanisms hypothesized to be involved in this relationship include the following: dysregulation of the renin–angiotensin system, elevated levels of endothelin 1 in the blood, and increased oxidative stress. The number of new cases of the heart rhythm abnormality atrial fibrillation is 1.31 times ( i.e. 31%) higher in people with mild psoriasis and 1.63 times ( i.e. 63%) higher in people with severe psoriasis.[123] There may be a slightly increased risk of stroke associated with psoriasis, especially in severe cases.[42][124] Treating high levels of cholesterol with statins has been associated with decreased psoriasis severity, as measured by PASI score, and has also been associated with improvements in other cardiovascular disease risk factors such as markers of inflammation.[125] These cardioprotective effects are attributed to ability of statins to improve blood lipid profile and because of their anti-inflammatory effects. Statin use in those with psoriasis and hyperlipidemia was associated with decreased levels of high-sensitivity C-reactive protein and TNFα as well as decreased activity of the immune protein LFA-1.[125] Compared to individuals without psoriasis, those affected by psoriasis are more likely to satisfy the criteria for metabolic syndrome.[16][123]
Other diseases
The rates of Crohn's disease and ulcerative colitis are increased when compared with the general population by a factor of 3.8 and 7.5, respectively.[3] People with psoriasis also have a higher risk of celiac disease.[113][117] Few studies have evaluated the association of multiple sclerosis with psoriasis, and the relationship has been questioned.[3] Psoriasis has been associated with a 16% increase in overall relative risk for non-skin cancer, thought to be attributed to systemic therapy, particularly methotrexate.[42] People treated with long-term systemic therapy for psoriasis have a 52% increased risk cancers of the lung and bronchus, a 205% increase in the risk of developing cancers of the upper gastrointestinal tract, a 31% increase in the risk of developing cancers of the urinary tract, a 90% increase in the risk of developing liver cancer, and a 46% increase in the risk of developing pancreatic cancer.[42] The risk for the development of non-melanoma skin cancers is also increased. Psoriasis increases the risk of developing squamous cell carcinoma of the skin by 431% and increases the risk of basal cell carcinoma by 100%.[42] There is no increased risk of melanoma associated with psoriasis.[42] People with psoriasis have a higher risk of developing cancer.[126]
Epidemiology
Psoriasis is estimated to affect 2–4% of the population of the Western world.[7] The rate of psoriasis varies according to age, region, and ethnicity; a combination of environmental and genetic factors is thought to be responsible for these differences.[7] Psoriasis is about five times more common in people of European descent than in people of Asian descent,[127] more common in countries farther from the equator,[49] relatively uncommon in African Americans, and extremely uncommon in Native Americans.[50] Psoriasis has been estimated to affect about 6.7 million Americans.[5]
Psoriasis can occur at any age, although it is more frequent in adults and commonly appears for the first time between the ages of 15 and 25 years.[5] Approximately one-third of people with psoriasis report being diagnosed before age 20.[128] Psoriasis affects both sexes equally.[62]
People with inflammatory bowel disease, such as Crohn's disease or ulcerative colitis, are at an increased risk of developing psoriasis.[49]
History
Scholars believe psoriasis to have been included among the various skin conditions called tzaraath (translated as leprosy) in the Hebrew Bible.[129] The person was deemed "impure" (see tumah and taharah) during their affected phase and is ultimately treated by the kohen.[130] However, it is more likely that this confusion arose from the use of the same Greek term for both conditions. The Greeks used the term lepra (λέπρα) for scaly skin conditions. They used the term psora (ψώρα) to describe itchy skin conditions.[130] It became known as Willan's lepra in the late 18th century when English dermatologists Robert Willan and Thomas Bateman differentiated it from other skin diseases. Leprosy, they said, is distinguished by the regular, circular form of patches, while psoriasis is always irregular. Willan identified two categories: leprosa graecorum and psora leprosa.[131]
Psoriasis is thought to have first been described in Ancient Rome by Cornelius Celsus.[132] The British dermatologist Thomas Bateman described a possible link between psoriasis and arthritic symptoms in 1813.[132] Admiral William Halsey missed out on the Battle of Midway because he contracted psoriasis while out at sea in the early months of American participation of World War II. Admiral Chester Nimitz medically ordered Halsey to recover at a hospital in Hawaii.
The history of psoriasis is littered with treatments of dubious effectiveness and high toxicity. In the 18th and 19th centuries, Fowler's solution, which contains a poisonous and carcinogenic arsenic compound, was used by dermatologists as a treatment for psoriasis.[130] Mercury was also used for psoriasis treatment during this time.[130] Sulfur, iodine, and phenol were also commonly used treatments for psoriasis during this era, when it was incorrectly believed that psoriasis was an infectious disease.[130] Coal tars were widely used with ultraviolet light irradiation as a topical treatment approach in the early 1900s.[130][133] During the same time, psoriatic arthritis cases were treated with intravenously administered gold preparations in the same manner as rheumatoid arthritis.[133]
Society and culture
The International Federation of Psoriasis Associations (IFPA) is the global umbrella organization for national and regional psoriasis associations and also gathers the leading experts in psoriasis and psoriatic arthritis research for scientific conferences every three years.[134] The Psoriasis International Network, a program of the Fondation René Touraine, gathers dermatologists, rheumatologists, and other caregivers involved in the management of psoriasis. Non-profit organizations like the National Psoriasis Foundation in the United States, the Psoriasis Association in the United Kingdom, Association France Psoriasis[135] and Psoriasis Australia offer advocacy and education about psoriasis in their respective countries. October 29 is World Psoriasis Day.[136]
Cost
The annual cost of treating psoriasis in the United States is estimated as high as $32.5 billion, including $12.2 billion in direct costs. Pharmacy costs are the main source of direct expense, with biologic therapy the most prevalent. These costs increase significantly when co-morbid conditions such as heart disease, hypertension, diabetes, lung disease, and psychiatric disorders are factored in. Expenses linked to co-morbidities are estimated at an additional $23,000 per person per year.[137]
Research
The role of insulin resistance in the pathogenesis of psoriasis is under investigation. Preliminary research has suggested that antioxidants such as polyphenols may have beneficial effects on the inflammation characteristic of psoriasis.[138]
Many novel medications being researched during the 2010s target the Th17/IL-23 axis,[138] particularly IL-23p19 inhibitors, as IL-23p19 is present in increased concentrations in psoriasis skin lesions while contributing less to protection against opportunistic infections.[139] Other cytokines such as IL-17 and IL-22 also have been targets for inhibition as they play important roles in the pathogenesis of psoriasis.[139] Another avenue of research has focused on the use of vascular endothelial growth factor inhibitors to treat psoriasis.[64] Oral agents being investigated during the 2010s as alternatives to medications administered by injection include Janus kinase inhibitors, protein kinase C inhibitors, mitogen-activated protein kinase inhibitors, and phosphodiesterase 4 inhibitors, all of which have proven effective in various phase 2 and 3 clinical trials.[138][139] These agents have potentially severe side-effects due to their immunosuppressive mechanisms.[139]
References
- ^ Jones D (2003) [1917]. Roach P, Hartmann J, Setter J (eds.). English Pronouncing Dictionary. Cambridge: Cambridge University Press. ISBN 978-3-12-539683-8.
- ^ "Psoriasis". Merriam-Webster.com Dictionary. Merriam-Webster.
- ^ a b c d e f g h i j k Menter A, Gottlieb A, Feldman SR, Van Voorhees AS, Leonardi CL, Gordon KB, Lebwohl M, Koo JY, Elmets CA, Korman NJ, Beutner KR, Bhushan R (2008). "Guidelines of care for the management of psoriasis and psoriatic arthritis". Journal of the American Academy of Dermatology. 58 (5): 826–850. doi:10.1016/j.jaad.2008.02.039. PMID 18423260.
- ^ a b c d e f g h i j k l m n o p q r Boehncke WH, Schön MP (September 2015). "Psoriasis". Lancet. 386 (9997): 983–94. Bibcode:2015Lanc..386..983B. doi:10.1016/S0140-6736(14)61909-7. PMID 26025581. S2CID 208793879.
- ^ a b c d e f g h i j k l "Questions and Answers About Psoriasis". National Institute of Arthritis and Musculoskeletal and Skin Diseases. 12 April 2017. Archived from the original on 22 April 2017. Retrieved 22 April 2017.
- ^ GBD 2015 Disease and Injury Incidence and Prevalence Collaborators (October 2016). "Global, regional, and national incidence, prevalence, and years lived with disability for 310 diseases and injuries, 1990-2015: a systematic analysis for the Global Burden of Disease Study 2015". Lancet. 388 (10053): 1545–1602. doi:10.1016/S0140-6736(16)31678-6. PMC 5055577. PMID 27733282.
- ^ a b c d Parisi R, Symmons DP, Griffiths CE, Ashcroft DM (February 2013). "Global epidemiology of psoriasis: a systematic review of incidence and prevalence". The Journal of Investigative Dermatology. 133 (2). Identification and Management of Psoriasis and Associated ComorbidiTy (IMPACT) project team: 377–85. doi:10.1038/jid.2012.339. PMID 23014338.
- ^ LeMone P, Burke K, Dwyer T, Levett-Jones T, Moxham L, Reid-Searl K (2015). Medical-Surgical Nursing. Pearson Higher Education AU. p. 454. ISBN 978-1-4860-1440-8. Archived from the original on 14 January 2023. Retrieved 8 May 2020.
- ^ Ely JW, Seabury Stone M (March 2010). "The generalized rash: part II. Diagnostic approach". American Family Physician. 81 (6): 735–9. PMID 20229972. Archived from the original on 2 February 2014.
- ^ a b c d e f g h i Jain S (2012). Dermatology: illustrated study guide and comprehensive board review. Springer. pp. 83–87. ISBN 978-1-4419-0524-6. Archived from the original on 8 September 2017.
- ^ Ritchlin C, Fitzgerald I (2007). Psoriatic and Reactive Arthritis: A Companion to Rheumatology (1st ed.). Maryland Heights, MI: Mosby. p. 4. ISBN 978-0-323-03622-1. Archived from the original on 8 January 2017.
- ^ a b c d e Palfreeman AC, McNamee KE, McCann FE (March 2013). "New developments in the management of psoriasis and psoriatic arthritis: a focus on apremilast". Drug Design, Development and Therapy. 7: 201–10. doi:10.2147/DDDT.S32713. PMC 3615921. PMID 23569359.
- ^ Colledge NR, Walker BR, Ralston SH, eds. (2010). Davidson's principles and practice of medicine (21st ed.). Edinburgh: Churchill Livingstone/Elsevier. pp. 1260–1. ISBN 978-0-7020-3084-0.
- ^ a b James W, Berger T, Elston D (2005). Andrews' Diseases of the Skin: Clinical Dermatology (10th ed.). Saunders. pp. 191–7. ISBN 978-0-7216-2921-6.
- ^ Robinson A, Van Voorhees AS, Hsu S, Korman NJ, Lebwohl MG, Bebo BF, Kalb RE (August 2012). "Treatment of pustular psoriasis: from the Medical Board of the National Psoriasis Foundation". Journal of the American Academy of Dermatology. 67 (2): 279–88. doi:10.1016/j.jaad.2011.01.032. PMID 22609220.
- ^ a b c d e f g h Raychaudhuri SK, Maverakis E, Raychaudhuri SP (January 2014). "Diagnosis and classification of psoriasis". Autoimmunity Reviews. 13 (4–5): 490–5. doi:10.1016/j.autrev.2014.01.008. PMID 24434359.
- ^ a b c d e f Rendon A, Schäkel K (March 2019). "Psoriasis Pathogenesis and Treatment". International Journal of Molecular Sciences. 20 (6): 1475. Bibcode:2019IJMSc..20.1475R. doi:10.3390/ijms20061475. PMC 6471628. PMID 30909615.
- ^ a b c d Weigle N, McBane S (May 2013). "Psoriasis". American Family Physician. 87 (9): 626–33. PMID 23668525. Archived from the original on 15 February 2015.
- ^ a b c d Gudjonsson JE, Elder JT, Goldsmith LA, Katz SI, Gilchrest BA, Paller AS, Leffell DJ, Wolff K (2012). "18: Psoriasis". Fitzpatrick's Dermatology in General Medicine (8th ed.). McGraw-Hill. ISBN 978-0-07-166904-7.
- ^ Afsar FS, Uysal SS, Salis FM, Calli AO (May 2016). "Napkin psoriasis". Pediatrics International. 58 (5): 420–422. doi:10.1111/ped.12916. ISSN 1328-8067. PMID 27103532.
- ^ a b Gelmetti C (January 2009). "Therapeutic moisturizers as adjuvant therapy for psoriasis patients". American Journal of Clinical Dermatology. 10 (Suppl 1): 7–12. doi:10.2165/0128071-200910001-00002. PMID 19209948. S2CID 9513914.
- ^ Mahé E (November 2016). "Childhood psoriasis". European Journal of Dermatology. 26 (6): 537–548. doi:10.1684/ejd.2016.2932. ISSN 1167-1122. PMID 27900946.
- ^ a b c d e Saleh D, Tanner LS (August 2022). "Guttate Psoriasis". StatPearls [Internet]. Treasure Island (FL): StatPearls Publishing. PMID 29494104.
- ^ Chalmers RJ, O'Sullivan T, Owen CM, Griffiths CE (2001). "A systematic review of treatments for guttate psoriasis". Br J Dermatol. 145 (6): 891–4. doi:10.1046/j.1365-2133.2001.04505.x. PMID 11899141. S2CID 27381477.
- ^ a b Zattra E, Belloni Fortina A, Peserico A, Alaibac M (May 2012). "Erythroderma in the era of biological therapies". European Journal of Dermatology. 22 (2): 167–71. doi:10.1684/ejd.2011.1569. PMID 22321651.
- ^ Stanway A. "Erythrodermic psoriasis". DermNet NZ. Archived from the original on 2 February 2014. Retrieved 16 March 2014.
- ^ a b c Yesudian PD, Chalmers RJ, Warren RB, Griffiths CE (January 2012). "In search of oral psoriasis". Archives of Dermatological Research. 304 (1): 1–5. doi:10.1007/s00403-011-1175-3. PMID 21927905. S2CID 33434341.
- ^ Greenberg MS, Glick M, Ship JA (2008). Burket's oral medicine (11th ed.). Hamilton, Ont: BC Decker. pp. 103–4. ISBN 978-1-55009-345-2.
- ^ González-Álvarez L, García-Martín JM, García-Pola MJ (May 2019). "Association between geographic tongue and psoriasis: A systematic review and meta-analyses". Journal of Oral Pathology & Medicine. 48 (5): 365–372. doi:10.1111/jop.12840. hdl:10651/52321. ISSN 1600-0714. PMID 30739339.
- ^ a b Chimenti MS, Saraceno R, Chiricozzi A, Giunta A, Chimenti S, Perricone R (April 2013). "Profile of certolizumab and its potential in the treatment of psoriatic arthritis". Drug Design, Development and Therapy. 7: 339–48. doi:10.2147/DDDT.S31658. PMC 3633576. PMID 23620660.
- ^ a b Goldenstein-Schainberg C, Favarato MH, Ranza R (January–February 2012). "Current and relevant concepts in psoriatic arthritis". Revista Brasileira de Reumatologia. 52 (1): 98–106. doi:10.1590/s0482-50042012000100010. PMID 22286649.
- ^ Krawczyk-Wasielewska A, Skorupska E, Samborski W (April 2013). "Sacroiliac joint pain as an important element of psoriatic arthritis diagnosis". Postepy Dermatologii I Alergologii. 30 (2): 108–12. doi:10.5114/pdia.2013.34161. PMC 3834688. PMID 24278057.
- ^ a b Tan ES, Chong WS, Tey HL (December 2012). "Nail psoriasis: a review". American Journal of Clinical Dermatology. 13 (6): 375–88. doi:10.2165/11597000-000000000-00000. PMID 22784035. S2CID 8561015.
- ^ a b c d e f g h Prieto-Pérez R, Cabaleiro T, Daudén E, Ochoa D, Roman M, Abad-Santos F (August 2013). "Genetics of psoriasis and pharmacogenetics of biological drugs". Autoimmune Diseases. 2013 613086. doi:10.1155/2013/613086. PMC 3771250. PMID 24069534.
- ^ a b Fry L, Baker BS (2007). "Triggering psoriasis: the role of infections and medications". Clinics in Dermatology. 25 (6): 606–15. doi:10.1016/j.clindermatol.2007.08.015. PMID 18021899.
- ^ Krueger G, Ellis CN (July 2005). "Psoriasis--recent advances in understanding its pathogenesis and treatment". Journal of the American Academy of Dermatology. 53 (1 Suppl 1): S94–100. doi:10.1016/j.jaad.2005.04.035. PMID 15968269.
- ^ a b c d e f g h i j k l m n o Nestle FO, Kaplan DH, Barker J (July 2009). "Psoriasis". The New England Journal of Medicine. 361 (5): 496–509. doi:10.1056/NEJMra0804595. PMID 19641206. S2CID 203791161.
- ^ Smith CH, Barker JN (August 2006). "Psoriasis and its management". BMJ. 333 (7564): 380–4. doi:10.1136/bmj.333.7564.380. PMC 1550454. PMID 16916825.
- ^ Jordan CT, Cao L, Roberson ED, Duan S, Helms CA, Nair RP, Duffin KC, Stuart PE, Goldgar D, Hayashi G, Olfson EH, Feng BJ, Pullinger CR, Kane JP, Wise CA, Goldbach-Mansky R, Lowes MA, Peddle L, Chandran V, Liao W, Rahman P, Krueger GG, Gladman D, Elder JT, Menter A, Bowcock AM (May 2012). "Rare and common variants in CARD14, encoding an epidermal regulator of NF-kappaB, in psoriasis". American Journal of Human Genetics. 90 (5): 796–808. doi:10.1016/j.ajhg.2012.03.013. PMC 3376540. PMID 22521419.
- ^ Jordan CT, Cao L, Roberson ED, Pierson KC, Yang CF, Joyce CE, Ryan C, Duan S, Helms CA, Liu Y, Chen Y, McBride AA, Hwu WL, Wu JY, Chen YT, Menter A, Goldbach-Mansky R, Lowes MA, Bowcock AM (May 2012). "PSORS2 is due to mutations in CARD14". American Journal of Human Genetics. 90 (5): 784–95. doi:10.1016/j.ajhg.2012.03.012. PMC 3376640. PMID 22521418.
- ^ a b Clarke P (July 2011). "Psoriasis" (PDF). Australian Family Physician. 40 (7): 468–73. PMID 21743850. Archived (PDF) from the original on 27 June 2019. Retrieved 4 March 2014.
- ^ a b c d e f g h Richard MA, Barnetche T, Horreau C, Brenaut E, Pouplard C, Aractingi S, Aubin F, Cribier B, Joly P, Jullien D, Le Maître M, Misery L, Ortonne JP, Paul C (August 2013). "Psoriasis, cardiovascular events, cancer risk and alcohol use: evidence-based recommendations based on systematic review and expert opinion". Journal of the European Academy of Dermatology and Venereology. 27 (Supplement 3): 2–11. doi:10.1111/jdv.12162. PMID 23845148. S2CID 2766931.
- ^ a b c Ko SH, Chi CC, Yeh ML, Wang SH, Tsai YS, Hsu MY (July 2019). "Lifestyle changes for treating psoriasis". The Cochrane Database of Systematic Reviews. 2019 (7) CD011972. doi:10.1002/14651858.CD011972.pub2. PMC 6629583. PMID 31309536. CD011972.
- ^ a b c Cedeno-Laurent F, Gómez-Flores M, Mendez N, Ancer-Rodríguez J, Bryant JL, Gaspari AA, Trujillo JR (January 2011). "New insights into HIV-1-primary skin disorders". Journal of the International AIDS Society. 14 (5): 5. doi:10.1186/1758-2652-14-5. PMC 3037296. PMID 21261982.
- ^ Fife DJ, Waller JM, Jeffes EW, Koo JY (May 2007). "Unraveling the paradoxes of HIV-associated psoriasis: a review of T-cell subsets and cytokine profiles". Dermatology Online Journal. 13 (2): 4. doi:10.5070/D34SF63339. PMID 17498423. Archived from the original on 21 April 2008.
- ^ a b Wong T, Hsu L, Liao W (January–February 2013). "Phototherapy in psoriasis: a review of mechanisms of action". Journal of Cutaneous Medicine and Surgery. 17 (1): 6–12. doi:10.2310/7750.2012.11124. PMC 3736829. PMID 23364144.
- ^ Martin DA, Towne JE, Kricorian G, Klekotka P, Gudjonsson JE, Krueger JG, Russell CB (January 2013). "The emerging role of IL-17 in the pathogenesis of psoriasis: preclinical and clinical findings". The Journal of Investigative Dermatology. 133 (1): 17–26. doi:10.1038/jid.2012.194. PMC 3568997. PMID 22673731.
- ^ "Images of Memorable Cases: Case 34". Connexions. Rice University. Archived from the original on 10 July 2012. Retrieved 21 December 2009.
This AIDS patient presented with a pruritic eruption over most of his body
- ^ a b c Guerra I, Gisbert JP (January 2013). "Onset of psoriasis in patients with inflammatory bowel disease treated with anti-TNF agents". Expert Review of Gastroenterology & Hepatology. 7 (1): 41–8. doi:10.1586/egh.12.64. PMID 23265148. S2CID 207210831.
- ^ a b c d e Weller R, Hunter JA, Savin J, Dahl M (2008). Clinical dermatology (4th ed.). Malden, MA: Blackwell. pp. 54–70. ISBN 978-1-4443-0009-3. Archived from the original on 24 February 2024. Retrieved 19 November 2020.
- ^ a b c Ouyang W (December 2010). "Distinct roles of IL-22 in human psoriasis and inflammatory bowel disease". Cytokine & Growth Factor Reviews. 21 (6): 435–41. doi:10.1016/j.cytogfr.2010.10.007. PMID 21106435.
- ^ a b c d Parrish L (November 2012). "Psoriasis: symptoms, treatments and its impact on quality of life". British Journal of Community Nursing. 17 (11): 524–528. doi:10.12968/bjcn.2012.17.11.524. PMID 23124421.
- ^ Baliwag J, Barnes DH, Johnston A (June 2015). "Cytokines in psoriasis". Cytokine. Skin Disease, Immune Response and Cytokines. 73 (2): 342–50. doi:10.1016/j.cyto.2014.12.014. PMC 4437803. PMID 25585875.
- ^ Roberson ED, Bowcock AM (September 2010). "Psoriasis genetics: breaking the barrier". Trends in Genetics. 26 (9): 415–23. doi:10.1016/j.tig.2010.06.006. PMC 2957827. PMID 20692714.
- ^ Ramos-e-Silva M, Jacques C (May–June 2012). "Epidermal barrier function and systemic diseases". Clinics in Dermatology. 30 (3): 277–9. doi:10.1016/j.clindermatol.2011.08.025. PMID 22507041.
- ^ a b Dombrowski Y, Schauber J (May 2012). "Cathelicidin LL-37: a defense molecule with a potential role in psoriasis pathogenesis". Experimental Dermatology. 21 (5): 327–30. doi:10.1111/j.1600-0625.2012.01459.x. PMID 22509827. S2CID 24119451.
- ^ a b c Mudigonda P, Mudigonda T, Feneran AN, Alamdari HS, Sandoval L, Feldman SR (October 2012). "Interleukin-23 and interleukin-17: importance in pathogenesis and therapy of psoriasis". Dermatology Online Journal. 18 (10): 1. doi:10.5070/D33N39N8XM. PMID 23122008.
- ^ Giang J, Seelen MA, van Doorn MB, Rissmann R, Prens EP, Damman J (2018). "Complement Activation in Inflammatory Skin Diseases". Frontiers in Immunology. 9 639. doi:10.3389/fimmu.2018.00639. PMC 5911619. PMID 29713318.
- ^ Kunz M, Ibrahim SM (2009). "Cytokines and cytokine profiles in human autoimmune diseases and animal models of autoimmunity". Mediators of Inflammation. 2009 979258. doi:10.1155/2009/979258. PMC 2768824. PMID 19884985.
- ^ "Application to Dermatology of International Classification of Disease (ICD-10)". The International League of Dermatological Societies. Archived from the original on 9 July 2006.
- ^ Freedberg IM, Fitzpatrick TB (2003). Fitzpatrick's dermatology in general medicine (6th ed.). McGraw-Hill. p. 414. ISBN 978-0-07-138076-8.
- ^ a b Kupetsky EA, Keller M (November–December 2013). "Psoriasis vulgaris: an evidence-based guide for primary care". Journal of the American Board of Family Medicine. 26 (6): 787–801. doi:10.3122/jabfm.2013.06.130055. PMID 24204077.
- ^ Griffiths CE, Christophers E, Barker JN, Chalmers RJ, Chimenti S, Krueger GG, Leonardi C, Menter A, Ortonne JP, Fry L (February 2007). "A classification of psoriasis vulgaris according to phenotype". The British Journal of Dermatology. 156 (2): 258–62. doi:10.1111/j.1365-2133.2006.07675.x. PMID 17223864. S2CID 45917573.
- ^ a b Weidemann AK, Crawshaw AA, Byrne E, Young HS (September 2013). "Vascular endothelial growth factor inhibitors: investigational therapies for the treatment of psoriasis". Clinical, Cosmetic and Investigational Dermatology. 6: 233–44. doi:10.2147/CCID.S35312. PMC 3790838. PMID 24101875.
- ^ Han R, Rostami-Yazdi M, Gerdes S, Mrowietz U (September 2012). "Triptolide in the treatment of psoriasis and other immune-mediated inflammatory diseases". British Journal of Clinical Pharmacology. 74 (3): 424–36. doi:10.1111/j.1365-2125.2012.04221.x. PMC 3477344. PMID 22348323.
- ^ Quatresooz P, Hermanns-Lê T, Piérard GE, Humbert P, Delvenne P, Piérard-Franchimont C (June 2012). "Ustekinumab in psoriasis immunopathology with emphasis on the Th17-IL23 axis: a primer". Journal of Biomedicine & Biotechnology. 2012 147413. doi:10.1155/2012/147413. PMC 3384985. PMID 22754278.
- ^ a b Mrowietz U, Kragballe K, Reich K, Spuls P, Griffiths CE, Nast A, Franke J, Antoniou C, Arenberger P, Balieva F, Bylaite M, Correia O, Daudén E, Gisondi P, Iversen L, Kemény L, Lahfa M, Nijsten T, Rantanen T, Reich A, Rosenbach T, Segaert S, Smith C, Talme T, Volc-Platzer B, Yawalkar N (January 2011). "Definition of treatment goals for moderate to severe psoriasis: a European consensus". Archives of Dermatological Research. 303 (1): 1–10. doi:10.1007/s00403-010-1080-1. PMC 3016217. PMID 20857129.
- ^ Mease PJ (November 2011). "Measures of psoriatic arthritis: Tender and Swollen Joint Assessment, Psoriasis Area and Severity Index (PASI), Nail Psoriasis Severity Index (NAPSI), Modified Nail Psoriasis Severity Index (mNAPSI), Mander/Newcastle Enthesitis Index (MEI), Leeds Enthesitis Index (LEI), Spondyloarthritis Research Consortium of Canada (SPARCC), Maastricht Ankylosing Spondylitis Enthesis Score (MASES), Leeds Dactylitis Index (LDI), Patient Global for Psoriatic Arthritis, Dermatology Life Quality Index (DLQI), Psoriatic Arthritis Quality of Life (PsAQOL), Functional Assessment of Chronic Illness Therapy-Fatigue (FACIT-F), Psoriatic Arthritis Response Criteria (PsARC), Psoriatic Arthritis Joint Activity Index (PsAJAI), Disease Activity in Psoriatic Arthritis (DAPSA), and Composite Psoriatic Disease Activity Index (CPDAI)". Arthritis Care & Research. 63 (Supplement 11): S64–85. doi:10.1002/acr.20577. PMID 22588772.
- ^ "Psoriasis Update". Skin & Aging. 14 (3): 46–50. 2006. Archived from the original on 2 March 2011.
- ^ Louden BA, Pearce DJ, Lang W, Feldman SR (October 2004). "A Simplified Psoriasis Area Severity Index (SPASI) for rating psoriasis severity in clinic patients". Dermatology Online Journal. 10 (2): 7. doi:10.5070/D318W9J736. PMID 15530297.
- ^ a b Lønnberg AS, Skov L (January 2017). "Co-morbidity in psoriasis: mechanisms and implications for treatment". Expert Review of Clinical Immunology. 13 (1): 27–34. doi:10.1080/1744666X.2016.1213631. PMID 27426230. S2CID 21793052.
- ^ a b c Masson W, Lobo M, Molinero G (May 2020). "Psoriasis and Cardiovascular Risk: A Comprehensive Review". Advances in Therapy. 37 (5): 2017–2033. doi:10.1007/s12325-020-01346-6. PMC 7467489. PMID 32314303.
- ^ Amin M, Lee EB, Tsai TF, Wu JJ (January 2020). "Psoriasis and Co-morbidity". Acta Dermato-Venereologica. 100 (3): 81–87. doi:10.2340/00015555-3387. PMC 9128942. PMID 31971602.
- ^ a b c Hölsken S, Krefting F, Schedlowski M, Sondermann W (November 2021). "Common Fundamentals of Psoriasis and Depression". Acta Dermato-Venereologica. 101 (11): adv00609. doi:10.2340/actadv.v101.565. PMC 9455336. PMID 34806760.
- ^ a b Patrick MT, Stuart PE, Zhang H, Zhao Q, Yin X, He K, Zhou XJ, Mehta NN, Voorhees JJ, Boehnke M, Gudjonsson JE, Nair RP, Handelman SK, Elder JT, Liu DJ, Tsoi LC (June 2021). "Causal Relationship and Shared Genetic Loci between Psoriasis and Type 2 Diabetes through Trans-Disease Meta-Analysis". The Journal of Investigative Dermatology. 141 (6): 1493–1502. doi:10.1016/j.jid.2020.11.025. PMC 8154633. PMID 33385400.
- ^ a b c d e Menter A, Griffiths CE (July 2007). "Current and future management of psoriasis". Lancet. 370 (9583): 272–284. doi:10.1016/S0140-6736(07)61129-5. PMID 17658398. S2CID 7907468.
- ^ Maruani A, Samimi M, Stembridge N, Abdel Hay R, Tavernier E, Hughes C, Le Cleach L, et al. (Cochrane Skin Group) (April 2019). "Nonantistreptococcal interventions for acute guttate psoriasis or an acute guttate flare of chronic psoriasis". The Cochrane Database of Systematic Reviews. 2019 (4) CD011541. doi:10.1002/14651858.CD011541.pub2. PMC 6452774. PMID 30958563.
- ^ a b Samarasekera EJ, Sawyer L, Wonderling D, Tucker R, Smith CH (May 2013). "Topical therapies for the treatment of plaque psoriasis: systematic review and network meta-analyses". The British Journal of Dermatology. 168 (5): 954–967. doi:10.1111/bjd.12276. PMID 23413913. S2CID 21979785.
- ^ Kleyn EC, Morsman E, Griffin L, Wu JJ, Cm van de Kerkhof P, Gulliver W, van der Walt JM, Iversen L (June 2019). "Review of international psoriasis guidelines for the treatment of psoriasis: recommendations for topical corticosteroid treatments". The Journal of Dermatological Treatment. 30 (4): 311–319. doi:10.1080/09546634.2019.1620502. PMID 31138038. S2CID 169036303.
- ^ a b Mason AR, Mason J, Cork M, Dooley G, Hancock H (March 2013). "Topical treatments for chronic plaque psoriasis" (PDF). The Cochrane Database of Systematic Reviews. 2015 (3) CD005028. doi:10.1002/14651858.CD005028.pub3. PMC 11227123. PMID 23543539. CD005028. Archived (PDF) from the original on 28 April 2021. Retrieved 6 November 2019.
- ^ a b Schlager JG, Rosumeck S, Werner RN, Jacobs A, Schmitt J, Schlager C, Nast A (February 2016). "Topical treatments for scalp psoriasis". The Cochrane Database of Systematic Reviews. 2016 (2) CD009687. doi:10.1002/14651858.CD009687.pub2. PMC 8697570. PMID 26915340. CD009687.
- ^ a b Asztalos ML, Heller MM, Lee ES, Koo J (May 2013). "The impact of emollients on phototherapy: a review". Journal of the American Academy of Dermatology. 68 (5): 817–24. doi:10.1016/j.jaad.2012.05.034. PMID 23399460. Archived (PDF) from the original on 29 August 2021. Retrieved 30 June 2019.
- ^ Menter A, Korman NJ, Elmets CA, Feldman SR, Gelfand JM, Gordon KB, Gottlieb A, Koo JY, Lebwohl M, Lim HW, Van Voorhees AS, Beutner KR, Bhushan R (April 2009). "Guidelines of care for the management of psoriasis and psoriatic arthritis. Section 3. Guidelines of care for the management and treatment of psoriasis with topical therapies". Journal of the American Academy of Dermatology. 60 (4): 643–59. doi:10.1016/j.jaad.2008.12.032. PMID 19217694.
- ^ Soleymani T, Hung T, Soung J (April 2015). "The role of vitamin D in psoriasis: a review". International Journal of Dermatology. 54 (4): 383–92. doi:10.1111/ijd.12790. PMID 25601579. S2CID 1688553.
- ^ a b c Halverstam CP, Lebwohl M (September–October 2008). "Nonstandard and off-label therapies for psoriasis". Clinics in Dermatology. 26 (5): 546–53. doi:10.1016/j.clindermatol.2007.10.023. PMID 18755374.
- ^ a b c Katz U, Shoenfeld Y, Zakin V, Sherer Y, Sukenik S (October 2012). "Scientific evidence of the therapeutic effects of dead sea treatments: a systematic review". Seminars in Arthritis and Rheumatism. 42 (2): 186–200. doi:10.1016/j.semarthrit.2012.02.006. PMID 22503590.
- ^ Peinemann F, Harari M, Peternel S, Chan T, Chan D, Labeit AM, Gambichler T (May 2020). "Indoor salt water baths followed by artificial ultraviolet B light for chronic plaque psoriasis". The Cochrane Database of Systematic Reviews. 2020 (5) CD011941. doi:10.1002/14651858.CD011941.pub2. PMC 7199317. PMID 32368795.
- ^ Medical College of Georgia at Augusta University. "Glycerin is safe, effective in psoriasis model." ScienceDaily. [www.sciencedaily.com/releases/2021/10/211004104229.htm] (accessed 9 July 2023).
- ^ a b c Dogra S, De D (November–December 2010). "Narrowband ultraviolet B in the treatment of psoriasis: the journey so far!". Indian Journal of Dermatology, Venereology and Leprology. 76 (6): 652–61. doi:10.4103/0378-6323.72461. PMID 21079308.
- ^ Chen X, Yang M, Cheng Y, Liu GJ, Zhang M (October 2013). "Narrow-band ultraviolet B phototherapy versus broad-band ultraviolet B or psoralen-ultraviolet A photochemotherapy for psoriasis". The Cochrane Database of Systematic Reviews. 2016 (10) CD009481. doi:10.1002/14651858.CD009481.pub2. PMC 11076274. PMID 24151011.
- ^ a b Radack KP, Farhangian ME, Anderson KL, Feldman SR (March 2015). "A review of the use of tanning beds as a dermatological treatment". Dermatology and Therapy. 5 (1): 37–51. doi:10.1007/s13555-015-0071-8. PMC 4374067. PMID 25735439.
- ^ World Health Organization (15 June 2017). Artificial tanning devices: public health interventions to manage sunbeds. World Health Organization (WHO). hdl:10665/255695. ISBN 978-92-4-151259-6.
- ^ Rácz E, Prens EP, Kurek D, Kant M, de Ridder D, Mourits S, Baerveldt EM, Ozgur Z, van IJcken WF, Laman JD, Staal FJ, van der Fits L (July 2011). "Effective treatment of psoriasis with narrow-band UVB phototherapy is linked to suppression of the IFN and Th17 pathways". The Journal of Investigative Dermatology. 131 (7): 1547–1558. doi:10.1038/jid.2011.53. OCLC 6757253389. PMID 21412260.
- ^ Lapolla W, Yentzer BA, Bagel J, Halvorson CR, Feldman SR (May 2011). "A review of phototherapy protocols for psoriasis treatment". Journal of the American Academy of Dermatology. 64 (5): 936–49. doi:10.1016/j.jaad.2009.12.054. PMID 21429620.
- ^ Dunn LK, Gaar LR, Yentzer BA, O'Neill JL, Feldman SR (July 2011). "Acitretin in dermatology: a review". Journal of Drugs in Dermatology. 10 (7): 772–82. PMID 21720660.
- ^ a b Dogra S, Mahajan R (August 2013). "Systemic methotrexate therapy for psoriasis: past, present and future". Clinical and Experimental Dermatology. 38 (6): 573–88. doi:10.1111/ced.12062. PMID 23837932. S2CID 11207097.
- ^ a b c d e f g Rustin MH (November 2012). "Long-term safety of biologics in the treatment of moderate-to-severe plaque psoriasis: review of current data". The British Journal of Dermatology. 167 (Suppl 3): 3–11. doi:10.1111/j.1365-2133.2012.11208.x. PMID 23082810. S2CID 22462278.
- ^ "Learning module: Psoriasis | American Academy of Dermatology". www.aad.org. Archived from the original on 27 March 2017. Retrieved 26 March 2017.
- ^ a b Griffiths CE (November 2012). "Biologics for psoriasis: current evidence and future use". The British Journal of Dermatology. 167 (Suppl 3): 1–2. doi:10.1111/j.1365-2133.2012.11207.x. PMID 23082809. S2CID 42598571.
- ^ Farahnik B, Beroukhim K, Zhu TH, Abrouk M, Nakamura M, Singh R, Lee K, Bhutani T, Koo J (March 2016). "Ixekizumab for the Treatment of Psoriasis: A Review of Phase III Trials". Dermatology and Therapy. 6 (1): 25–37. doi:10.1007/s13555-016-0102-0. PMC 4799032. PMID 26910853.
- ^ Hueber W, Patel DD, Dryja T, Wright AM, Koroleva I, Bruin G, Antoni C, Draelos Z, Gold MH, Durez P, Tak PP, Gomez-Reino JJ, Foster CS, Kim RY, Samson CM, Falk NS, Chu DS, Callanan D, Nguyen QD, Rose K, Haider A, Di Padova F (October 2010). "Effects of AIN457, a fully human antibody to interleukin-17A, on psoriasis, rheumatoid arthritis, and uveitis". Science Translational Medicine. 2 (52): 52ra72. doi:10.1126/scitranslmed.3001107. PMID 20926833. S2CID 10132276.
- ^ Novel Drug Approvals for 2017 Archived 29 June 2017 at the Wayback Machine
- ^ Sanclemente G, Murphy R, Contreras J, García H, Bonfill Cosp X (November 2015). "Anti-TNF agents for paediatric psoriasis". The Cochrane Database of Systematic Reviews. 2019 (11) CD010017. doi:10.1002/14651858.CD010017.pub2. PMC 6493213. PMID 26598969.
- ^ Harding FA, Stickler MM, Razo J, DuBridge RB (2010). "The immunogenicity of humanized and fully human antibodies: residual immunogenicity resides in the CDR regions". mAbs. 2 (3): 256–65. doi:10.4161/mabs.2.3.11641. PMC 2881252. PMID 20400861.
- ^ a b c Sbidian E, Chaimani A, Guelimi R, Garcia-Doval I, Hua C, Hughes C, Naldi L, Kinberger M, Afach S, Le Cleach L (July 2023). "Systemic pharmacological treatments for chronic plaque psoriasis: a network meta-analysis". The Cochrane Database of Systematic Reviews. 2023 (7) CD011535. doi:10.1002/14651858.CD011535.pub6. PMC 10337265. PMID 37436070.
- ^ Campa M, Mansouri B, Warren R, Menter A (March 2016). "A Review of Biologic Therapies Targeting IL-23 and IL-17 for Use in Moderate-to-Severe Plaque Psoriasis". Dermatology and Therapy. 6 (1): 1–12. doi:10.1007/s13555-015-0092-3. PMC 4799039. PMID 26714681.
- ^ Atwan A, Ingram JR, Abbott R, Kelson MJ, Pickles T, Bauer A, Piguet V (August 2015). "Oral fumaric acid esters for psoriasis". The Cochrane Database of Systematic Reviews. 2015 (8) CD010497. doi:10.1002/14651858.CD010497.pub2. PMC 6464505. PMID 26258748.
- ^ Papp K, Reich K, Leonardi CL, Kircik L, Chimenti S, Langley RG, Hu C, Stevens RM, Day RM, Gordon KB, Korman NJ, Griffiths CE (July 2015). "Apremilast, an oral phosphodiesterase 4 (PDE4) inhibitor, in patients with moderate to severe plaque psoriasis: Results of a phase III, randomized, controlled trial (Efficacy and Safety Trial Evaluating the Effects of Apremilast in Psoriasis [ESTEEM] 1)". Journal of the American Academy of Dermatology. 73 (1): 37–49. doi:10.1016/j.jaad.2015.03.049. PMID 26089047.
- ^ Dupire G, Droitcourt C, Hughes C, Le Cleach L (March 2019). "Antistreptococcal interventions for guttate and chronic plaque psoriasis". The Cochrane Database of Systematic Reviews. 2019 (3) CD011571. doi:10.1002/14651858.cd011571.pub2. PMC 6400423. PMID 30835819.
- ^ Wu W, Debbaneh M, Moslehi H, Koo J, Liao W (December 2014). "Tonsillectomy as a treatment for psoriasis: a review". The Journal of Dermatological Treatment. 25 (6): 482–6. doi:10.3109/09546634.2013.848258. PMC 4620715. PMID 24283892.
- ^ Sigurdardottir SL, Thorleifsdottir RH, Valdimarsson H, Johnston A (February 2013). "The role of the palatine tonsils in the pathogenesis and treatment of psoriasis" (PDF). The British Journal of Dermatology. 168 (2): 237–42. doi:10.1111/j.1365-2133.2012.11215.x. hdl:2027.42/96289. PMID 22901242. S2CID 11572308. Archived from the original on 29 August 2021. Retrieved 3 September 2019.
- ^ a b Kaimal S, Thappa DM (2010). "Diet in dermatology: revisited". Indian Journal of Dermatology, Venereology and Leprology. 76 (2): 103–15. doi:10.4103/0378-6323.60540. PMID 20228538.
- ^ a b c Barrea L, Nappi F, Di Somma C, Savanelli MC, Falco A, Balato A, Balato N, Savastano S (July 2016). "Environmental Risk Factors in Psoriasis: The Point of View of the Nutritionist". International Journal of Environmental Research and Public Health. 13 (5): 743. doi:10.3390/ijerph13070743. PMC 4962284. PMID 27455297.
- ^ Afifi L, Danesh MJ, Lee KM, Beroukhim K, Farahnik B, Ahn RS, Yan D, Singh RK, Nakamura M, Koo J, Liao W (19 May 2017). "Dietary Behaviors in Psoriasis: Patient-Reported Outcomes from a U.S. National Survey". Dermatology and Therapy. 7 (2): 227–242. doi:10.1007/s13555-017-0183-4. PMC 5453925. PMID 28526915.
- ^ Ni C, Chiu MW (2014). "Psoriasis and comorbidities: links and risks". Clinical, Cosmetic and Investigational Dermatology (Review). 7: 119–32. doi:10.2147/CCID.S44843. PMC 4000177. PMID 24790463.
- ^ Leffler DA, Green PH, Fasano A (October 2015). "Extraintestinal manifestations of coeliac disease". Nature Reviews. Gastroenterology & Hepatology (Review). 12 (10): 561–71. doi:10.1038/nrgastro.2015.131. PMID 26260366. S2CID 15561525.
- ^ a b Bhatia BK, Millsop JW, Debbaneh M, Koo J, Linos E, Liao W (August 2014). "Diet and psoriasis, part II: celiac disease and role of a gluten-free diet". Journal of the American Academy of Dermatology. 71 (2): 350–8. doi:10.1016/j.jaad.2014.03.017. PMC 4104239. PMID 24780176.
- ^ Dessinioti C, Katsambas A (2013). "Seborrheic dermatitis: etiology, risk factors, and treatments: facts and controversies". Clinics in Dermatology. 31 (4): 343–351. doi:10.1016/j.clindermatol.2013.01.001. PMID 23806151.
- ^ Bhosle MJ, Kulkarni A, Feldman SR, Balkrishnan R (June 2006). "Quality of life in patients with psoriasis". Health and Quality of Life Outcomes. 4 35. doi:10.1186/1477-7525-4-35. PMC 1501000. PMID 16756666.
- ^ Magin P (January–February 2013). "Appearance-related bullying and skin disorders". Clinics in Dermatology. 31 (1): 66–71. doi:10.1016/j.clindermatol.2011.11.009. PMID 23245976.
- ^ a b c Habif TP (2010). "8". Clinical dermatology a color guide to diagnosis and therapy (5th ed.). Edinburgh: Mosby Elsevier. ISBN 978-0-323-08037-8. Archived from the original on 14 January 2023. Retrieved 8 May 2020.
- ^ a b Shlyankevich J, Mehta NN, Krueger JG, Strober B, Gudjonsson JE, Qureshi AA, Tebbey PW, Kimball AB (December 2014). "Accumulating evidence for the association and shared pathogenic mechanisms between psoriasis and cardiovascular-related comorbidities". The American Journal of Medicine. 127 (12): 1148–53. doi:10.1016/j.amjmed.2014.08.008. PMC 4259841. PMID 25149424.
- ^ a b Tablazon IL, Al-Dabagh A, Davis SA, Feldman SR (February 2013). "Risk of cardiovascular disorders in psoriasis patients: current and future". American Journal of Clinical Dermatology. 14 (1): 1–7. doi:10.1007/s40257-012-0005-5. PMID 23329076. S2CID 207482092.
- ^ "Psoriasis Linked to Stroke Risk". BBC. August 2011. Archived from the original on 28 August 2011.
- ^ a b Ghazizadeh R, Tosa M, Ghazizadeh M (May 2011). "Clinical improvement in psoriasis with treatment of associated hyperlipidemia". The American Journal of the Medical Sciences. 341 (5): 394–8. doi:10.1097/MAJ.0b013e3181ff8eeb. PMID 21233693. S2CID 12519829.
- ^ Trafford AM, Parisi R, Kontopantelis E, Griffiths CE, Ashcroft DM (October 2019). "Association of Psoriasis With the Risk of Developing or Dying of Cancer: A Systematic Review and Meta-analysis". JAMA Dermatology. 155 (12): 1390–1403. doi:10.1001/jamadermatol.2019.3056. PMC 6802036. PMID 31617868.
- Lay summary in: Bakalar N (16 October 2019). "Psoriasis Tied to Increased Cancer Risk". The New York Times.
- ^ "Psoriasis affects more than 8 million people in the U.S." National Psoriasis Foundation. Archived from the original on 24 February 2024. Retrieved 12 July 2021.
- ^ Benoit S, Hamm H (2007). "Childhood psoriasis". Clinics in Dermatology. 25 (6): 555–62. doi:10.1016/j.clindermatol.2007.08.009. PMID 18021892.
- ^ E. V. Hulse, "The Nature of Biblical 'Leprosy' and the Use of Alternative Medical Terms in Modern Translations of the Bible," Palestine Exploration Quarterly 107.2 (1975): 87-105.
- ^ a b c d e f Gruber F, Kastelan M, Brajac I (2004). "Psoriasis treatment--yesterday, today, and tomorrow". Acta Dermatovenerologica Croatica. 12 (1): 30–4. PMID 15072746.
- ^ Meenan FO (March 1955). "A note on the history of psoriasis". Irish Journal of Medical Science. 30 (351): 141–2. doi:10.1007/bf02949688. PMID 14353580. S2CID 27467338.
- ^ a b Benedek TG (June 2013). "Psoriasis and psoriatic arthropathy, historical aspects: part I". Journal of Clinical Rheumatology. 19 (4): 193–8. doi:10.1097/RHU.0b013e318293eaeb. PMID 23669809. S2CID 5813486.
- ^ a b Benedek TG (August 2013). "Psoriasis and psoriatic arthropathy: historical aspects: part II". Journal of Clinical Rheumatology. 19 (5): 267–71. doi:10.1097/RHU.0b013e31829d4ad4. PMID 23872545. S2CID 199596315.
- ^ International Federation of Psoriasis Associations Archived 21 November 2008 at the Wayback Machine. Ifpa-pso.org. Retrieved on 8 June 2013.
- ^ "Tous unis face au psoriasis et au rhumatisme psoriasique ! - Association France Psoriasis". France Psoriasis. Paris. Retrieved 2 April 2025.
- ^ "IFPA, World Psoriasis Day". IFPA. 22 September 2021. Retrieved 6 August 2025.
- ^ Evans C (June 2016). "Managed care aspects of psoriasis and psoriatic arthritis". The American Journal of Managed Care. 22 (8 Suppl): s238–43. PMID 27356195. Archived from the original on 2 February 2017.
- ^ a b c Dubois Declercq S, Pouliot R (July 2013). "Promising new treatments for psoriasis". TheScientificWorldJournal. 2013 980419. doi:10.1155/2013/980419. PMC 3713318. PMID 23935446.
- ^ a b c d Patel M, Day A, Warren RB, Menter A (December 2012). "Emerging therapies for the treatment of psoriasis". Dermatology and Therapy. 2 (1) 16. doi:10.1007/s13555-012-0016-4. PMC 3510410. PMID 23205338.
Further reading
- Baker BS (2008). From Arsenic to Biologicals: A 200 Year History of Psoriasis. Beckenham UK: Garner. ISBN 978-0-9551603-2-5.
- "Guidelines for the assessment and management of psoriasis". U.S. National Guideline Clearinghouse. Archived from the original on 27 September 2013. Retrieved 26 July 2013.
- World Health Organization (2016). Global report on psoriasis. World Health Organization (WHO). hdl:10665/204417. ISBN 978-92-4-156518-9. Archived from the original on 29 February 2016.
External links
- "Psoriatic arthritis". Genetics Home Reference.
- "Psoriasis". MedlinePlus. U.S. National Library of Medicine.
