Endometriosis
| Endometriosis | |
|---|---|
![]() | |
| Specialty | Gynecology |
| Symptoms | Pelvic pain, infertility |
| Usual onset | Adolescence or early 20s |
| Duration | Long term |
| Causes | Unknown |
| Risk factors | Family history, early first period, short cycle length |
| Diagnostic method | Based on symptoms, medical imaging, tissue biopsy |
| Differential diagnosis | Adenomyosis, irritable bowel syndrome, interstitial cystitis |
| Treatment | NSAIDs, continuous birth control pills, hormonal IUD (coil), surgery |
| Frequency | Roughly 10% of women of reproductive age |
Endometriosis is a disease in which tissue similar to the lining of the uterus grows elsewhere in the body. The tissue most often grows on or around the ovaries and fallopian tubes, on the outside surface of the uterus, or the tissues surrounding the uterus and the ovaries. It can also appear on the bowel, bladder, or, rarely, on the lungs and skin.
Symptoms vary widely between individuals. Some have no symptoms, while for others it can be a debilitating disease. Common symptoms include pelvic pain, heavy and painful periods, pain with bowel movements, painful urination, pain during sexual intercourse, and infertility. Beyond physical symptoms, endometriosis can affect a person's mental health and social life.
A presumed diagnosis can be made based on symptoms and medical imaging; a laparoscopy (keyhole surgery) provides definite confirmation. Other causes of similar symptoms include adenomyosis, uterine fibroids, irritable bowel syndrome, and interstitial cystitis. Endometriosis is often misdiagnosed and many patients report being incorrectly told their symptoms are trivial or normal. On average, it takes 5–12 years from the start of symptoms to receive a diagnosis.
Worldwide, endometriosis affects approximately 10% of the female population of reproductive age, representing about 190 million women. Asian women are more likely than White women to be diagnosed. The exact cause is not known. Possible causes include backwards menstrual period flow, genetic factors, hormones, and problems with the immune system.
While there is no cure for endometriosis, several treatments may improve symptoms. This includes pain medication, hormonal treatments or surgery. The recommended pain medication is usually a non-steroidal anti-inflammatory drug (NSAID), such as naproxen. Taking the birth control pill continuously or using a hormonal IUD (coil) is another first-line treatment. Other types of hormonal treatment can be tried if the pill or IUD are not effective. Endometriosis can be removed surgically in women whose symptoms are not relieved by other treatments or to help with infertility.
Subtypes

Endometriosis can be subdivided into four categories:[1]
- Superficial peritoneal endometriosis
- Small spots of endometriosis grow on the surface layer that covers the organs inside the abdomen or pelvis (the peritoneum)
- Deep infiltrating endometriosis
- Lesions grow into the tissue beneath the lining of the pelvis or into the muscle layers of pelvic organs like the bowel, bladder, or ureter
- Endometriomas (ovarian)
- Cysts that grow in the ovaries.
- Extrapelvic endometriosis
- Lesions outside of the pelvic region, such as in the lungs or diaphragm
Endometriosis most commonly affects the ovaries, the fallopian tubes between the ovaries and the uterus, the outer surface of the uterus and the tissues that hold the uterus in place. Less common pelvic sites are the rectum, bladder, bowel, vulva, vagina and cervix.[2] Endometriomas appear dark brown, giving rise to the name "chocolate cysts", and are filled with old menstrual blood among other material.[3] When lesions grow more than 5 mm beneath the peritoneal surface, they are classified as deep infiltrating endometriosis.[4] It can infiltrate the muscles around organs.[1] Deep endometriosis often appears as nodules, and can include fibrosis and adhesions.[1]
Rarely, endometriosis appears on the lungs (thoracic endometriosis), brain, and skin.[2] Diaphragmatic endometriosis forms almost always on the right hemidiaphragm, and may cause the cyclic pain of the right shoulder or neck during a menstrual period.[5] Scar endometriosis can rarely form on the abdominal wall as a complication of surgery, most often following a ceasarean section or other pelvic surgery.[6]
Signs and symptoms
Endometriosis is often associated with pain and infertility.[7] Some women with endometriosis do not have any symptoms, while for others the pain is life-altering. The amount of pain relates poorly to the anatomical extent of endometriosis. Those with 'minimal' endometriosis may have significant pain, while those with 'severe' endometriosis might have few symptoms.[8]
The most frequent symptom of endometriosis is pelvic pain, which includes:[7]
- Painful periods (dysmenorrhea) in 60% to 75% of people with endometriosis.[7] Severe period pain may interfere with daily activities.[9]
- Heavy menstrual bleeding[9]
- Chronic pelvic pain that can interfere with school, work and social activities[7]
- Painful sexual intercourse (dyspareunia)[7]
- Painful urination or bowel movements, especially during periods[7]
Women with endometriosis are about twice as likely to experience infertility compared to other women. Between 16% and 40% of women with endometriosis experience difficulty conceiving. In those going through assisted reproductive treatment, endometriosis is found in about 30% to 50% of women.[7] The World Health Organization estimates that endometriosis is the ultimate cause of female infertility in 4.8% of cases.[10]
Endometriosis can involve symptoms like constipation, diarrhea, nausea, bloating, rectal or abdominal pain. This is sometimes caused by endometriosis on the bowels, but often due to co-occuring irritable bowel syndrome. People with endometriosis often experience fatigue, which is linked to insomnia, depression and anxiety.[7]
Thoracic endometriosis occurs when endometrium-like tissue implants in the lungs or pleura around the lungs.[11] It is rare.[7] When it occurs in the lungs, common signs and symptoms are blood discharge from the lungs during menstruation and nodules which become bigger during menstruation. When it is found in the pleura, symptoms may be a collapsed lung during or outside of menstruation and bleeding into the pleural space. Further symptoms are a cyclical cough and cyclical shoulder pain. Most often, the endometriosis is found in the right lung.[11] Blood in urine may point to endometriosis in the bladder or in the ureter.[7] Sciatic endometriosis is a rare form in which endometrial tissue involves the sciatic nerve, causing cyclic nerve pain in the leg.[12]
Complications
Endometriosis may be associated with complications during pregnancy. Women with endometriosis have a three-fold increased risk of a placenta previa, in which the placenta partially or completely covers the cervical opening. Preterm delivery was almost 50% more likely. Other complications are stillbirth, gestational hypertension, pre-eclampsia, and placental abruption.[7]
Cardiovascular disease is also associated with endometriosis, in particular in those who have had a surgical removal of the uterus (hysterectomy) and ovaries. Cohort studies have found associations with strokes, heart attacks (myocardial infarction), high blood pressure and arrhythmia.[7] Depression and anxiety are more common in endometriosis compared to healthy controls, but occur at the same rate as with other chronic pain conditions.[13] It is unclear how much this is caused by shared underlying mechanisms, the impact of severe symptoms, stigma, the related diagnostic delays or the ineffectiveness of treatment.[7]
Risk factors
Genetics
Inheritance is significant but not the sole risk factor for endometriosis. Studies attribute 50% of the risk to genetics, the other 50% to environmental factors.[14] Overall, 42 different loci (regions on a chromosome) have been associated with endometriosis risk. The genes linked to endometriosis risk help control cancer-related processes, sex-hormone signals, womb development, molecules related to inflammation and adhesions, and the growth of new blood vessels.[15]
There is significant overlap between the genetic basis of endometriosis, other pain conditions and inflammatory conditions. For instance, endometriosis shares a genetic underpinning with migraine and neck, shoulder and back pain. Among inflammatory conditions, it shares variants with asthma and osteoarthritis.[15]
Reproductive and environmental factors
People whose menstrual outflow is obstructed are at risk of developing endometriosis. This could be because of an imperforate hymen (a birth defect where the vagina is completely blocked), or a double uterus with a blocked hemivagina.[16] Other risk factors are having a first period before age 12, a menstrual cycle of fewer than 28 days, a low BMI, and not having had children.[1]
Little is known about environmental risk factors. Night work and red meat consumption seems to raise risk, as does exposure to some classes of environmental pollutants. The most studied of these are endocrine disruptors—chemicals that interfere with hormones, such as estrogen.[17] They include dioxins, phthalates, bisphenol A and polychlorinated biphenyl. Based on epidemiological and experimental data, it is possible exposure to some of them increases the risk of endometriosis.[17][18]
Mechanism
Endometriosis is an inflammatory disease dependent on estrogen. The lesions promote local inflammation and immune system dysregulation. They also trigger the formation of adhesions (fibrous bands that form between tissues and organs) and fibrosis (excess connective tissue from healing). It is not well understood how endometriosis causes infertility and pain.[1]
Formation

Origin of endometriosis cells
The main theories for the formation of the endometrium-like tissue outside the womb are backward flow of menstrual blood, metastasis via the lymphatic or the circulatory system and local transformation of peritoneal cells into endometrial-like cells (coelomic metaplasia).[19]
During menstruation, some menstrual blood, tissue, and fluid can flow backward through the fallopian tubes into the pelvic area (the peritoneal cavity). This backward flow (called retrograde menstruation) is thought to be the main reason why endometriosis develops inside the pelvic cavity. However, this explanation alone is not enough, because almost all women have some backward flow of menstrual fluid, but only some of them develop endometriosis.[3]
Evidence supporting the theory comes from retrospective epidemiological studies and DNA analysis.[20][21] Furthermore, only animals with a menstrual cycle such as rhesus monkeys and baboons develop endometriosis. In contrast, animals like rodents and non-human primates with an estrous cycle in which the endometrium is reabsorbed rather than shed do not develop the disease.[20]
Endometriosis has been documented in men, prepubescent girls, and in female fetuses, demonstrating that menstruation is not required for the condition to develop. One explanation for endometriosis in girls before puberty is coelomic metaplasia: the theory that certain cells in the peritoneum may undergo metaplasia (transformation) into endometrium-like cells. Müllerian remnants, cells that normally disappear during male embryonic development, may explain rare cases of endometriosis in men.[22] Metastasis via the lymphatic or the circulatory system may explain endometriosis outside of the pelvic region.[1]
Stem cells may contribute to the formation of endometriosis.[23] Stems cells in the basal layer of the endometrium play a role in renewing the tissue after menstruation. In women with endometriosis, more tissue is shed from this layer during menstruation, allowing more stem cells to flow back into the peritoneum with retrograde menstruation, and form lesions.[24] Stem cells from bone marrow may drive the further growth of lesions, and also explain the establishment of endometriosis outside of the pelvic region.[8]
Other factors
Most women with retrograde menstruation do not develop endometriosis, so other factors are needed to explain the formation.[8] For endometriosis to develop, as is done by some cancerous tumors, its cells must evade the immune system, attach to a surface, and promote the formation of new blood vessels.[25] Endometriotic lesions differ in their biochemistry, hormonal response, immunology, and inflammatory response compared to the endometrium.[19]
Endometriosis lesions require estrogen to grow. This estrogen is produced both within the lesions themselves and in other parts of the body.[19] Sometimes, the cells in endometriosis are progesterone resistant or develop resistance during treatment with the hormone. This weakened response to progesterone allows endometriosis to continue growing outside of the womb.[26]
Immune dysfunction could be involved in the disease in various ways: it may lead to a decrease in clearance of endometrial cells outside the womb, a local inflammatory environment may make it more likely that the cells attach to a surface, and may reduce programmed cell death (apoptosis).[8]
Angiogenesis, the formation of new blood vessels, plays a key role in the maintenance of endometriotic lesions.[23] Gene expression around angiogenesis expressed in the endometrium of women with endometriosis are different from those without. In addition, cells in the peritoneum of women with endometriosis release more growth factors that stimulate angiogenesis.[8]
Pain
There are multiple causes of pain. Endometriosis involves the formation of new blood vessels and nerves in a process known as neuroangiogenesis.[8] The inflammation and fibrosis around the lesions gives rise to nociceptive pain.[27] Neuropathic pain can arise from damage to nerves. In rare cases, endometriosis can infiltrate or compress nerves,[1] and damage to nerves might also occur due to surgery.[27] Estrogens can increase communication between immune cells and nerves in lesions, which may contribute to further pain.[8] Finally, there may be systemic (body-wide) inflammation, involving white blood cells. This can lead to nociplastic pain, which amplifies pain signals and reduces pain inhibition. Nociplastic pain also cause poor sleep, memory problems and fatigue.[1]
Infertility
The infertility associated with endometriosis likely has multiple causes. Inflammation and hormonal dysfunction explain some instances. The ovarian reserve, the amount of viable egg cells in the ovaries, is typically lower in those with endometriosis. In particular, endometriomas may reduce ovarian reserve in affected ovaries.[8] There is contradictory evidence on whether endometriosis causes reduced ovulation. Anatomical distortions, for instance from adhesions, can explain further instances of infertility, and in severe cases, sperm or egg cells may be fully blocked. Pain during sex may lead couples to avoid it, leading to fewer opportunities for natural conception.[28]
Diagnosis
A health history and a physical examination can lead the health care practitioner to suspect endometriosis. Symptoms in combination with ultrasound or MRI imaging can lead to a presumed diagnosis of endometriosis. The gold standard for definite diagnosis is via surgery and a biopsy, but there is a shift away from requiring surgical confirmation before starting treatment to prevent delays.[1]
Diagnosis takes an average of five to twelve years from the onset of symptoms.[1] This diagnostic delay has remained persistent. On average, it takes between one and four years before women seek medical help, which might be explained by the normalization of symptoms, the lack of awareness, and lack of access to healthcare. It then takes up to nine years to get a diagnosis. This delay might be explained by a normalization of symptoms, lack of expertise and tools, and general inefficiencies in healthcare.[29]
Physical examination
A trauma-informed framework is recommended for a physical examination, where the health practitioner validates pain and fosters trust. The examination focuses on assessing both general symptoms and those linked to deep endometriosis or endometriosis outside the pelvis. Risk factors are also reviewed. The physical examination can include an abdominal exam, a single digit exam of the vagina and pelvic floor, a bimanual exam and examination with a speculum.[1]
Ultrasound

Vaginal ultrasound can be used to diagnose endometriosis or to localize an endometrioma before surgery. It can be used to identify the spread of disease in individuals with well-established clinical suspicion of endometriosis. Vaginal ultrasound is inexpensive, easily accessible, has no contraindications, and requires no preparation.[30] By extending the ultrasound assessment into the posterior and anterior pelvic compartments, a sonographer can evaluate structural mobility and look for deep infiltrating endometriotic nodules.[31]
Ultrasounds cannot be used to exclude a diagnosis of endometriosis.[32] If a transvaginal ultrasound is not suitable or declined, an alternative is an ultrasound via the lower abdomen.[33]
Magnetic resonance imaging

MRI is another means of detecting lesions in a non-invasive manner.[34] MRI is not widely used due to its cost and limited availability.[34] It can reliably detect endometriomas and deep infiltrating endometriosis. It is sometimes used for planning surgery, for instance if an ultrasound is unclear, or for diagnosis if a transvaginal ultrasound is not appropriate or is declined. The field of view is larger in an MRI compared to an ultrasound, which allows a larger part of the bowel to be assessed.[35]
Laparoscopy

Laparoscopy (keyhole surgery) is a surgical procedure where a camera is used to look inside the abdominal cavity. Laparoscopy with a biopsy is the most accurate way to diagnose endometriosis.[1] It can be used when endometriosis is suspected, but not visible via medical imaging.[8] An alternative after negative imaging is to try out treatment and give a presumed diagnosis if that improves symptoms ('empirical treatment').[36]
Surgery for diagnosis also allows for surgical treatment of endometriosis at the same time.[37] In nearly 40% of cases, no cause for pelvic pain is discovered during laparoscopy.[8]
The lesions of superficial endometriosis often appear dark blue or black. In the earlier stages of disease, they may be white, red or yellow-brown. Ovarian cysts are typically dark brown. Adhesions are made up of fibrous scar tissue. Deep endometriosis looks like multiple distinct nodules.[8]
A biopsy may be negative even when endometriosis is present, particularly in younger women. As such, it cannot be used to exclude a diagnosis of endometriosis.[8] For confirmation, biopsy samples should show at least two of the following features:[38]
- Endometrial type stroma
- Endometrial epithelium with glands
- Evidence of chronic hemorrhage, such as hemosiderin deposits
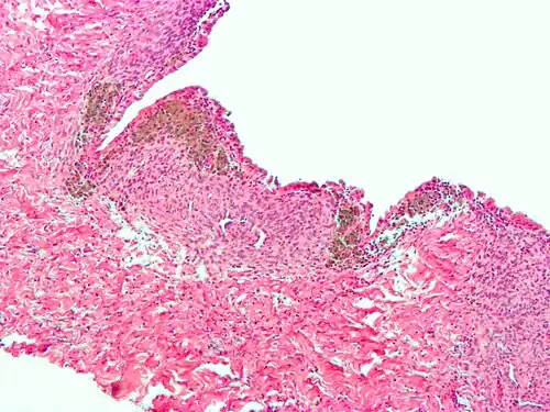
-
Endometriosis, abdominal wall -
Micrograph showing endometriosis (right) and ovarian stroma (left) -
Micrograph of the wall of an endometrioma. All features of endometriosis are present (endometrial glands, endometrial stroma and hemosiderin-laden macrophages)
Stages
There are three staging or classification systems commonly used. Fertility is assessed with the Endometriosis Fertility Index (EFI).[8] Endometriosis can be classified as stage I–IV by the revised American Society of Reproductive Medicine (rASRM) staging system. The stages range from minimal (stage I) to severe (stage IV).[39] The scale uses a point system that assesses lesions and adhesions during surgery. The ENZIAN system focuses more on deep endometriosis compared to rASRM. The rASRM and ENZIAN systems correlate poorly with how much pain women have.[8]
The American Association of Gynecologic Laparoscopists (AAGL) endometriosis staging system, introduced in 2021, was designed to correlate well with complexity of surgery. Like rASRM, it divides endometriosis into four stages.[22]
Differential diagnosis
Various conditions exhibit similar symptoms to endometriosis. Adenomyosis, the growth of endometrium-like tissue in the muscles of the uterus, is one example. It sometimes shows characteristics on an MRI that can distinguish it from endometriosis. Interstitial cystitis is mainly characterized by painful urination, but also cause more diffuse pain. It can be distinguished from endometriosis with a cystoscopy, which shows pinpoint hemorrhages in interstitial cystitis. Irritable bowel syndrome can sometimes be distinguished from endometriosis via the presence of diarrhea or constipation, and can be diagnosed in the absence of endometriosis via imaging or surgery.[40] Other conditions with overlapping symptoms are uterine fibroids, cervical stenosis and pelvic floor myofascial pain.[1]
Prevention
According to the World Health Organization, there is no known way to prevent endometriosis.[41] There are associations between some risk factors and endometriosis: women with endometriosis tend to consume more red meat, trans fats, alcohol and caffeine. Physical activity does not seem to prevent endometriosis, but can lessen pain. It is unclear whether these links are causative.[42]
Management
While there is no cure for endometriosis, there are treatments for pain and endometriosis-associated infertility. Pain can be treated with hormones, painkillers, or, in severe cases, surgery.[43] The goal of management is to provide pain relief, to restrict the progression of the process, and to restore or preserve fertility where needed.[19]
Treatment with medication for pain management can be initiated based on the presence of symptoms, examination, and ultrasound findings that rule out other potential causes.[44] The UK National Institute for Health and Care Excellence recommends starting initial medication for those with suspected endometriosis, at the same time as referral for investigations such as ultrasound.[45] Surgery is an option when medical treatment is insufficiently effective, for advanced disease or infertility.[46]
Hormonal medications

Progestin-only hormonal suppression (progestogen) is a first-line therapy. It comes in different forms and includes the hormonal coil (intrauterine device), the oral dienogest, an injection of medroxyprogesterone acetate every three months or an implant under the skin.[1] Dienogest, which may be more effective than injections,[47] is not available on its own in the US.[1] Oral progestins likely reduce overall pain and period pain compared to placebo, and may also help with pelvic pain. It is unclear how well they work compared to other hormonal therapies.[47]
Combined estrogren-progestin birth control pills are another first-line treatment. The recommendation is to use the pills continuously to stop periods.[1] A 2018 Cochrane systematic review found that there is insufficient evidence to make a judgment on the effectiveness of the combined oral contraceptive pill compared with placebo or other medical treatment for managing pain associated with endometriosis partly because of lack of included studies for data analysis (only two for COCP vs placebo).[48]
Gonadotropin-releasing hormone (GnRH) modulators are second-line treatments: These drugs include GnRH agonists such as leuprorelin, and GnRH antagonists such as elagolix and decrease estrogen levels.[1] GnRH agonists mimic the effects of menopause, and seem more effective than placebo or oral progestin at reducing pain.[49] They come with side effects of hot flashes and decreased bone density. GnRHs can be prescribed with hormonal 'add-back' therapy or with calcium-regulating agents to reduce the amount of bone loss.[1][49]
Aromatase inhibitors are third-line treatments and block estrogen production throughout the body. Examples of aromatase inhibitors include anastrozole and letrozole. Common side effects are hot flashes, night sweats and functional cysts.[1][50] In premenopausal women, these should be taken with other hormones (such as the combined pill) to prevent ovarian stimulation and to prevent menopause symptoms. They can be a option for post-menopausal women who still have endometriosis symptoms, as their action is not limited to suppressing estrogen from ovaries. Evidence is limited.[1]
Pain medication
NSAIDs like naproxen are anti-inflammatory medications commonly used for endometriosis pain.[51] Evidence for their effectiveness is limited, with only one small study conducted. NSAIDs can have side effects, predominantly gastrointestinal, but they are generally safe to try.[52]
Surgery

Clinical guidelines recommend surgery when medical treatment does not work sufficiently, has unacceptable side effects or is contraindicated. Large endometriomas can only effectively be treated with surgery. Surgery is also recommended when deep endometriosis causes problems in the bowels or urinary tract, such as obstruction. It is unclear what the effect of surgery is for pain relief in cases of superficial peritoneal endometriosis.[1]
Laparoscopy (keyhole surgery) is the standard surgical approach. Treatment consists of the removal of endometriosis and the restoration of pelvic anatomy via the division of adhesions.[53] The removal takes place via excision (cutting out) or electrosurgery (coagulation or ablation/vaporization).[54][55] With laparoscopic surgery, small instruments are inserted through incisions to remove the endometriosis tissue and adhesions. After surgery, people can usually return home the same day.[56]
Two literature reviews have compared excision to ablation. A 2017 literature review found that excision improved some outcomes over ablation for endometriosis in general. A 2021 literature review on minimal to mild endometriosis found no difference. For deep endometriosis, excision is the standard therapy, as ablation does not allow the surgeon to see if all endometriosis is removed.[57] In the United States, some specialists trained in excision for endometriosis do not accept health insurance because insurance companies do not reimburse the higher costs of this procedure over ablation.[58]
Endometriomas are usually excised (removed completely). Compared to drainage and coagulation of the cyst, excision makes it less likely the cysts and pain symptoms come back. However, excision may damage fertility, as it can affect the ovarian reserve, the amount of egg cells that can be fertilized.[8][1]
For deep endometriosis, surgery improves quality of life and pain symptoms.[59] However, the procedure can be complicated, especially if the lesions are in or near the bowel, ureter of the urinary system or the chest, and requires a interdisciplinary surgical team in those cases. For instance, for rectovaginal endometriosis, 7% of surgeries had complications.[1] Sometimes, a part of the bowel or bladder is removed.[60][9]
For women who still have significant pain after hormonal treatment and other surgery, and do not want to become pregnant, a hysterectomy (removal of the womb) can be offered. This is done in combination with removal of endometriosis lesions. Removal of the womb may be beneficial if the uterus itself is affected by adenomyosis. When the ovaries are removed too, women will experience early menopause and may need hormone replacement therapy. Removal of the ovaries comes with cardiovascular, metabolic and mental health risks.[61][1]
Recurrence and postoperative hormonal suppression
In an analysis with a medium follow-up of 24 months pain after surgery recurred in about 16% of women.[1] Endometriosis recurrence following surgery is estimated as 21.5% at 2 years and 40–50% at 5 years. Hormonal therapy before surgery has little effect on recurrence, but treatment afterwards reduces the risk.[8] At a median follow-up of 18 months, endometriosis recurred in 26% of women without postoperative hormonal suppression, compared with 10% of women who received it.[1] The risk of recurrence is higher in younger women and in those with a less aggressive surgery.[55]
Additional therapies
There is limited knowledge about the effectiveness of additional or adjunct therapies for endometriosis. Additional therapies sometimes used are pelvic floor physical therapy, exercise, acupuncture, pain education or psychotherapy targeting pain.[1] Diets high in antioxidants might help reduce period pain, based on a small number of studies.[1][62]
Comparison of interventions
A 2021 meta-analysis found that GnRH analogs and combined hormonal contraceptives were the best treatment for reducing dyspareunia and menstrual and non-menstrual pelvic pain.[63] A 2018 Swedish systematic review found several studies but a general lack of scientific evidence for most treatments.[30] There was only one study of sufficient quality and relevance comparing the effect of surgery and non-surgery.[64] Cohort studies indicate that surgery is effective in decreasing pain.[64] Most complications occurred in cases of low intestinal anastomosis, while the risk of fistula occurred in cases of combined abdominal or vaginal surgery, and urinary tract problems were common in intestinal surgery.[64] The evidence was found to be insufficient regarding surgical intervention.[64]
Treatment of infertility

Infertility can be treated with assistive reproductive technology (ART) such as in vitro fertilization (IVF) or surgery.[65] IVF procedures are effective in improving fertility in many individuals with endometriosis. IVF is increasingly recommended over surgery for older women or for those where there might be multiple reasons why they struggle to conceive.[66] It does not increase recurrence of endometriosis.[67] The Endometriosis Fertility Index can help guide decisions on treatment of infertility.[68] Surgery is typically not recommended before starting ART.[69]
In terms of surgery, endometriomas can be cut out (a cystectomy), or drained and destroyed (ablation). The ablation technique may be better able to preserve the number of remaining viable eggs (the ovarian reserve), compared to cutting out the endometrioma.[70] On the other hand, cutting out the endometrioma may help more with pain.[66] Surgery likely also helps with infertility in the case of superficial peritoneal endometriosis.[1] Receiving hormonal suppression therapy after surgery might be help with endometriosis recurrence and pregnancy.[71] but evidence for pregnancy outcomes is mixed[72] and the both NICE and the European Society of Human Reproduction and Embryology recommend against hormonal suppression to improve fertility.[72][73]
Prognosis
Endometriosis is often a long-term condition, with symptoms typically emerging during adolescence and easing after menopause. For some women, pain persists after menopause. Treatments, whether medical or surgical, can alleviate symptoms but do not provide a definitive cure.[74] The disease does not always worsen over time; in repeat surgeries, endometriosis became worse in 29%, improved in 42% and stayed the same in 29%.[8]
The likelihood of symptoms returning after surgery is highly variable, with studies reporting recurrence rates anywhere between 6% and 67%. For some, endometriosis becomes associated with persistent, complex pain, possibly linked to changes in the nervous system, as part of a constellation of chronic pain disorders.[74]
Epidemiology
Endometriosis is commonly reported to affect approximately 10% of women of reproductive age.[1] Worldwide, an estimated 176–190 million girls and women are affected,[75][76] with around 22 million having a diagnosis confirmed surgically as of 2021.[75] It is difficult to determine an exact prevalence, given the large delays in diagnosis and the need for a surgical confirmation for a definite diagnosis.[76] The prevalence depends on the population studied and the way endometriosis is diagnosed (imaging, surgery). Of women with pelvic pain undergoing laparoscopy, 28% are diagnosed with endometriosis. Of those with infertility undergoing laparoscopy, 25% are diagnosed.[1]
It is most diagnosed when women are in their 30s, but symptoms typically start in early 20s or in adolescence.[1] People can develop endometriosis symptoms before their first period and in menopause too.[76] Ethnic differences in endometriosis have been observed. The condition is more common in women of East Asian and Southeast Asian descent than in White women.[19]
Endometriosis often co-occurs with other pain disorders, autoimmune disorders (such as lupus or arthritis), certain cancers, stroke and long COVID. For instance, a quarter of individuals with endometriosis have at least one other pain condition.[1] Endometriosis increases the risk of developing ovarian and thyroid cancers compared to women without the condition, and slightly increases the risk of breast cancer.[77]
History
.jpg)
The earliest references to what may have been endometriosis are from Ancient Egypt, nearly 4,000 years ago.[79] In Ancient Greece, the Hippocratic Corpus outlines symptoms similar to endometriosis, including adhesions, and infertility.[80] Over the centuries, numerous explanations for pelvic pain in women were proposed, often attributing the condition to supposed flaws in women themselves, such as madness, promiscuity, or inherent weakness. The now discredited diagnosis of hysteria may have been endometriosis in many cases.[81]

Endometriosis proper was first defined between the end of the 19th century and the start of the 20th. Some attribute the first description to Carl von Rokitansky in 1860,[82] even though other authors consider it more likely he was describing malignant tissue.[83] Around 1896, Thomas Cullen and others described endometriosis and adenomyosis under the single name adenomyomas. Between 1903 and 1920, Cullen showed that the tissue in adenomyomas was endometrial.[84] John A. Sampson defined endometriosis. He studied its pathogenesis and was the first to propose the theory of retrograde menstruation as a cause. He also suggested that endometrial tissue could be inadvertently transplanted during surgery, such as a cesarean section. During operations, he observed that endometriotic lesions would bleed in sync with a woman's menstrual cycle.[83]
One early recommendation to prevent and treat endometriosis was pregnancy. For older women, another approach was surgery, involving oophorectomy (removal of the ovaries) and hysterectomy (removal of the uterus).[85] In the 1940s, the only available hormonal therapies for endometriosis were high-dose testosterone and high-dose estrogen therapy.[86] Success of high-dose estrogen therapy with diethylstilbestrol for endometriosis was first reported by Karnaky in 1948, but was associated with severe risks upon withdrawal.[85]
Pseudopregnancy (high-dose estrogen–progestogen therapy) for endometriosis was first described by Kistner and Andrews in the late 1950s, and become widely employed.[85] Danazol, was first described for endometriosis in 1971.[87] It was used for some 40 years, but had masculizing side effects, including weight gain, excessive hair growth and breast atrophy.[88] From the 1990s, GnRH agonists gained prominence for the treatment of endometriosis, but had disadvantages. They needed to be administered either nasally or via injections, and they were slow to act.[89] Oral fast-acting GnRH antagonists such as elagolix were introduced for endometriosis in 2018.[89][90]
Society and culture
Stigma and medical culture
The existing stigma surrounding women's health, specifically endometriosis, can lead to patients not seeking diagnoses, lower quality of healthcare, increased barriers to care and treatment, and negative reception from members of society.[91] Additionally, menstrual stigma significantly contributes to the broader issue of endometriosis stigma, creating an interconnected challenge that extends beyond reproductive health.[92][93]
There are many barriers to receiving a diagnosis and treatment for endometriosis. Some of these include outdated standards for laparoscopic evaluation, stigma about discussing menstruation and sex and lack of understanding of the disease.[94] For instance, in India, unmarried women are often not offered a transvaginal ultrasound, as there is a taboo about sex before marriage. This causes delays in diagnosis.[95] Healthcare providers sometimes dismiss described symptoms as normal menstruation, or psychologise the issue.[92] Menstrual disorders generally do not get covered extensively in medical education, leading to gaps in knowledge of healthcare professionals.[96]
Economic burden
The economic burden of endometriosis is substantial.[97] Endometriosis has direct and indirect costs, which include loss of work days, direct costs of treatment, symptom management, and treatment of other associated conditions such as depression or chronic pain.[98] Surgery is the main component of medical cost.[97] Costs vary greatly between countries.[99] Annual productivity losses ranged from $293 per person in Nigeria to $33,428 in Italy (in 2022 currency values), while annual direct medical costs ranged from $1459 to $20,239 per patient.[97] Some women are unable to work due to endometriosis: a survey of Puerto Rican women showed a 20% absence from work,[100] whereas a survey of Swedish patients found that 32% did not work.[101]
Research funding
Like many conditions mainly affecting women, endometriosis is underfunded in relation to its disease burden.[102] For instance, in the US, the NIH funded endometriosis at only 10–18% of the average per disability-adjusted life year lost.[103] In the EU, endometriosis got significantly less funding than 9 comparator conditions, including psosarias and male infertility.[104]
Race and ethnicity
Race and ethnicity may impact how endometriosis affects one's life. Endometriosis is less thoroughly studied among Black people.[105][106] Cultural differences among ethnic groups also contribute to attitudes toward and treatment of endometriosis, especially in Hispanic or Latino communities. A study done in Puerto Rico in 2020 found that health care and interactions with friends and family related to discussing endometriosis were affected by stigma.[107] The most common finding was a referral to those expressing pain related to endometriosis as "changuería" or "changas", terms used in Puerto Rico to describe pointless whining and complaining, often directed at children.[107]
Research directions
A priority area of research is the search for endometriosis biomarkers, which can help with earlier diagnoses.[108] Studies have examined potential biomarkers such as microRNAs, glycoproteins, and immune markers in blood, menstrual and urine samples, but none have shown the high accuracy needed for clinical use yet. CA-125, a tumor marker, has been studied extensively. It is elevated in endometriosis, but also in many other conditions, and cannot be used on its own. MicroRNAs might be most promising, but the high diversity in expression makes them a challenging target.[109]
Medical management of endometriosis is typically based on hormonal therapy, but these treatments can produce undesirable side effects, driving the search for alternatives. Emerging strategies target endometriosis as an inflammatory, metabolic, or pain disorder. Anti-inflammatory approaches include anakinra, a drug used in rheumatoid arthritis. Pain-focused treatments under investigation include cannabinoid extracts, migraine medications, and therapies directed at affected nerves. Additionally, the cancer drug dichloroacetic acid is being explored for its potential metabolic effects in endometriosis.[110]
References
- ^ a b c d e f g h i j k l m n o p q r s t u v w x y z aa ab ac ad ae af ag As-Sanie S, Mackenzie SC, Morrison L, Schrepf A, Zondervan KT, Horne AW, et al. (2025). "Endometriosis". JAMA. 334 (1): 64–78. doi:10.1001/jama.2025.2975. PMID 40323608.
- ^ a b "Endometriosis". Office on Women's Health. 24 October 2025. Archived from the original on 26 September 2025. Retrieved 31 October 2025.
- ^ a b Horne AW, Missmer SA (November 2022). "Pathophysiology, diagnosis, and management of endometriosis". BMJ. 379 e070750. doi:10.1136/bmj-2022-070750. hdl:20.500.11820/a2c07717-cf08-4119-b0f4-b7f8aa50193e. PMID 36375827.
- ^ Van den Bosch T, Van Schoubroeck D (August 2018). "Ultrasound diagnosis of endometriosis and adenomyosis: State of the art". Best Practice & Research. Clinical Obstetrics & Gynaecology. 51: 16–24. doi:10.1016/j.bpobgyn.2018.01.013. PMID 29506961. S2CID 3759091.
- ^ Andres MP, Arcoverde FV, Souza CC, Fernandes LF, Abrão MS, Kho RM (February 2020). "Extrapelvic Endometriosis: A Systematic Review". Journal of Minimally Invasive Gynecology. 27 (2): 373–389. doi:10.1016/j.jmig.2019.10.004. PMID 31618674.
- ^ Gruber TM, Lange K, Ebeling GS, Henrich W, Mechsner S (2025). "Scar endometriosis, a form of abdominal wall endometriosis–a neglected obstetrical complication?". Archives of Gynecology and Obstetrics. 312 (1): 1–8. doi:10.1007/s00404-024-07834-2. ISSN 1432-0711. PMC 12176990. PMID 39607442.
- ^ a b c d e f g h i j k l m Sasamoto N, Stacey M (2023). "Endometriosis Symptoms and Signs". In Horne A, Whitaker L (eds.). Gynecology Module Volume 3. The Continuous Textbook of Women's Medicine Series. doi:10.3843/GLOWM.417643 (inactive 7 December 2025). ISSN 1756-2228.
{{cite book}}: CS1 maint: DOI inactive as of December 2025 (link) - ^ a b c d e f g h i j k l m n o p q Horne AW, Missmer SA (2022). "Pathophysiology, diagnosis, and management of endometriosis". BMJ. 379 e070750. doi:10.1136/bmj-2022-070750. ISSN 1756-1833. PMID 36375827.
- ^ a b c "Endometriosis". NHS. 27 August 2024. Retrieved 21 November 2025.
- ^ World Health Organization 2025, p. 2.
- ^ a b ESHRE 2022, p. 149.
- ^ Gandhi J, Wilson AL, Liang R, Weissbart SJ, Khan SA (11 November 2020). "Sciatic endometriosis: A narrative review of an unusual neurogynecologic condition". Journal of Endometriosis and Pelvic Pain Disorders. 13 (1). SAGE Publications: 3–9. doi:10.1177/2284026520970813. ISSN 2284-0265. S2CID 228834273.
- ^ Solnik & Sanders 2025, p. 12.
- ^ Montgomery GW, Mortlock S, Giudice LC (February 2020). "Should Genetics Now Be Considered the Pre-eminent Etiologic Factor in Endometriosis?". Journal of Minimally Invasive Gynecology. 27 (2): 280–286. doi:10.1016/j.jmig.2019.10.020. PMC 7863762. PMID 31683028.
- ^ a b Rahmioglu N, Mortlock S, Ghiasi M, Møller PL, Stefansdottir L, Galarneau G, et al. (2023). "The genetic basis of endometriosis and comorbidity with other pain and inflammatory conditions". Nature Genetics. 55 (3): 423–436. doi:10.1038/s41588-023-01323-z. ISSN 1546-1718. PMC 10042257. PMID 36914876.
- ^ Solnik & Sanders 2025, p. 5.
- ^ a b Coiplet E, Courbiere B, Agostini A, Boubli L, Bretelle F, Netter A (2022). "Endometriosis and environmental factors: A critical review". Journal of Gynecology Obstetrics and Human Reproduction. 51 (7) 102418. doi:10.1016/j.jogoh.2022.102418. ISSN 2468-7847. PMID 35667590.
- ^ Dutta S, Banu SK, Arosh JA (2023). "Endocrine disruptors and endometriosis". Reproductive Toxicology. 115: 56–73. Bibcode:2023RepTx.115...56D. doi:10.1016/j.reprotox.2022.11.007. ISSN 0890-6238. PMID 36436816.
- ^ a b c d e Zondervan KT, Becker CM, Missmer SA (March 2020). "Endometriosis". The New England Journal of Medicine. 382 (13): 1244–1256. doi:10.1056/NEJMra1810764. PMID 32212520. S2CID 214644045.
- ^ a b Malvezzi H, Marengo EB, Podgaec S, Piccinato CA (August 2020). "Endometriosis: current challenges in modeling a multifactorial disease of unknown etiology". Journal of Translational Medicine. 18 (1) 311. Springer Science and Business Media LLC. doi:10.1186/s12967-020-02471-0. PMC 7425005. PMID 32787880.
- ^ Bulun SE (1 July 2025). "Endometriosis and ovulatory menstruation: beyond the Sampson principle". The Journal of Clinical Investigation. 135 (13) e188787. doi:10.1172/JCI188787. ISSN 1558-8238. PMC 12208542. PMID 40590223.
- ^ a b Pašalić E, Tambuwala MM, Hromić-Jahjefendić A (2023). "Endometriosis: Classification, pathophysiology, and treatment options". Pathology - Research and Practice. 251 154847. doi:10.1016/j.prp.2023.154847. ISSN 0344-0338. PMID 37844487.
- ^ a b Li Q, Shi J, Yi D, Li X, Gu Z, Yan H, et al. (9 May 2024). "The pathogenesis of endometriosis and adenomyosis: insights from single-cell RNA sequencing". Biology of Reproduction. 110 (5): 854–865. doi:10.1093/biolre/ioae032. ISSN 0006-3363. PMID 38386960.
- ^ Liu Y, Zhang Z, Yang F, Wang H, Liang S, Wang H, et al. (2020). "The role of endometrial stem cells in the pathogenesis of endometriosis and their application to its early diagnosis". Biology of Reproduction. 102 (6): 1153–1159. doi:10.1093/biolre/ioaa011. ISSN 0006-3363. PMID 31965165.
- ^ Zhang M, Xu T, Tong D, Li S, Yu X, Liu B, et al. (2023). "Research advances in endometriosis-related signaling pathways: A review". Biomedicine & Pharmacotherapy. 164 114909. doi:10.1016/j.biopha.2023.114909. ISSN 0753-3322. PMID 37210898.
- ^ Tang HC, Lin TC, Wu MH, Tsai SJ (2024). "Progesterone resistance in endometriosis: A pathophysiological perspective and potential treatment alternatives". Reproductive Medicine and Biology. 23 (1) e12588. doi:10.1002/rmb2.12588. ISSN 1445-5781. PMC 11157498. PMID 38854774.
- ^ a b Coxon L, Demetriou L, Vincent K (2024). "Current developments in endometriosis-associated pain". Cell Reports Medicine. 5 (10) 101769. doi:10.1016/j.xcrm.2024.101769. ISSN 2666-3791. PMC 11513828. PMID 39413731.
- ^ Elizur SE, Mostafa J, Berkowitz E, Orvieto R (1 October 2025). "Endometriosis and infertility: pathophysiology, treatment strategies, and reproductive outcomes". Archives of Gynecology and Obstetrics. 312 (4): 1037–1048. doi:10.1007/s00404-025-08124-1. ISSN 1432-0711. PMC 12414060. PMID 40689964.
- ^ De Corte P, Klinghardt M, von Stockum S, Heinemann K (2025). "Time to Diagnose Endometriosis: Current Status, Challenges and Regional Characteristics—A Systematic Literature Review". BJOG: An International Journal of Obstetrics & Gynaecology. 132 (2): 118–130. doi:10.1111/1471-0528.17973. ISSN 1471-0528. PMC 11625652. PMID 39373298.
- ^ a b "Endometriosis – Diagnosis, treatment and patient experiences". Swedish Agency for Health Technology Assessment and Assessment of Social Services (SBU). 4 May 2018. Archived from the original on 19 January 2021. Retrieved 13 June 2018.
- ^ Fang J, Piessens S (June 2018). "A step-by-step guide to sonographic evaluation of deep infiltrating endometriosis". Sonography. 5 (2): 67–75. doi:10.1002/sono.12149.
- ^ Solnik & Sanders 2025, p. 94.
- ^ Solnik & Sanders 2025, p. 93.
- ^ a b Nisenblat V, Bossuyt PM, Farquhar C, Johnson N, Hull ML (February 2016). "Imaging modalities for the non-invasive diagnosis of endometriosis". The Cochrane Database of Systematic Reviews. 2016 (2) CD009591. doi:10.1002/14651858.cd009591.pub2. PMC 7100540. PMID 26919512.
- ^ Quesada J, Härmä K, Reid S, Rao T, Lo G, Yang N, et al. (2023). "Endometriosis: A multimodal imaging review". European Journal of Radiology. 158 110610. doi:10.1016/j.ejrad.2022.110610. ISSN 0720-048X. PMID 36502625.
- ^ ESHRE 2022, p. 30.
- ^ Solnik & Sanders 2025, p. 10.
- ^ Han L, Garcia R, Busca A, Parra-Herran C (November 2023). Turashvili G, Skala SL (eds.). "Endometriosis". Pathology Outlines. Archived from the original on 7 August 2020. Retrieved 18 March 2020.
- ^ Crump J, Suker A, White L (2024). "Endometriosis: A review of recent evidence and guidelines". Australian Journal of General Practice. 53 (1–2): 11–18. doi:10.31128/AJGP/04-23-6805. PMID 38316472.
- ^ Solnik & Sanders 2025, p. 21.
- ^ "Endometriosis". World Health Organization (WHO). Retrieved 11 January 2025.
- ^ ESHRE 2022, p. 158.
- ^ "What are the treatments for endometriosis?". NICHD - Eunice Kennedy Shriver National Institute of Child Health and Human Development. 21 February 2020. Retrieved 12 January 2025.
- ^ "Update on pharmacologic treatment for endometriosis- related pain". Women's Healthcare. 7 June 2020. Archived from the original on 3 October 2021. Retrieved 3 October 2021.
- ^ NICE 2024, pp. 11–12.
- ^ Solnik & Sanders 2025, p. 26.
- ^ a b Chen I, Kives S, Zakhari A, Nguyen DB, Goldberg HR, Choudhry AJ, et al. (2025). Cochrane Central Editorial Service (ed.). "Progestagens for pain symptoms associated with endometriosis". Cochrane Database of Systematic Reviews. 2025 (10) CD002122. doi:10.1002/14651858.CD002122.pub3. PMC 12509269. PMID 41065045.
- ^ Brown J, Crawford TJ, Datta S, Prentice A (May 2018). "Oral contraceptives for pain associated with endometriosis". The Cochrane Database of Systematic Reviews. 2018 (5) CD001019. Wiley. doi:10.1002/14651858.cd001019.pub3. PMC 6494634. PMID 29786828.
- ^ a b Veth VB, van de Kar MM, Duffy JM, van Wely M, Mijatovic V, Maas JW (2023). Cochrane Gynaecology and Fertility Group (ed.). "Gonadotropin-releasing hormone analogues for endometriosis". Cochrane Database of Systematic Reviews. 2023 (6) CD014788. doi:10.1002/14651858.CD014788.pub2. PMC 10283345. PMID 37341141.
- ^ Garzon S, Laganà AS, Barra F, Casarin J, Cromi A, Raffaelli R, et al. (December 2020). "Aromatase inhibitors for the treatment of endometriosis: a systematic review about efficacy, safety and early clinical development". Expert Opinion on Investigational Drugs. 29 (12). Informa UK Limited: 1377–1388. doi:10.1080/13543784.2020.1842356. PMID 33096011. S2CID 225058751.
- ^ Brown J, Crawford TJ, Allen C, Hopewell S, Prentice A (January 2017). "Nonsteroidal anti-inflammatory drugs for pain in women with endometriosis". The Cochrane Database of Systematic Reviews. 1 (1) CD004753. doi:10.1002/14651858.CD004753.pub4. PMC 6464974. PMID 28114727.
- ^ ESHRE 2022, pp. 35–36.
- ^ ESHRE 2022, p. 48.
- ^ ESHRE 2022, pp. 48, 51.
- ^ a b Solnik & Sanders 2025, p. 27.
- ^ "Laparoscopic (keyhole) surgery for endometriosis". NHS Gloucestershire Hospitals. 2024. Retrieved 21 November 2025.
- ^ ESHRE 2022, p. 50.
- ^ Muraskin A (16 July 2023). "Endometriosis, a painful and often overlooked disease, gets attention in a new film". NPR. Archived from the original on 17 July 2023. Retrieved 17 July 2023.
- ^ ESHRE 2022, p. 55.
- ^ ESHRE 2022, pp. 54–55.
- ^ ESHRE 2022, pp. 60–61.
- ^ Meneghetti, J. K., Pedrotti, M. T., Coimbra, I. M., Cunha-Filho, J. S. L. da (2 October 2024). "Effect of Dietary Interventions on Endometriosis: A Systematic Review and Meta-Analysis of Randomized Controlled Trials". Reproductive Sciences. 31 (12). Springer Science and Business Media LLC: 3613–3623. doi:10.1007/s43032-024-01701-w.
- ^ Samy A, Taher A, Sileem SA, Abdelhakim AM, Fathi M, Haggag H, et al. (January 2021). "Medical therapy options for endometriosis-related pain, which is better? A systematic review and network meta-analysis of randomized controlled trials". Journal of Gynecology Obstetrics and Human Reproduction. 50 (1) 101798. Elsevier BV. doi:10.1016/j.jogoh.2020.101798. PMID 32479894. S2CID 219173190.
- ^ a b c d "Endometrios – diagnostik, behandling och bemötande". sbu.se (in Swedish). Statens beredning för medicinsk och social utvärdering (SBU); Swedish Agency for Health Technology Assessment and Assessment of Social Services. 4 May 2018. p. 121. Archived from the original on 13 June 2018. Retrieved 13 June 2018.
- ^ Solnik & Sanders 2025, p. 28-29.
- ^ a b Solnik & Sanders 2025, p. 29.
- ^ ESHRE 2022, p. 118.
- ^ ESHRE 2022, p. 12.
- ^ ESHRE 2022, p. 13.
- ^ NICE 2024, pp. 18–19.
- ^ Chen I, Veth VB, Choudhry AJ, Murji A, Zakhari A, Black AY, et al. (November 2020). "Pre- and postsurgical medical therapy for endometriosis surgery". The Cochrane Database of Systematic Reviews. 11 (12) CD003678. doi:10.1002/14651858.CD003678.pub3. PMC 8127059. PMID 33206374.
- ^ a b NICE 2024, p. 19, 28.
- ^ ESHRE 2022, p. 83.
- ^ a b NICE (July 2025). "Endometriosis: what is the prognosis?". NICE Clinical Knowledge Summaries site (CKS).
- ^ a b Li R, Zhang L, Liu Y (7 June 2025). "Global and regional trends in the burden of surgically confirmed endometriosis from 1990 to 2021". Reproductive Biology and Endocrinology. 23 (1): 88. doi:10.1186/s12958-025-01421-z. ISSN 1477-7827. PMC 12144762. PMID 40483411.
- ^ a b c NICE (July 2025). "Endometriosis: how common is it?". NICE Clinical Knowledge Summaries.
- ^ Kvaskoff M, Mahamat-Saleh Y, Farland LV, Shigesi N, Terry KL, Harris HR, et al. (February 2021). "Endometriosis and cancer: a systematic review and meta-analysis". Human Reproduction Update. 27 (2). Oxford University Press (OUP): 393–420. doi:10.1093/humupd/dmaa045. hdl:20.500.11820/fa3c779d-3cc7-4d0d-b93a-d7176fd8244d. PMID 33202017.
- ^ Nezhat, Nezhat & Nezhat 2012, pp. 2, 13.
- ^ Nezhat, Nezhat & Nezhat 2012, p. 2.
- ^ Nezhat, Nezhat & Nezhat 2012, p. 3.
- ^ Nezhat, Nezhat & Nezhat 2012, p. 62.
- ^ Nezhat, Nezhat & Nezhat 2012, p. 36.
- ^ a b Benagiano G, Brosens I (2011). "Who identified endometriosis?". Fertility and Sterility. 95 (1): 13–16. doi:10.1016/j.fertnstert.2010.06.027. ISSN 0015-0282. PMID 20673889.
- ^ Lippi D, Habiba M, Benagiano G (2022), Oral E (ed.), "A History of Endometriosis", Endometriosis and Adenomyosis: Global Perspectives Across the Lifespan, Cham: Springer International Publishing, pp. 3–13, doi:10.1007/978-3-030-97236-3_1, ISBN 978-3-030-97236-3
- ^ a b c Brosens I, Benagiano G (2011), Giudice LC, Evers JL, Healy DL (eds.), "History of Endometriosis: A 20th-Century Disease", Endometriosis (1 ed.), Wiley, pp. 1–18, doi:10.1002/9781444398519.ch1, ISBN 978-1-4443-3213-1, retrieved 6 December 2025
- ^ Barbieri RL (January 1992). "Hormonal therapy of endometriosis". Infertility and Reproductive Medicine Clinics of North America. 3 (1): 187–200.
The hormonal therapy of endometriosis continues to evolve. In the 1940s and 1950s, high-dose testosterone and diethylstilbestrol regimens were the only hormonal agents available in the treatment of endometriosis. These agents, although efficacious, were associated with intolerable side effects. The current armamentarium of hormonal GnRH analogues, danazol, and synthetic progestins is efficacious and has fewer side effects.
- ^ Brosens I, Benagiano G (2011). "Endometriosis, a modern syndrome". The Indian Journal of Medical Research. 133 (6): 581–593. ISSN 0971-5916. PMC 3135985. PMID 21727656.
- ^ Kalaitzopoulos DR, Samartzis N, Kolovos GN, Mareti E, Samartzis EP, Eberhard M, et al. (2021). "Treatment of endometriosis: a review with comparison of 8 guidelines". BMC Women's Health. 21 (1): 397. doi:10.1186/s12905-021-01545-5. ISSN 1472-6874. PMC 8628449. PMID 34844587.
- ^ a b Surrey ES (2023). "GnRH agonists in the treatment of symptomatic endometriosis: a review". F&S Reports. Gonadotropin Releasing Hormone: 50 years of Innovation. 4 (2, Supplement): 40–45. doi:10.1016/j.xfre.2022.11.009. ISSN 2666-3341.
- ^ Barra F, Grandi G, Tantari M, Scala C, Facchinetti F, Ferrero S (April 2019). "A comprehensive review of hormonal and biological therapies for endometriosis: latest developments". Expert Opin Biol Ther. 19 (4): 343–360. doi:10.1080/14712598.2019.1581761. hdl:11380/1201437. PMID 30763525. S2CID 73455399.
- ^ Sims OT, Gupta J, Missmer SA, Aninye IO (August 2021). "Stigma and Endometriosis: A Brief Overview and Recommendations to Improve Psychosocial Well-Being and Diagnostic Delay". International Journal of Environmental Research and Public Health. 18 (15): 8210. doi:10.3390/ijerph18158210. PMC 8346066. PMID 34360501.
- ^ a b Kocas HD, Rubin LR, Lobel M (September 2023). "Stigma and mental health in endometriosis". European Journal of Obstetrics & Gynecology and Reproductive Biology. 19 100228. Elsevier BV. doi:10.1016/j.eurox.2023.100228. PMC 10465859. PMID 37654520.
- ^ Henry JE (27 May 2022). "Period Stigma and the Unacknowledged System of Oppression". Stanford | Digital Education. Archived from the original on 24 November 2023. Retrieved 24 November 2023.
- ^ As-Sanie S, Black R, Giudice LC, Gray Valbrun T, Gupta J, Jones B, et al. (August 2019). "Assessing research gaps and unmet needs in endometriosis". American Journal of Obstetrics and Gynecology. 221 (2): 86–94. doi:10.1016/j.ajog.2019.02.033. PMID 30790565. S2CID 73480251.
- ^ Dehghan SK (1 May 2023). "'Hell on earth': India's taboos around women's pain leave endometriosis sufferers in agony". The Guardian. ISSN 0261-3077. Retrieved 21 December 2025.
- ^ Harris S, Tata LJ, Qureshi N, Read K, Bains M (2025). "The Experiences of Endometriosis Patients During Primary Healthcare Encounters: A Systematic Review of Qualitative Evidence". Women's Reproductive Health. 0 (0): 1–14. doi:10.1080/23293691.2025.2545308. ISSN 2329-3691.
- ^ a b c Darbà J, Marsà A (2022). "Economic Implications of Endometriosis: A Review". PharmacoEconomics. 40 (12): 1143–1158. doi:10.1007/s40273-022-01211-0. ISSN 1179-2027.
- ^ Gao X, Outley J, Botteman M, Spalding J, Simon JA, Pashos CL (December 2006). "Economic burden of endometriosis". Fertility and Sterility. 86 (6): 1561–72. doi:10.1016/j.fertnstert.2006.06.015. PMID 17056043. S2CID 20623034.
- ^ Koltermann KC, Dornquast C, Ebert AD, Reinhold T (2017). "Economic Burden of Endometriosis: A Systematic Review". Ann Reprod Med Treat. 2 (2m): 1015. S2CID 32839234.
- ^ Soliman AM, Coyne KS, Gries KS, Castelli-Haley J, Snabes MC, Surrey ES (July 2017). "The Effect of Endometriosis Symptoms on Absenteeism and Presenteeism in the Workplace and at Home". Journal of Managed Care & Specialty Pharmacy. 23 (7): 745–754. doi:10.18553/jmcp.2017.23.7.745. PMC 10398072. PMID 28650252.
- ^ Grundström H, Hammar Spagnoli G, Lövqvist L, Olovsson M (2020). "Healthcare Consumption and Cost Estimates Concerning Swedish Women with Endometriosis". Gynecologic and Obstetric Investigation. 85 (3): 237–244. doi:10.1159/000507326. PMID 32248191. S2CID 214811610.
- ^ "Women's health research lacks funding – these charts show how". www.nature.com. Retrieved 21 December 2025.
- ^ Mirin AA (2021). "Gender Disparity in the Funding of Diseases by the U.S. National Institutes of Health". Journal of Women's Health. 30 (7): 956–963. doi:10.1089/jwh.2020.8682. ISSN 1540-9996. PMC 8290307. PMID 33232627.
- ^ Viganò P, Casalechi M, Dolmans MM (2024). "European Union underinvestment in endometriosis research". Journal of Endometriosis and Uterine Disorders. 5 100058. doi:10.1016/j.jeud.2023.100058. ISSN 2949-8384.
- ^ Shade GH, Lane M, Diamond MP (24 June 2011). "Endometriosis in the African American woman—racially, a different entity?". Gynecological Surgery. 9: 59–62. doi:10.1007/s10397-011-0685-5. S2CID 6288739.
- ^ Hoffman KM, Trawalter S, Axt JR, Oliver MN (April 2016). "Racial bias in pain assessment and treatment recommendations, and false beliefs about biological differences between blacks and whites". Proceedings of the National Academy of Sciences of the United States of America. 113 (16): 4296–301. Bibcode:2016PNAS..113.4296H. doi:10.1073/pnas.1516047113. PMC 4843483. PMID 27044069.
- ^ a b Matías-González Y, Sánchez-Galarza AN, Flores-Caldera I, Rivera-Segarra E (March 2021). ""Es que tú eres una changa": stigma experiences among Latina women living with endometriosis". Journal of Psychosomatic Obstetrics and Gynaecology. 42 (1): 67–74. doi:10.1080/0167482X.2020.1822807. PMC 8893272. PMID 32964770. S2CID 221862356.
- ^ Pant A, Moar K, K Arora T, Maurya PK (2023). "Biomarkers of endometriosis". Clinica Chimica Acta. 549 117563. doi:10.1016/j.cca.2023.117563. ISSN 0009-8981. PMID 37739024.
- ^ Agostinis C, Battista N, Costanzo M (2021). "The Search for Biomarkers in Endometriosis: a Long and Windy Road". Reproductive Sciences. 28 (10): 2751–2766. doi:10.1007/s43032-021-00668-2. PMID 34159571.
- ^ Saunders PT, Horne AW (May 2021). "Endometriosis: Etiology, pathobiology, and therapeutic prospects". Cell. 184 (11). Elsevier BV: 2807–2824. doi:10.1016/j.cell.2021.04.041. hdl:20.500.11820/bb7ded31-cc3d-449e-a0dc-ce4b1a0531d2. PMID 34048704. S2CID 235226513.
Cited sources
- Solnik MJ, Sanders A (2025). BMJ Best Practice: Endometriosis. BMJ Publishing Group.
- NICE (11 November 2024). Recommendations | Endometriosis: diagnosis and management | Guidance | NICE. National Institute for Health and Care Excellence. Retrieved 28 October 2025.
- ESHRE (2022). Endometriosis: Guideline of European Society of Human Reproduction and Embryology. European Society of Human Reproduction and Embryology.
- Nezhat C, Nezhat F, Nezhat C (December 2012). "Endometriosis: ancient disease, ancient treatments". Fertility and Sterility. 98 (6 Suppl): S1-62. doi:10.1016/j.fertnstert.2012.08.001. PMID 23084567.
- World Health Organization (2025). Guideline for the prevention, diagnosis and treatment of infertility. Geneva. ISBN 978-92-4-011577-4.
{{cite book}}: CS1 maint: location missing publisher (link)
This article incorporates text in the public domain as a Swedish government "utterance" by URL§9
Further reading
- Clark L (22 September 2025). "A deeper understanding of endometriosis is suggesting new treatments". New Scientist (3562). London. ISSN 0262-4079. Archived from the original on 27 September 2025. Retrieved 29 September 2025.
- Wilson M (28 March 2025). ""Endometriosis Stole My Life": What It's Really Like to Live With the Condition". Glamour. Retrieved 6 December 2025.
- Fearn H (21 January 2024). "'Gaslit by doctors': UK women with endometriosis told it is 'all in their head'". The Guardian. ISSN 0261-3077. Retrieved 6 December 2025.
