Thalassemia
| Thalassemia | |
|---|---|
| Other names | Thalassaemia, Mediterranean anemia |
![]() | |
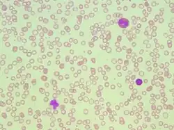
| Peripheral blood film from a person with delta-beta thalassemia | |
| Pronunciation |
|
| Specialty | Hematology, medical genetics |
| Symptoms | Feeling tired, pale skin, enlarged spleen, yellowish skin, dark urine[1] |
| Causes | Genetic (autosomal recessive)[2] |
| Diagnostic method | Blood tests, genetic tests[3] |
| Treatment | Blood transfusions, iron chelation, folic acid[4] |
| Frequency | 280 million (2015)[5] |
| Deaths | 16,800 (2015)[6] |
Thalassemias are a group of inherited blood disorders that manifest as the production of reduced hemoglobin.[7] Symptoms depend on the type of thalassemia and can vary from none to severe, including death.[1] Often there is mild to severe anemia (low red blood cells or hemoglobin), as thalassemia can affect the production of red blood cells and also affect how long the red blood cells live.[1] Symptoms include tiredness, pallor, bone problems, an enlarged spleen, jaundice, pulmonary hypertension, and dark urine.[1] A child's growth and development may be slower than normal.[1]
Thalassemias are genetic disorders.[2] Alpha thalassemia is caused by deficient production of the alpha globin component of hemoglobin, while beta thalassemia is a deficiency in the beta globin component.[7] The severity of alpha and beta thalassemia depends on how many of the four genes for alpha globin or two genes for beta globin are faulty.[2] Diagnosis is typically by blood tests including a complete blood count, special hemoglobin tests, and genetic tests.[3] Diagnosis may occur before birth through prenatal testing.[8]
Treatment depends on the type and severity.[4] Clinically, thalassemia is classed as Transfusion-Dependent Thalassemia (TDT) or non-Transfusion-Dependent Thalassemia (NTDT), since this determines the principal treatment options. TDT requires regular blood transfusions, typically every two to five weeks. TDTs include beta-thalassemia major, hemoglobin H disease, and severe HbE/beta-thalassemia. NTDT does not need regular transfusions but may require transfusion in case of an anemia crisis.[9] Complications of transfusion include iron overload with resulting heart or liver disease.[1] Other symptoms of thalassemias include enlargement of the spleen, frequent infections, and osteoporosis.[1]
The 2021 Global Burden of Disease Survey found that 1.31 million people worldwide have severe thalassemia while thalassemia trait occurs in 358 million people, causing 11,100 deaths per annum. It is slightly more prevalent in males than females.[10][11] It is most common among people of Greek, Italian, Middle Eastern, South Asian, and African descent.[7] Those who have minor degrees of thalassemia, in common with those who have sickle-cell trait, have some protection against malaria, explaining why sickle-cell trait and thalassemia are historically more common in regions of the world where the risk of malaria is higher.[12]
Etymology and synonym
The word thalassemia (/θælɪˈsiːmiə/) derives from the Greek thalassa (θάλασσα), "sea",[13] and Neo-Latin -emia (from the Greek compound stem -aimia (-αιμία), from haima (αἷμα), "blood").[14] It was coined because the condition called "Mediterranean anemia" was first described in people of Mediterranean ethnicities. "Mediterranean anemia" was renamed thalassemia major once the genetics were better understood. The word thalassemia was first used in 1932.[15]: 877 [16]
Hemoglobin structural biology

Normal human hemoglobins are tetrameric proteins composed of two pairs of globin chains, each of which contains one alpha-like (α-like) chain and one beta-like (β-like) chain. Each globin chain is associated with an iron-containing heme molecular component. Throughout life, the synthesis of the alpha-like and the beta-like chains is balanced so that their ratio is relatively constant and there is no excess of either type.[17]
The specific alpha and beta-like chains that are incorporated into hemoglobins are highly regulated during development:[18]
- Embryonic hemoglobins are expressed as early as four to six weeks of embryogenesis and disappear around the eighth week of gestation as they are replaced by fetal hemoglobin.[19][20]
- Fetal hemoglobin (HbF) is produced from approximately eight weeks of gestation through to birth and constitutes approximately 80 percent of hemoglobin in the full-term neonate. It declines during the first few months of life and constitutes <1 percent of total hemoglobin by and past early childhood. HbF is composed of two alpha globins and two gamma globins (α2γ2).[18]
- Adult hemoglobin (HbA) is produced at low levels through embryonic and fetal life and is the predominant hemoglobin in children by six months of age and onward; it constitutes 96-97% of total hemoglobin in individuals without a hemoglobinopathy. It is composed of two alpha globins and two beta globins (α2β2).[18]
- Hemoglobin A2 (HbA2) is a minor adult hemoglobin that normally accounts for approximately 2.5-3.5% of total hemoglobin. It is composed of two alpha globins and two delta globins (α2δ2).[18]
Symptoms


Symptoms depend on the type and severity of thalassemia. Carriers of thalassemia genes may have no symptoms (thalassemia minor) or very mild symptoms with occasional crisis (thalassemia intermedia); individuals who are homozygous for the mutation have severe and life threatening symptoms (thalassemia major).[21]
Alpha thalassemia major is generally fatal to the unborn child, as the absence of alpha globin means that zero functional hemoglobin is produced during gestation. Unmatched gamma globin chains cluster to form hemoglobin Barts, which is ineffective at transporting oxygen. In this situation, a fetus will develop hydrops fetalis, a form of edema, which can be detected on prenatal ultrasound.[22] The child will normally die before or shortly after birth, unless intrauterine blood transfusion is performed.[23] Less severe alpha thalassemia may affect growth and development.[24]
Beta thalassemia symptoms typically begin to show during the first six months of life, as the body winds down production of fetal hemoglobin HbF. In a normal individual, this would be replaced by adult hemoglobin HbA.[21]
If thalassemia is untreated or undetected in the infant, this can lead to developmental issues such as slowed growth, delayed puberty, bone abnormalities, and intellectual impairment.[25]
More generally, impaired production of hemoglobin causes anemia, resulting in tiredness and a general lack of energy, shortness of breath, rapid or irregular heartbeat, dizziness, pale skin, yellowing of the skin and eyes (jaundice).[26][27]
In thalassemia, ineffective erythropoiesis causes the bone marrow to expand. This expansion is a compensatory response to the damage caused to red blood cells by the imbalanced production of globin chains.[28] Bone marrow expansion can lead to abnormal bone structure, particularly in the skull and face. Expansion of the bone marrow in the developing child leads to a distinctive facial shape often referred to as "Chipmunk facies".[29] Other skeletal changes include osteoporosis,[25] growth retardation, and malformation of the spine.[21][30]
People with thalassemia can get too much iron in their bodies, either from the disease itself as red blood cells are destroyed, or as a consequence of frequent blood transfusions. Excess iron is not excreted, but forms toxic non-transferrin-bound iron.[21][31] This can lead to organ damage, potentially affecting the heart, liver, endocrine system, bones and spleen. Symptoms include an irregular heartbeat, cardiomyopathy, cirrhosis of the liver, hypothyroidism, delayed puberty and fertility problems, brittle and deformed bones, and an enlarged spleen.[32][33]
The spleen is the organ which removes damaged red blood cells from circulation; in thalassemia patients it is abnormally active, causing it to enlarge and possibly become hyperactive, a condition called hypersplenism.[34]
The immune system can become compromised in a number of ways; anemia, iron overload, and hypersplenism may affect the immune response and increase the risk of severe infection.[21][35]
Pathophysiology
Hemoglobin is a protein containing iron that facilitates the transportation of oxygen in red blood cells.[36] Hemoglobin in the blood carries oxygen from the lungs to the other tissues of the body, where it releases the oxygen to enable metabolism. A healthy level of hemoglobin for men is between 13.2 and 16.6 grams per deciliter, and in women between 11.6 and 15 g/dl.[37]
Normal adult hemoglobin (HbA) is composed of four protein chains, two α and two β-globin chains arranged into a heterotetramer. In thalassemia, patients have defects in the noncoding region of either the α or β-globin genes, causing ineffective production of normal alpha- or beta-globin chains, which can lead to ineffective erythropoiesis, premature red blood cell destruction, and anemia.[38] The thalassemias are classified according to which chain of the hemoglobin molecule is affected. In α-thalassemias, production of the α-globin chain is affected, while in β-thalassemia, production of the β-globin chain is affected.[39]
Evolutionary advantage

Having a mild form of alpha thalassemia has been demonstrated to protect against malaria and thus can be an advantage in malaria endemic areas, thus conferring a selective survival advantage on carriers (known as heterozygous advantage), and perpetuating the mutation.[40] There are suggestions that mild beta thalassemia may provide similar protection but this has not been proven.[41][42]
α-thalassemia genes have a high prevalence in populations of sub-Saharan Africa, Mediterranean, Middle East, and southeast and east Asia. β-thalassemias are prevalent in the populations of the Mediterranean, Middle East, and Southeast Asia.[43][44]
Alpha-thalassemia
The α-globin chains are encoded by two closely linked genes HBA1[45] and HBA2[46] on chromosome 16; in a person with two copies on each chromosome, a total of four loci encode the α chain.[47] Two alleles are maternal and two alleles are paternal in origin. Alpha-thalassemias result in decreased alpha-globin production, resulting in an excess of β chains in adults and excess γ chains in fetus and newborns.
- In infants and adults, the excess β chains form unstable tetramers called hemoglobin H or HbH comprising 4 beta chains.
- In the fetus, the excess γ chains combine hemoglobin Bart's comprising 4 gamma chains
Both HbH and Hb Bart's have a strong affinity for oxygen but do not release it, causing oxygen starvation in the tissues. They can also precipitate within the RBC damaging its membrane and shortening the life of the cell.[48]
The severity of the α-thalassemias is correlated with the number of affected α-globin alleles: the greater, the more severe will be the manifestations of the disease.[49][50]
| # of faulty alleles | Types of alpha thalassemia[49][50] | Symptoms |
|---|---|---|
| 1 | Silent carrier | No symptoms |
| 2 | Alpha thalassemia trait | Minor anemia |
| 3 | Hemoglobin H disease | Mild to moderate anemia; may lead normal life |
| 4 | Hemoglobin Bart's hydrops fetalis | Death usually occurs in utero or at birth |
Beta-thalassemia
β-globin chains are encoded by the HBB gene on chromosome 11;[51] in a healthy person with two copies on each chromosome, two loci encode the β chain.[47] In beta thalassemia, a single faulty gene can be either asymptomatic or cause mild disease; if both genes are faulty this causes moderate to severe disease.[52]
Mutated alleles are called β+ when partial function is conserved and some beta-globin is generated, or βo when no functioning protein is produced.[52]
The situation of both alleles determines the clinical picture:[53]
- β thalassemia major (Mediterranean anemia or Cooley anemia) is caused by a βo/βo genotype. No functional β chains are produced, and thus no hemoglobin A can be assembled. This is the most severe form of β-thalassemia.
- β thalassemia intermedia is caused by a β+/βo or β+/β+ genotype. In this form, some hemoglobin A is produced.
- β thalassemia minor is caused by a β/βo or β/β+ genotype. Only one of the two β globin alleles contains a mutation, so β chain production is not terribly compromised and patients may be relatively asymptomatic.[53]
Delta-thalassemia
As well as alpha and beta chains present in hemoglobin, about 3% of adult hemoglobin is made of alpha and delta globin chains. Just as with beta thalassemia, mutations that affect the ability of this gene to produce delta chains can occur.[54][55]
Combination hemoglobinopathies
A combination hemoglobinopathy occurs when someone inherits two different abnormal hemoglobin genes. If these are different versions of the same gene, one having been inherited from each parent it is an example of compound heterozygosity.
Both alpha- and beta- thalassemia can coexist with other hemoglobinopathies. Combinations involving alpha thalassemia are generally benign.[56][57]
Some examples of clinically significant combinations involving beta thalassemia include:
- Hemoglobin C/ beta thalassemia: common in Mediterranean and African populations generally results in a moderate form of anemia with splenomegaly.[58]
- Hemoglobin D/ beta thalassemia: common in the northwestern parts of India and Pakistan (Punjab region).[59]
- Hemoglobin E/ beta thalassemia: common in Cambodia, Thailand, and parts of India, it is clinically similar to β thalassemia major or β thalassemia intermedia.[60]
- Hemoglobin S/ beta thalassemia: common in African and Mediterranean populations, it is clinically similar to sickle-cell anemia.[61]
- Delta-beta thalassemia is a rare form of thalassemia in which there is a reduced production of both the delta and beta globins. It is generally asymptomatic.[62]
Diagnosis
Prenatal and newborn screening
Checking for hemoglobinopathies begins during pregnancy, with a prenatal screening questionnaire which includes, among other things, a consideration of health issues in the child's parents and close relatives. During pregnancy, genetic testing can be done on samples taken of fetal blood, of amniotic fluid, or chorionic villus sampling.[63][64] A routine heel prick test, in which a small sample of blood is collected a few days after birth, can detect some forms of hemoglobinopathy.[65]
Diagnostic tests

The initial tests for thalassemias are:
- Complete blood count (CBC): Checks the number, size, and maturity of blood cells. Hemoglobin of less than 10 g/dl may indicate a carrier, below 7 g/dl is indicative of thalassemia major. In thalassemia major, mean corpuscular volume (MCV) are less than 70 fl, in thalassemia intermedia, MCV levels are below 80 fl (The normal range for MCV is 80–100 fl).[66] The Mentzer index can be a pointer for diagnosis of thalassemia; it can be calculated from a CBC report.[67][66]
- Peripheral blood smear: A blood smear examined under a microscope can show red blood cells that are abnormal in shape (poikilocytosis or codocytes), color (hypochromic), or size (microcytic), as well as those with abnormal inclusions (Heinz bodies).[66]
- Serum iron and ferritin: these tests are needed to rule out iron-deficiency anemia.[66]
For an exact diagnosis, the following tests can be performed:
- Hemoglobin electrophoresis is a test that can detect different types of hemoglobin. Hemoglobin is extracted from the red cells, then introduced into a porous gel and subjected to an electrical field. This separates the normal and abnormal types of hemoglobin which can then be identified and quantified. Due to reduced production of HbA in beta thalassemia, the proportion of HbA2 and HbF relative to HbA are generally increased above normal. In alpha thalassemia the normal proportion is maintained.[68][66][48]
- High-performance liquid chromatography (HPLC) is reliable, fully automated, and able to distinguish most types of abnormal hemoglobin including carriers, The method separates and quantifies hemoglobin fractions by measuring their rate of flow through a column of absorbent material.[69]
- DNA analysis using polymerase chain reaction (PCR) or next-generation sequencing. These tests can identify carriers of thalassemia genes and combination hemoglobinopathies, as well as identifying the exact mutation which underlies the disease.[66][70]
Management
Treatment for thalassemia depends on the severity of the disease. People with thalassemia traits (thalassemia minor or non transfusion dependent thalassemia), may not require medical or follow-up care after the initial diagnosis is made.[71] Occasionally transfusions may be necessary particularly around childbirth, surgery, or if other conditions provoke anemia. A folic acid supplement may also be recommended.[66]
For those with severe forms of thalassemia (thalassemia major, or transfusion-dependent thalassemia), the three principal treatments are red blood cell transfusions to relieve anemia, iron chelation to mitigate the side effects of transfusion, and folic acid supplementation to encourage the growth of new blood cells.[72] Other forms of treatment available depending on individual circumstances.
Red blood cell transfusions
Blood transfusions are the main treatment approach for prolonging life. Donated healthy red blood cells have a functional life of 4 to 6 weeks before they wear out and are broken down in the spleen. Regular transfusions every three to four weeks are necessary in order to maintain hemoglobin at a healthy level. Transfusions come with risks including iron overload, the risk of acquiring infections, and the risk of immune reaction to the donated cells (alloimmunization).[73][74]
Iron chelation
Multiple blood transfusions lead to severe iron overload, as the body eventually breaks down the hemoglobin in donated cells. This releases iron which it is unable to excrete. Iron overload may be treated by chelation therapy with the medications deferoxamine, deferiprone, or deferasirox.[75] Deferoxamine is only effective as a daily injection, complicating its long-term use. Adverse effects include primary skin reactions around the injection site and hearing loss. Deferasirox and deferiprone are both oral medications, whose common side effects include nausea, vomiting and diarrhea.[76]
Folic acid
Folate is a B group vitamin which is involved in the manufacture of red blood cells. Folate supplementation, in the form of folic acid, is often recommended in thalassemia.[73]
Other treatments
Luspatercept
Luspatercept is a drug used to treat anemia in adults with β-thalassemia, it can improve the maturation of red blood cells and reduce the need for frequent blood transfusions. It is administered by injection every three weeks. Luspatercept was authorised for use in the US in 2019 and by the European Medicines Agency in 2020.[77]
Hydroxyurea
Hydroxyurea is another drug that can sometimes be administered to relieve anemia caused by beta-thalassemia. This is achieved, in part, by reactivating fetal haemoglobin production; however its effectiveness is uncertain.[78][79][80]
Osteoporosis
People with thalassemia are at a higher risk of osteoporosis. Treatment options include bisphosphonates and zinc supplementation.[81]
Removal of the spleen

The spleen is the organ which removes damaged or misshapen red blood cells from the circulation. In thalassemia, this can lead to the spleen becoming enlarged, a condition known as splenomegaly. Slight enlargement of the spleen is not a problem, however if it becomes extreme then surgical removal of the spleen (splenectomy) may be recommended.[21]
Transplantation and gene therapy
Hematopoietic stem cells (HSC) are cells in the bone marrow that can develop into all types of blood cells, including red blood cells, white blood cells, and platelets.[82] There are two possible ways to treat hemoglobinopathies by targeting HSCs. One is to transplant HSCs from a healthy donor into the patient's bone marrow; this was pioneered in 1981. More recently, it has become possible to use CRISPR gene editing technology to modify the patient's own HSCs in a way that increases production of functional beta-globin chains, leading to near normal levels of healthy hemoglobin.[83]
All stem cell treatments must involve myeloablation of the patients' bone marrow in order to remove HSCs containing the faulty gene. This requires high doses of chemotherapy agents with side effects such as sickness and tiredness. A long hospital stay is necessary after infusion of the replacement HSCs while the cells take up residence in the bone marrow and start to make red blood cells with the stable form of haemoglobin.[84][85]
Hematopoietic stem cell transplantation
Hematopoietic stem cell transplantation (HSCT) is a potentially curative treatment for both alpha and beta thalassemia. It involves replacing the dysfunctional stem cells in the bone marrow with healthy cells from a well-matched donor. Cells are ideally sourced from human leukocyte antigen matched relatives; the procedure is more likely to succeed in children rather than adults.[86][87]
The first HSC transplant for thalassemia was carried out in 1981 on a patient with beta thalassemia major. Since then, a number of patients have received bone marrow transplants from healthy matched donors, although this procedure has a high level of risk.[88]
In 2018 an unborn child with hydrops fetalis, a potentially fatal complication of alpha thalassemia, was successfully transfused in utero with her mother's stem cells.[89]
HSCT is a dangerous procedure with many possible complications; it is reserved for patients with life-threatening diseases. Risks associated with HSCT can include graft-versus host disease, failure of the graft, and other toxicity related to the transplant.[90] In one study of 31 people, the procedure was successful for 22 whose hemoglobin levels improved to the normal range, in seven the graft failed and they continued to live with thalassemia, and two died of transplantation-related causes.[91]
Gene therapy
Gene therapy for hemoglobinopathies was first trialled in 2014 on a single patient with sickle cell disease (a fault in the beta globin gene),[92] and followed by clinical trials in which a number of patients with either sickle cell or beta thalassemia were successfully treated.[93]
Gene therapies work by first harvesting the patient's HSCs, then using CRISPR gene editing to modify their DNA in the laboratory. In parallel with this, the person with thalassemia disease undergoes a myeloablation procedure (a form of chemotherapy) to destroy the remaining HSCs in their bone marrow. The laboratory treated cells are then infused back into the patient where they colonise the bone marrow and eventually commence production of healthy blood cells. There are fewer risks from this procedure than from HSCT, since the transplanted cells are autologous having originated from the patient herself/himself.[94]
There are two approved forms of gene therapy for beta thalassemia.[95][96]
Betibeglogene autotemcel, sold under the brand name Zynteglo, is a gene therapy for the treatment for beta thalassemia which adds a healthy beta-globin gene to the HSCs.[97] It was approved for medical use in the United States in August 2022.[95][98] The procedure involves collecting hematopoietic stem cells (HSCs) from the affected person's blood. In the laboratory, these HSCs then have a new gene for T87Q-globin (a modified beta-globin) introduced to them using a lentiviral vector. Meanwhile the affected person undergoes myeloablative conditioning, after which the altered HSCs can be infused back, becoming engrafted in the bone marrow where they proliferate. This results in a progressive increase in beta-globin synthesis which improves the balance of alpha and beta globins in all subsequent developing red blood cells. Healthy hemoglobin A is generated resolving the anemia.[94]
Exagamglogene autotemcel, sold under the brand name Casgevy, is a gene therapy for the treatment of transfusion-dependent beta thalassemia which induces increased production of fetal hemoglobin HbF.[99] The treatment was approved in the United Kingdom for the treatment of transfusion-dependent beta thalassemia in November 2023[85] and in the United States in January 2024. Casgevy works by editing the BCL11A gene, which normally inhibits the production of HbF in adults. The edit has the effect of increasing production of gamma globin, a component of fetal hemoglobin HbF, and thereby resolving the anemia.[100]
Prevention
The American College of Obstetricians and Gynecologists recommends all people thinking of becoming pregnant be tested to see if they have thalassemia.[101] Genetic counseling and genetic testing are recommended for families who carry a thalassemia trait.[102] Understanding the genetic risk, ideally before a family is started, would hopefully allow families to understand more about the condition and make an informed decision that is best for their family.[102]
A screening policy exists in Cyprus to reduce the rate of thalassemia, which, since the program's implementation in the 1970s (also including prenatal screening and abortion), has reduced the number of children born with the disease from one of every 158 births to almost zero.[103] Greece also has a screening program to identify people who are carriers.[104]
In Iran as a premarital screening, the man's red cell indices are checked first. If he has microcytosis (mean cell hemoglobin < 27 pg or mean red cell volume < 80 fl), the woman is tested. When both are microcytic, their hemoglobin A2 concentrations are measured. If both have a concentration above 3.5% (diagnostic of thalassemia trait) they are referred to the local designated health post for genetic counseling.[105]
Large-scale awareness campaigns are being organized in India both by government and non-government organizations to promote voluntary premarital screening, with marriage between carriers strongly discouraged.[106]
Epidemiology
The beta form of thalassemia is particularly prevalent among Mediterranean peoples, and this geographical association is responsible for its original name.[15] Thalassemias resulted in 25,000 deaths in 2013, down from 36,000 deaths in 1990.[107]
In Europe, the highest concentrations of the disease are found in Greece, coastal regions in Turkey (particularly the Aegean Region such as İzmir, Balıkesir, Aydın, Muğla, and Mediterranean Region such as Antalya, Adana, Mersin), in southern Spain, in parts of Italy, particularly southern Italy. With the exception of the Balearics, the major Mediterranean Islands, such as Sicily, Sardinia, Malta, Corsica, Cyprus, and Crete are heavily affected. Other Mediterranean peoples, as well as those in the vicinity of the Mediterranean, also have high rates of thalassemia, including people from North Africa and West Asia. Far from the Mediterranean, South Asians are also affected, with the world's highest concentration of carriers (16–18% of the population) in the Maldives.[108]
The disease is also found in populations living in Africa, the Americas, and in Tharu people in the Terai region of Nepal and India.[109] It is believed to account for much lower rates of malaria illnesses and deaths,[110] accounting for the historic ability of Tharus to survive in areas with heavy malaria infestation while others could not. Thalassemias are particularly associated with people of Mediterranean origin, Arabs (especially Palestinians and people of Palestinian descent), and Asians.[111] The estimated prevalence is 16% in people from Cyprus, 1%[112] in Thailand, and 3–8% in populations from Bangladesh, China, India, Malaysia and Pakistan.
Estimates suggest that approximately 1.5% of the global population (80 – 90 million people) are β-thalassemia carriers.[113] However, exact data on carrier rates in many populations are lacking, particularly in developing areas of the world known or expected to be heavily affected.[113][114] Because of the prevalence of the disease in countries with little knowledge of thalassemia, access to proper treatment and diagnosis can be difficult.[115] While there are some diagnostic and treatment facilities in developing countries, in most cases these are not provided by government services and are available only to patients who can afford them. In general, poorer populations only have access to limited diagnostic facilities and blood transfusions. In some developing countries, there are virtually no facilities for diagnosis or management of thalassemia.[115]
History of thalassemia
Rudolf Von Jaksch in 1889 first described "anaemia leucaemic infantum" as a form of chronic anemia in children which combined with an enlarged spleen, and abnormal size and shape of the red blood cells. His discovery was subsequently found to comprise a collection of different conditions.[116]
The first definitive identification of a thalassemia was in 1925 by Thomas Benton Cooley, an American pediatrician specialising in hematology and childhood anemias. Cooley noted similarities in symptoms of children in his care having Greek or Italian ancestry; he named it "erythroblastic anemia," but it became popularly known as Cooley's anemia (now termed beta thalassemia major).[117]
The term "thalassemia" was coined by George Whipple in 1932. The word "thalassemia" comes from the Greek word thalassa, which means "sea". The suffix "-emia" comes from the Greek word haima, which means "blood". The term was coined because the condition was strongly associated with people of Mediterranean descent.[116]
In 1948, Italian researchers established that the type of thalassemia which was prevalent in Italy was inherited in a recessive pattern.[118][119]
Further reading
- De Sanctis V, Soliman AT, Elsedfy H, Skordis N, Kattamis C, Angastiniotis M, et al. (January 2013). "Growth and endocrine disorders in thalassemia: The international network on endocrine complications in thalassemia (I-CET) position statement and guidelines". Indian Journal of Endocrinology and Metabolism. 17 (1): 8–18. doi:10.4103/2230-8210.107808. PMC 3659911. PMID 23776848.
References
- ^ a b c d e f g "What Are the Signs and Symptoms of Thalassemias?". NHLBI. 3 July 2012. Archived from the original on 16 September 2016. Retrieved 5 September 2016.
- ^ a b c "What Causes Thalassemias?". NHLBI. 3 July 2012. Archived from the original on 26 August 2016. Retrieved 5 September 2016.
- ^ a b "How Are Thalassemias Diagnosed?". NHLBI. 3 July 2012. Archived from the original on 16 September 2016. Retrieved 5 September 2016.
- ^ a b "How Are Thalassemias Treated?". NHLBI. 3 July 2012. Archived from the original on 16 September 2016. Retrieved 5 September 2016.
- ^ Vos T, Allen C, Arora M, Barber RM, Bhutta ZA, Brown A, et al. (GBD 2015 Disease and Injury Incidence and Prevalence Collaborators) (October 2016). "Global, regional, and national incidence, prevalence, and years lived with disability for 310 diseases and injuries, 1990-2015: a systematic analysis for the Global Burden of Disease Study 2015". Lancet. 388 (10053): 1545–1602. doi:10.1016/S0140-6736(16)31678-6. PMC 5055577. PMID 27733282.
- ^ Wang H, Naghavi M, Allen C, Barber RM, Bhutta ZA, Carter A, et al. (GBD 2015 Mortality and Causes of Death Collaborators) (October 2016). "Global, regional, and national life expectancy, all-cause mortality, and cause-specific mortality for 249 causes of death, 1980-2015: a systematic analysis for the Global Burden of Disease Study 2015". Lancet. 388 (10053): 1459–1544. doi:10.1016/s0140-6736(16)31012-1. PMC 5388903. PMID 27733281.
- ^ a b c "What is Thalassemia?". National Heart, Lung, and Blood Institute (NHLBI). 31 May 2022. Retrieved 9 December 2024.
- ^ "How Can Thalassemias Be Prevented?". NHLBI. 3 July 2012. Archived from the original on 16 September 2016. Retrieved 5 September 2016.
- ^ Baird DC, Batten SH, Sparks SK (March 2022). "Alpha- and Beta-thalassemia: Rapid Evidence Review". American Family Physician. 105 (3): 272–280. PMID 35289581.
- ^ "Thalassemias - Level 4 cause | Institute for Health Metrics and Evaluation". www.healthdata.org. Retrieved 17 December 2024.
- ^ "Thalassemias trait - Level 4 cause | Institute for Health Metrics and Evaluation". www.healthdata.org. Retrieved 17 December 2024.
- ^ Weatherall DJ (2015). "The Thalassemias: Disorders of Globin Synthesis". Williams Hematology (9th ed.). McGraw Hill Professional. p. 725. ISBN 978-0-07-183301-1.
- ^ θάλασσα. Liddell, Henry George; Scott, Robert; A Greek–English Lexicon at the Perseus Project.
- ^ αἷμα in Liddell and Scott.
- ^ a b Greer JP, Arber DA, Glader B, List AF, Means Jr RT, Paraskevas F, et al. (2013). Wintrobe's Clinical Hematology. Wolters Kluwer, Lippincott Williams & Wilkins Health. ISBN 978-1-4511-7268-3.
- ^ Whipple GH, Bradford WI (1932). "Racial or Familial Anemia of Children Associated With Fundamental Disturbances of Bone and Pigment Metabolism (Cooley-Von Jaksch)". American Journal of Diseases of Children. 44: 336–365. doi:10.1001/archpedi.1932.01950090074009.
- ^ Weatherall DJ. The New Genetics and Clinical Practice, Oxford University Press, Oxford 1991.
- ^ a b c d "Hemoglobinopathies". Brigham and Women's Hospital. 17 April 2002. Retrieved 6 February 2009.
- ^ Huisman TH. The structure and function of normal and abnormal haemoglobins. In: Baillière's Clinical Haematology, Higgs DR, Weatherall DJ (Eds), W.B. Saunders, London 1993. p.1.
- ^ Natarajan K, Townes TM, Kutlar A. Disorders of hemoglobin structure: sickle cell anemia and related abnormalities. In: Williams Hematology, 8th ed, Kaushansky K, Lichtman MA, Beutler E, et al. (Eds), McGraw-Hill, 2010. p.ch.48.
- ^ a b c d e f "Thalassemia-Thalassemia - Symptoms & causes". Mayo Clinic. 17 November 2021. Retrieved 7 January 2025.
- ^ Pondarre C (May 2021). "Orphanet: Hb Bart's hydrops fetalis". Orphanet. Retrieved 22 January 2025.
- ^ "Pathophysiology of alpha thalassemia". www.uptodate.com. Retrieved 30 August 2016.
- ^ "Alpha Thalassemia in Children". Cedars-Sinai. Retrieved 8 January 2025.
- ^ a b Hanna R (6 March 2022). "Thalassemias". Cleveland Clinic. Retrieved 5 January 2025.
- ^ "Thalassaemia - Symptoms". National Health Service. 24 October 2017. Retrieved 5 January 2025.
- ^ CDC (22 May 2024). "About Thalassemia". Centers for Disease Control and Prevention. Retrieved 5 January 2025.
- ^ Piga A (December 2017). "Impact of bone disease and pain in thalassemia". Hematology. American Society of Hematology. Education Program. 2017 (1): 272–277. doi:10.1182/asheducation-2017.1.272. PMC 6142535. PMID 29222266.
- ^ Karakas S, Tellioglu AM, Bilgin M, Omurlu IK, Caliskan S, Coskun S (October 2016). "Craniofacial Characteristics of Thalassemia Major Patients". The Eurasian Journal of Medicine. 48 (3): 204–208. doi:10.5152/eurasianjmed.2016.150013. PMC 5268604. PMID 28149147.
- ^ "What Is Thalassemia?". Penn Medicine, Philadelphia, PA. 5 January 2025. Retrieved 5 January 2025.
- ^ Angoro B, Motshakeri M, Hemmaway C, Svirskis D, Sharma M (June 2022). "Non-transferrin bound iron". Clinica Chimica Acta; International Journal of Clinical Chemistry. 531: 157–167. doi:10.1016/j.cca.2022.04.004. PMID 35398023.
- ^ "Endocrine Problems in Thalassemia" (PDF). Sandwell and West Birmingham NHS Trust. January 2016.
- ^ "Thalassaemia". Wales Ambulance Service NHS Trust. 25 October 2023. Retrieved 8 January 2025.
- ^ Martin M, Butler C (September 2022). "Thalassemia and the Spleen" (PDF). Cooley's Anemia Foundation.
- ^ Ricerca BM, Di Girolamo A, Rund D (December 2009). "Infections in thalassemia and hemoglobinopathies: focus on therapy-related complications". Mediterranean Journal of Hematology and Infectious Diseases. 1 (1): e2009028. doi:10.4084/MJHID.2009.028 (inactive 1 July 2025). PMC 3033166. PMID 21415996.
{{cite journal}}: CS1 maint: DOI inactive as of July 2025 (link) - ^ Maton A, Hopkins J, McLaughlin CW, Johnson S, Warner MQ, LaHart D, et al. (1993). Human Biology and Health. Englewood Cliffs, New Jersey, US: Prentice Hall. ISBN 978-0-13-981176-0.
- ^ "Hemoglobin test - Mayo Clinic". Mayo Foundation for Medical Education and Research. 12 April 2024. Retrieved 14 January 2025.
- ^ Baird DC, Batten SH, Sparks SK. Alpha- and Beta-thalassemia: Rapid Evidence Review. Am Fam Physician. 2022 Mar 1;105(3):272-280. PMID 35289581.
- ^ Muncie HL, Campbell J (August 2009). "Alpha and beta thalassemia". American Family Physician. 80 (4): 339–344. PMID 19678601.
- ^ Wambua S, Mwangi TW, Kortok M, Uyoga SM, Macharia AW, Mwacharo JK, et al. (May 2006). "The effect of alpha+-thalassaemia on the incidence of malaria and other diseases in children living on the coast of Kenya". PLOS Medicine. 3 (5) e158. doi:10.1371/journal.pmed.0030158. PMC 1435778. PMID 16605300.
- ^ Willcox M, Björkman A, Brohult J, Pehrson PO, Rombo L, Bengtsson E (June 1983). "A case-control study in northern Liberia of Plasmodium falciparum malaria in haemoglobin S and beta-thalassaemia traits". Annals of Tropical Medicine and Parasitology. 77 (3): 239–246. doi:10.1080/00034983.1983.11811704. PMID 6354114.
- ^ Introini V, Marin-Menendez A, Nettesheim G, Lin YC, Kariuki SN, Smith AL, et al. (May 2022). "The erythrocyte membrane properties of beta thalassaemia heterozygotes and their consequences for Plasmodium falciparum invasion". Scientific Reports. 12 (1) 8934. Bibcode:2022NatSR..12.8934I. doi:10.1038/s41598-022-12060-4. PMC 9142571. PMID 35624125.
- ^ Kattamis A, Forni GL, Aydinok Y, Viprakasit V (December 2020). "Changing patterns in the epidemiology of β-thalassemia". European Journal of Haematology. 105 (6): 692–703. doi:10.1111/ejh.13512. PMC 7692954. PMID 32886826.
- ^ Williams TN, Weatherall DJ (September 2012). "World distribution, population genetics, and health burden of the hemoglobinopathies". Cold Spring Harbor Perspectives in Medicine. 2 (9) a011692. doi:10.1101/cshperspect.a011692. PMC 3426822. PMID 22951448.
- ^ Online Mendelian Inheritance in Man (OMIM): Hemoglobin—Alpha locus 1; HBA1 - 141800
- ^ Online Mendelian Inheritance in Man (OMIM): Hemoglobin—Alpha locus 2; HBA2 - 141850
- ^ a b Robbins Basic Pathology, Page No:428
- ^ a b Harewood J, Azevedo AM (4 September 2023). "Alpha Thalassemia". StatPearls. Treasure Island (FL): StatPearls Publishing. PMID 28722856. Retrieved 13 January 2025.
- ^ a b Galanello R, Cao A (February 2011). "Gene test review. Alpha-thalassemia". Genetics in Medicine. 13 (2): 83–88. doi:10.1097/GIM.0b013e3181fcb468. PMID 21381239.
- ^ a b "Alpha-thalassaemia". Genomics Education Programme, NHS England. 24 August 2020. Retrieved 10 January 2025.
- ^ Online Mendelian Inheritance in Man (OMIM): Hemoglobin—Beta Locus; HBB - 141900
- ^ a b Thein SL (May 2013). "The molecular basis of β-thalassemia". Cold Spring Harbor Perspectives in Medicine. 3 (5) a011700. doi:10.1101/cshperspect.a011700. PMC 3633182. PMID 23637309.
- ^ a b Shakeel H (25 March 2023). "Thalassaemia — Knowledge Hub". Genomics Education Programme and NHS England. Retrieved 13 January 2025.
- ^ "Delta-beta-thalassemia". Orphanet. Retrieved 16 September 2016.
- ^ "HBD - hemoglobin subunit delta". Orphanet. Archived from the original on 18 September 2016. Retrieved 17 September 2016.
- ^ Khatri G, Sahito AM, Ansari SA (December 2021). "Shared molecular basis, diagnosis, and co-inheritance of alpha and beta thalassemia". Blood Research. 56 (4): 332–333. doi:10.5045/br.2021.2021128. PMC 8721464. PMID 34776416.
- ^ Wambua S, Mwacharo J, Uyoga S, Macharia A, Williams TN (April 2006). "Co-inheritance of alpha+-thalassaemia and sickle trait results in specific effects on haematological parameters". British Journal of Haematology. 133 (2): 206–209. doi:10.1111/j.1365-2141.2006.06006.x. PMC 4394356. PMID 16611313.
- ^ "Hemoglobin C" (PDF). Washington State Department of Health. February 2011.
- ^ Torres Lde S (March 2015). "Hemoglobin D-Punjab: origin, distribution and laboratory diagnosis". Revista Brasileira de Hematologia e Hemoterapia. 37 (2): 120–126. doi:10.1016/j.bjhh.2015.02.007. PMC 4382585. PMID 25818823.
- ^ Olivieri NF, Muraca GM, O'Donnell A, Premawardhena A, Fisher C, Weatherall DJ (May 2008). "Studies in haemoglobin E beta-thalassaemia". British Journal of Haematology. 141 (3): 388–397. doi:10.1111/j.1365-2141.2008.07126.x. PMID 18410572.
- ^ Gerber GF (April 2024). "Hemoglobin S–Beta-Thalassemia Disease - Hematology and Oncology". MSD Manual Professional Edition. Retrieved 24 December 2024.
- ^ Pal GK (2005). Textbook Of Practical Physiology (2nd ed.). Orient Blackswan. p. 53. ISBN 978-81-250-2904-5. Retrieved 17 September 2016.
- ^ Colah, R. B., Gorakshakar, A. C., & Nadkarni, A. H. (2011). Invasive & non-invasive approaches for prenatal diagnosis of haemoglobinopathies: experiences from India. The Indian Journal of Medical Research, 134(4), 552–560.
- ^ Ghidini A (19 March 2024). "Fetal blood sampling". UpToDate, Inc. Retrieved 13 January 2025.
- ^ "Newborn blood spot test". National Health Service. 5 September 2024. Retrieved 20 November 2024.
- ^ a b c d e f g Bajwa H, Basit H (August 2023). "Thalassemia". StatPearls. Treasure Island (FL): StatPearls Publishing. PMID 31424735. Retrieved 13 January 2025.
- ^ Kottke-Marchant K, Davis B (2012). Laboratory Hematology Practice (1st ed.). John Wiley & Sons. p. 569. ISBN 978-1-4443-9857-1.
- ^ "Hemoglobin Electrophoresis: MedlinePlus Medical Test". medlineplus.gov. Retrieved 20 November 2024.
- ^ Khera R, Singh T, Khuana N, Gupta N, Dubey AP (March 2015). "HPLC in characterization of hemoglobin profile in thalassemia syndromes and hemoglobinopathies: a clinicohematological correlation". Indian Journal of Hematology & Blood Transfusion. 31 (1): 110–115. doi:10.1007/s12288-014-0409-x. PMC 4275515. PMID 25548455.
- ^ Munkongdee T, Chen P, Winichagoon P, Fucharoen S, Paiboonsukwong K (27 May 2020). "Update in Laboratory Diagnosis of Thalassemia". Frontiers in Molecular Biosciences. 7: 74. doi:10.3389/fmolb.2020.00074. PMC 7326097. PMID 32671092.
- ^ Pediatric Thalassemia~treatment at eMedicine
- ^ "Treatment of Thalassemias". Hematology-Oncology Associates of CNY. 25 January 2018. Retrieved 17 January 2025.
- ^ a b CDC (2 January 2025). "Treatment of Thalassemia". Thalassemia. Retrieved 15 January 2025.
- ^ Butler C (16 January 2025). "Transfusion Issues in Thalassemia" (PDF). The Cooley's Anemia Foundation. Retrieved 16 January 2025.
- ^ "Thalassaemia - Treatment". nhs.uk. 17 October 2022. Retrieved 15 January 2025.
- ^ Neufeld EJ (2010). "Update on iron chelators in thalassemia". Hematology. American Society of Hematology. Education Program. 2010: 451–455. doi:10.1182/asheducation-2010.1.451. PMID 21239834.
- ^ Cappellini MD, Taher AT (January 2021). "The use of luspatercept for thalassemia in adults". Blood Advances. 5 (1): 326–333. doi:10.1182/bloodadvances.2020002725. PMC 7805339. PMID 33570654.
- ^ Tidy C (23 February 2023). "Thalassaemia". Egton Medical Information Systems Limited. Retrieved 16 January 2025.
- ^ Banan M (March 2013). "Hydroxyurea treatment in β-thalassemia patients: to respond or not to respond?". Annals of Hematology. 92 (3): 289–299. doi:10.1007/s00277-012-1671-3. PMID 23318979.
- ^ Ansari SH, Lassi ZS, Khowaja SM, Adil SO, Shamsi TS, et al. (Cochrane Cystic Fibrosis and Genetic Disorders Group) (March 2019). "Hydroxyurea (hydroxycarbamide) for transfusion-dependent β-thalassaemia". The Cochrane Database of Systematic Reviews. 3 (3) CD012064. doi:10.1002/14651858.CD012064.pub2. PMC 6421980. PMID 30882896.
- ^ Bhardwaj A, Swe KM, Sinha NK (May 2023). "Treatment for osteoporosis in people with beta-thalassaemia". The Cochrane Database of Systematic Reviews. 2023 (5) CD010429. doi:10.1002/14651858.CD010429.pub3. PMC 10167785. PMID 37159055.
- ^ "Hematopoiesis". Cleveland Clinic. 12 December 2022. Retrieved 6 December 2024.
- ^ Olson TS, Walters MC (October 2023). "Allogeneic haematopoietic stem-cell transplantation versus gene therapy for haemoglobinopathies". The Lancet. Haematology. 10 (10): e798 – e800. doi:10.1016/S2352-3026(23)00246-6. PMID 37793770.
- ^ "Stem cell transplant - What happens". nhs.uk. 23 October 2017. Retrieved 7 December 2024.
- ^ a b "MHRA authorises world-first gene therapy that aims to cure sickle-cell disease and transfusion-dependent β-thalassemia". Medicines and Healthcare products Regulatory Agency (MHRA) (Press release). 16 November 2023. Archived from the original on 25 November 2023. Retrieved 8 December 2023.
- ^ "NHS England » Clinical commissioning policy: allogeneic haematopoietic stem cell transplantation (Allo-HSCT) for adult transfusion dependent thalassaemia". www.england.nhs.uk. 10 November 2023. Retrieved 18 January 2025.
- ^ Lucarelli G, Isgrò A, Sodani P, Gaziev J (May 2012). "Hematopoietic stem cell transplantation in thalassemia and sickle cell anemia". Cold Spring Harbor Perspectives in Medicine. 2 (5) a011825. doi:10.1101/cshperspect.a011825. PMC 3331690. PMID 22553502.
- ^ Angelucci E, Pilo F, Targhetta C, Pettinau M, Depau C, Cogoni C, et al. (December 2009). "Hematopietic stem cell transplantation in thalassemia and related disorders". Mediterranean Journal of Hematology and Infectious Diseases. 1 (1): e2009015. doi:10.4084/MJHID.2009.015 (inactive 12 July 2025). PMC 3033161. PMID 21415993.
{{cite journal}}: CS1 maint: DOI inactive as of July 2025 (link) - ^ Leigh S (25 May 2018). "Baby Born in World's First In Utero Stem Cell Transplant Trial | UC San Francisco". University of California San Francisco. Retrieved 20 January 2025.
- ^ Rotin LE, Viswabandya A, Kumar R, Patriquin CJ, Kuo KH (December 2023). "A systematic review comparing allogeneic hematopoietic stem cell transplant to gene therapy in sickle cell disease". Hematology. 28 (1) 2163357. doi:10.1080/16078454.2022.2163357. PMID 36728286.
- ^ Sodani P, Isgrò A, Gaziev J, Paciaroni K, Marziali M, Simone MD, et al. (June 2011). "T cell-depleted hla-haploidentical stem cell transplantation in thalassemia young patients". Pediatric Reports. 3 Suppl 2 (Suppl 2) e13. doi:10.4081/pr.2011.s2.e13. PMC 3206538. PMID 22053275.
- ^ Ribeil JA, Hacein-Bey-Abina S, Payen E, Magnani A, Semeraro M, Magrin E, et al. (March 2017). "Gene Therapy in a Patient with Sickle Cell Disease". The New England Journal of Medicine. 376 (9): 848–855. doi:10.1056/NEJMoa1609677. PMID 28249145.
- ^ Kaiser J (5 December 2020). "CRISPR and another genetic strategy fix cell defects in two common blood disorders". ScienceMag.org. Science. Retrieved 7 December 2020.
... teams report that two strategies for directly fixing malfunctioning blood cells have dramatically improved the health of a handful of people with these genetic diseases.
- ^ a b Biffi A (April 2018). "Gene Therapy as a Curative Option for β-Thalassemia". The New England Journal of Medicine. 378 (16): 1551–1552. doi:10.1056/NEJMe1802169. PMID 29669229.
- ^ a b "Zynteglo". U.S. Food and Drug Administration. 17 August 2022. Archived from the original on 26 August 2022. Retrieved 26 August 2022.
- ^ "CRISPR Therapeutics Announces U.S. Food and Drug Administration (FDA) Approval of CASGEVY™ (exagamglogene autotemcel) for the Treatment of Transfusion-Dependent Beta Thalassemia". CRISPR Therapeutics. 14 January 2024. Retrieved 20 January 2025.
- ^ Negre O, Eggimann AV, Beuzard Y, Ribeil JA, Bourget P, Borwornpinyo S, et al. (February 2016). "Gene Therapy of the β-Hemoglobinopathies by Lentiviral Transfer of the β(A(T87Q))-Globin Gene". Human Gene Therapy. 27 (2): 148–165. doi:10.1089/hum.2016.007. PMC 4779296. PMID 26886832.
- ^ "FDA Approves First Cell-Based Gene Therapy to Treat Adult and Pediatric Patients with Beta-thalassemia Who Require Regular Blood Transfusions". U.S. Food and Drug Administration (FDA) (Press release). 17 August 2022. Archived from the original on 21 August 2022. Retrieved 20 August 2022.
This article incorporates text from this source, which is in the public domain.
- ^ Stein R (31 October 2023). "FDA advisers see no roadblocks for gene-editing treatment for sickle cell disease". NPR. Archived from the original on 4 December 2023. Retrieved 4 December 2023.
- ^ "Patient Information | CASGEVY® (exagamglogene autotemcel)". www.casgevy.com. Archived from the original on 2 December 2024. Retrieved 20 January 2025.
- ^ "Carrier Screening in the Age of Genomic Medicine – ACOG". www.acog.org. Archived from the original on 25 February 2017. Retrieved 24 February 2017.
- ^ a b Hussein N, Henneman L, Kai J, Qureshi N, et al. (Cochrane Cystic Fibrosis and Genetic Disorders Group) (October 2021). "Preconception risk assessment for thalassaemia, sickle cell disease, cystic fibrosis and Tay-Sachs disease". The Cochrane Database of Systematic Reviews. 2021 (10) CD010849. doi:10.1002/14651858.CD010849.pub4. PMC 8504980. PMID 34634131.
- ^ Leung TN, Lau TK, Chung TK (April 2005). "Thalassaemia screening in pregnancy". Current Opinion in Obstetrics & Gynecology. 17 (2): 129–134. doi:10.1097/01.gco.0000162180.22984.a3. PMID 15758603. S2CID 41877258.
- ^ Loukopoulos D (October 2011). "Haemoglobinopathies in Greece: prevention programme over the past 35 years". The Indian Journal of Medical Research. 134 (4): 572–576. PMC 3237258. PMID 22089622.
- ^ Samavat A, Modell B (November 2004). "Iranian national thalassaemia screening programme". BMJ. 329 (7475): 1134–1137. doi:10.1136/bmj.329.7475.1134. PMC 527686. PMID 15539666.
- ^ Petrou M (January 2010). "Screening for beta thalassaemia". Indian Journal of Human Genetics. 16 (1): 1–5. doi:10.4103/0971-6866.64934. PMC 2927788. PMID 20838484.
- ^ Naghavi M, Wang H, Lozano R, Davis A, Liang X, Zhou MG, et al. (GBD 2013 Mortality and Causes of Death Collaborators) (January 2015). "Global, regional, and national age-sex specific all-cause and cause-specific mortality for 240 causes of death, 1990-2013: a systematic analysis for the Global Burden of Disease Study 2013". Lancet. 385 (9963): 117–171. doi:10.1016/S0140-6736(14)61682-2. hdl:11655/15525. PMC 4340604. PMID 25530442.
- ^ Waheed F, Fisher C, Awofeso A, Stanley D (July 2016). "Carrier screening for beta-thalassemia in the Maldives: perceptions of parents of affected children who did not take part in screening and its consequences". Journal of Community Genetics. 7 (3): 243–253. doi:10.1007/s12687-016-0273-5. PMC 4960032. PMID 27393346.
- ^ Modiano G, Morpurgo G, Terrenato L, Novelletto A, Di Rienzo A, Colombo B, et al. (February 1991). "Protection against malaria morbidity: near-fixation of the alpha-thalassemia gene in a Nepalese population". American Journal of Human Genetics. 48 (2): 390–397. PMC 1683029. PMID 1990845.
- ^ Terrenato L, Shrestha S, Dixit KA, Luzzatto L, Modiano G, Morpurgo G, et al. (February 1988). "Decreased malaria morbidity in the Tharu people compared to sympatric populations in Nepal". Annals of Tropical Medicine and Parasitology. 82 (1): 1–11. doi:10.1080/00034983.1988.11812202. PMID 3041928.
- ^ E. Goljan, Pathology, 2nd ed. Mosby Elsevier, Rapid Review Series.
- ^ "Thalassemia" (in Thai). Department of Medical Sciences. September 2011. Archived from the original on 25 September 2011.
- ^ a b Galanello R, Origa R (May 2010). "Beta-thalassemia". Orphanet Journal of Rare Diseases. 5 (1) 11. doi:10.1186/1750-1172-5-11. PMC 2893117. PMID 20492708.
- ^ Vichinsky EP (1 November 2005). "Changing patterns of thalassemia worldwide". Annals of the New York Academy of Sciences. 1054 (1): 18–24. Bibcode:2005NYASA1054...18V. doi:10.1196/annals.1345.003. PMID 16339647. S2CID 26329509.
- ^ a b Weatherall DJ (November 2005). "Keynote address: The challenge of thalassemia for the developing countries". Annals of the New York Academy of Sciences. 1054 (1): 11–17. Bibcode:2005NYASA1054...11W. doi:10.1196/annals.1345.002. PMID 16339646. S2CID 45770891.
- ^ a b Siddiqui S, Steensma DP, Kyle RA (November 2017). "Thalassemia and Thomas Benton Cooley". Mayo Clinic Proceedings. 92 (11): e161 – e162. doi:10.1016/j.mayocp.2017.06.024. PMID 29101943.
- ^ Stuart H. Orkin, David G. Nathan, David Ginsburg, A. Thomas Look (2009). Nathan and Oski's Hematology of Infancy and Childhood, Volume 1. Elsevier Health Sciences. pp. 1054–1055. ISBN 978-1-4160-3430-8.
- ^ Greco F, Marino F (28 April 2022). "Editor's Pick: Social Impact and Quality of Life of Patients with β-Thalassaemia: A Systematic Review". EMJ Hematol Hematology 2022. doi:10.33590/emjhematol/22-00041. hdl:11383/2140214. ISSN 2053-6631.
- ^ De Simone G, Quattrocchi A, Mancini B, di Masi A, Nervi C, Ascenzi P (April 2022). "Thalassemias: from gene to therapy". Molecular Aspects of Medicine. Hemoglobin and Myoglobin in their reactions with ligands. 84 101028. doi:10.1016/j.mam.2021.101028. PMID 34649720.
External links
- "Learning About Thalassemia". National Human Genome Research Institute. 27 December 2013.
